Cookie Consent byPrivacyPolicies.comcouronnez-vous encore systématiquement les molaires - Eugenol

couronnez-vous encore systématiquement les molaires dépulpées?

Smile beach jgh0a1 - Eugenol
Céramik

30/06/2011 à 01h43

steph écrivait:
---------------
>>
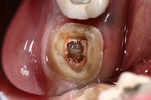
> Je ne vois pas quand un onlay n'est pas indiqué ?
> Même quand il ne reste rien, la preuve ci-dessous.


non mais il n'y a que les fous qui font cela !
jamais ça va tenir, sans IC en plus...
;-)

--
Céramik
fou de la céram


Avatar 46 aoi1yc - Eugenol
HononLulu

30/06/2011 à 02h18

steph écrivait:
---------------
> teethsurfer écrivait:
> ---------------------
> > Je réalise depuis toujours des couronnes prises en charge sur dents vitales
> > délabrées lorsqu'un onlay n'est pas indiqué, cela ne me pose aucun problème.
>
> Je ne vois pas quand un onlay n'est pas indiqué ?
> Même quand il ne reste rien, la preuve ci-dessous.

Dans ce cas de gros délabrement , tu privilégies la résine ou la céramique ?


vmdeugénol

30/06/2011 à 12h52

Non,

-avec la cfao directe je travaille à 90% sur dent vivante, les 5 % correspondent aux dents déjà dévitalisées et le reste aux aléas

-avec le collage on récupère beaucoup plus de matière dentaire qu'avec le scellement.

qu'elles soient pour dent pulpée ou non,

-les préparations pour collage recherchent une stabilité primaire et l'augmentation des surfaces micro-rétentions pour le collage.

-la préparation pour scellement recherche la rétention mécanique primaire.

Donc non je ne couronne pas systématiquement les dents dépulpées en général et surtout en tout céram par cfao directe


Smile beach jgh0a1 - Eugenol
Céramik

30/06/2011 à 14h16

vmdeugénol écrivait:
--------------------
> Non,
>
> -avec la cfao directe je travaille à 90% sur dent vivante, les 5 % correspondent
> aux dents déjà dévitalisées et le reste aux aléas
>
> -avec le collage on récupère beaucoup plus de matière dentaire qu'avec le
> scellement.
>
> qu'elles soient pour dent pulpée ou non,
>
> -les préparations pour collage recherchent une stabilité primaire et
> l'augmentation des surfaces micro-rétentions pour le collage.
>
> -la préparation pour scellement recherche la rétention mécanique primaire.
>
> Donc non je ne couronne pas systématiquement les dents dépulpées en général et
> surtout en tout céram par cfao directe


+1 partout
idem en indirect classique (sans cfao direct-Cerec)



--
Céramik


Björn

30/06/2011 à 15h51

Aron écrivait:
--------------
> D'abord pour répondre à la question:
>
> Quasiment, oui. Sauf sur ma famille et les patients les plus motivés et sympas
> (quand il reste 3 parois de + de 2mm au moins):
> 1. je trouve qu'ils en valent la peine et surtout
> 2. ils acceptent les onlays + pose à 350€ +/- 50.
>


Idem.


Squash u44zd8 - Eugenol
steph

30/06/2011 à 17h27

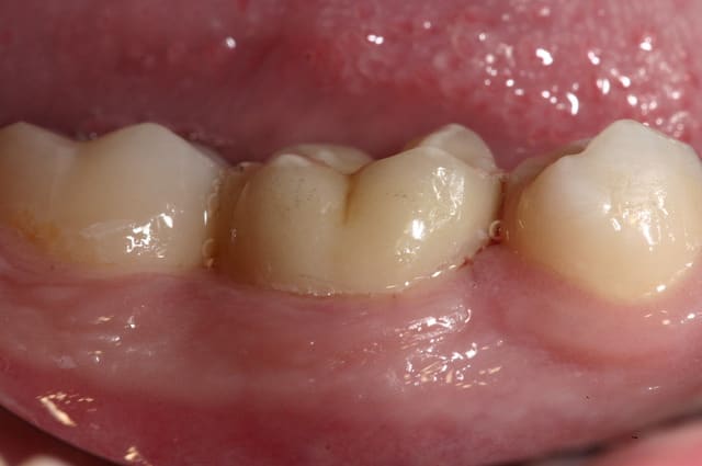
Je privilégie la céramique, toujours.


Avatar 46 aoi1yc - Eugenol
HononLulu

30/06/2011 à 17h48

@ Steph : Sur un délabrement tel que celui de la photo présentée, on peut envisager que la tendreté de l'onlay composite amortit et absorbe les forces et préserve ce qu'il reste de cette molaire alors que ce ne sera pas le cas avec l'onlay céramique.


vmdeugénol

30/06/2011 à 18h26

je ferais plutot une V-prep en vitrocéramique Vita par exemple, c'est la plus souple et la plus facile à coller.

HononLulu écrivait:
-------------------
> @ Steph : Sur un délabrement tel que celui de la photo présentée, on peut
> envisager que la tendreté de l'onlay composite amortit et absorbe les forces et
> préserve ce qu'il reste de cette molaire alors que ce ne sera pas le cas avec
> l'onlay céramique.


Squash u44zd8 - Eugenol
steph

30/06/2011 à 21h37

L'onlay répartit mieux les forces occlusales, et quand il s'agit d'onlay la céramique est recommandée.
Ici c'est de l'e-max.


aldo74

30/06/2011 à 23h29

je préfère le Conquest (Symphise )"souple dur" et je suis malheureux depuis que l'on ne trouve plus les pins or-platiné de chez WHALEDENT qui permettait une résistance supplémentaire au cisaillement dans les cas extrèmes d'onlay


toutounette

01/07/2011 à 00h25

eh ben merci pour cette avalanche de réponse, vs m'encouragez vraiment à faire des onlays, joli sujet je vais me plonger dans ma "réalité cliniques" pour approfondir mes connaissances, en cas de besoin je sais où vous trouver :-) je pense que j'aurai encore bcp de question à vous poser
merci d'avoir partagé votre savoir


200106 10150128247663588 709988587 6466236 5598391 n d7mksb - Eugenol
hallboy

01/07/2011 à 00h26

steph écrivait:
---------------
>
> Je ne vois pas quand un onlay n'est pas indiqué ?
> Même quand il ne reste rien, la preuve ci-dessous.

tres joli boulot....


Squash u44zd8 - Eugenol
steph

01/07/2011 à 00h45

Merci hall, mais là j'y suis pas pour grand-chose ; faut avoir un prothésiste qui maîtrise la céram.


toutounette

01/07/2011 à 00h51

steph écrivait:
---------------
> Merci hall, mais là j'y suis pas pour grand-chose ; faut avoir un prothésiste
> qui maîtrise la céram.

quelle modestie! il fallait un bon dentiste qui fait de belles empreintes à mon avis:-)


Ico v for vendetta08 jzhpep - Eugenol
Arnaud Go

01/07/2011 à 07h15

On dirait des vraies...

Bravo pour le boulot !


003 penrd2 - Eugenol
Cingulum

01/07/2011 à 12h31

pour enfoncer le clou sur les tenons et autre inlay core
ne pas perdre de vue qu'un tenon = Rétention ... c'est tout !
Si on a de la rétention autrement, pas besoin de tenon...
Un tenon fragilise la racine et réduit l'étanchéité du traitement endo...

un cas comme on peut en faire souvent, d'endo couronne collée, exploitant le volume de la chambre pulpaire...




--
Dr Cingulum
-----Ancien interné----
----Attaché à l'apex----
www.clinic-all.fr formation par passion

Img 9705 ddivj4 - Eugenol
Img 9708 qahegg - Eugenol
Img 9713 mydix4 - Eugenol
Img 9703 ivo52n - Eugenol
Img 9706 qhvobi - Eugenol
Img 9709 wngl2t - Eugenol

Grueavatar nptrc9 - Eugenol
Le Choixpeau magique

01/07/2011 à 12h56

Cingugu, quelques avis, lus sur dentaltown, à propos des endocouronnes :

I'd recommend punting on endocrowns, period, virgin teeth or "previously experienced" teeth. Has nothing to do with ferrule and everything to do with stress concentration.

In a system where two materials of dissimilar elactic moduli are bonded, any stresses concentrate at the interface. In a conventional core buildup with a crown, that stress is at the junction of the restoration/cement/core or restoration/cement/supragingival tooth structure. In an endocrown, that stress is concentrated in the worst place possible: the internal coronal stucture and/or the internal root structure. Whereas the core buildup stresses manifest themselves chiefly as shear and compressive forces which are vectored into the tooth structure, the endocrown vectors these forces radially and can result in tooth fracture.

Yes, you can do them and get away with if. A lot of us have, but not because we were smart about it; rather we enjoyed good "host response" - for now.

------------

Un autre avis:


Endocrowns do not really make sense if you really think about it:

You are rebuilding the tooth that once was a flexible core with a hard outer crystalline shell out of a mono-block of a hard glass material that is within the canal, the core and the shell all in one unit. It will not work like the original tooth. No wonder this design leads to catastrophic failure.

with todays adhesive material we are finally able to rebuild the tooth using synthetic dentin and synthetic enamel. Material that mimic these structures properties. rebuild teeth BIOMIMETICALLY. Nature already figured out the optimal structure of the human tooth. all we have to do is replicate it. we have the technology.


--------

Armen Mirzayan de cerecdoctors, formateur cerec bien connu:


A couple? I think you need 28 samples to make it statistically significant. Lol. Just dint do them folks. You can learn the hard way or just listen to the rest of us who have done them.



Grueavatar nptrc9 - Eugenol
Le Choixpeau magique

01/07/2011 à 12h59

Et j'ajouterais que sur les photos que tu nous montres, tu as as réalisé un trottoir périphérique, pour réaliser qqchose qui ne correspond pas à la définition traditionnelle d'une endocouronne (qui est en réalité un onlay, avec prise de rétention interne).
Il est possible que l'ajout de férule par ce moyen permette au dispositif de fonctionner, mais dans ce cas, quel intérêt par rapport à une reconstitution composite avant couronne traditionnelle ?


Marque a3 orange fyvhyq - Eugenol
Marc Apap

01/07/2011 à 13h10

Sans vouloir mettre en cause qui ou quoi que ce soit, je trouve que ce snobisme à vouloir faire des trucs différents juste pour se démarquer des générations précédentes est un peu comique.
Cette confiance irraisonnée dans le collage me paraît propice à toutes les dérives.
Par ailleurs, je ne vous raconte pas le pb s'il faut un jour faire une reprise de traitement sur une dent traitée de la sorte. On râle après les inlay cores qu'il faut découper, mais on n'imagine jamais (les traitements sont trop parfaits) qu'il faille démonter une restauration avec un tenon fibré collé (encore pas insurmontable) ou une couronne tout céramique qui rentre bien profond dans la chambre pulpaire (pas insurmontable non plus, mais pas plus rapide)


vmdeugénol

01/07/2011 à 13h27

Cingulum,

C'est pas mal comme restauration, toutefois, tu as eu un peu de chance car l'endocouronne ne se prépare pas comme cela.
Tu a fais un mix entre la coiffe périphérique et l'endocouronne et il y a des risques de casse accrus. C'est dommage pour ces restaurations qui sont totalement inaltérables. Ce type de confusion dans les formes de préparations est très fréquent au début, et même un peu plus tard dans l'exercice. Il est certain que l'on a beaucoup de mal a lâcher les angrammes des restaurations classiques

Une endocouronne utilise le plancher caméral et sa forme de selle qui ne doit pas être fraisé et les parois sont ouvertes avec un maximum de 7° de TOC inversée.
La périphérie aplanie est si possible parallèle au plan occlusal ou perpendiculaire au sens d'application des forces.

Il ne faut pas oublier que la gestion du JDP interne et périphérique est essentielle à la perénnisation de l'endocouronne. Ceci pour répondre à la citation d'Armen spécialiste reconnu Cerec section inlay/onlay que je connais bien par ailleurs et qui pour mémoire est un praticien US, pays où on ne pratique pas beaucoup la couronne. Il serait bon de demander un avis sur les endocouronnes à Chaim Wexler de Columbia qui lui est un spécialiste de l'endocouronne ....

Quand on sort du cadre clinique classique de l'endocouronne, on passe vers l'endo V-Prep dont le principe diffère.

Amicalement


003 penrd2 - Eugenol
Cingulum

01/07/2011 à 13h46

Très interessant Choipopo mais je suis pas entierement d'accord.
L'effet ferule est capital dans le pronostic de la restauration. De nombreuses études montrent que dans le cadre de la dent dépulpée, l'effet férule l'emporte sur les choix de reconstructions (tenon fibré, faux moignon métal...)
Dans le cadre des endo-couronnes il y a un effet férule important.
Deuxièmement je ne dis pas qu'il faut faire que des endo couronnes ;)
Mais dans un nombre important de cas, la rétention de la chambre pulpaire sera plus importante que la rétention obtenu par un faux moignon, notamment sur les dents postérieures où l'on a perdu de l'espace prothétique.
Enfin je met en opposition l'endocouronne qui si elle peut engendrer des contraintes internes en créera toujours moins qu'un tenon métal.

Mais si les patients étaient correctement pris en charge (assez tot, et en technique adhésif partielle...) on ne devrait quasiment plus faire de couronne, ni mettre de tenon...
On aurait que des restauration adhésives, en composite, en ceramique, de plus ou moins gros volume....
cf P.Magne, no post, no crown




--
Dr Cingulum
-----Ancien interné----
----Attaché à l'apex----
www.clinic-all.fr formation par passion

Img 9621 fbaudt - Eugenol
Img 9634 kqzqm9 - Eugenol
Img 9639 xuq6et - Eugenol
Img 9626 l5ihxu - Eugenol

Grueavatar nptrc9 - Eugenol
Le Choixpeau magique

01/07/2011 à 14h49

Cingulum écrivait:
------------------
> Dans le cadre des endo-couronnes il y a un effet férule important.

Avec une endo-couronne à ta façon je veux bien, mais pas dans les endo-couronnes traditionnelles qui ont été décrites, qui sont plutôt des onlay avec ancrage central.

> Mais dans un nombre important de cas, la rétention de la chambre pulpaire sera
> plus importante que la rétention obtenu par un faux moignon, notamment sur les
> dents postérieures où l'on a perdu de l'espace prothétique.

Quand tu dis faux moignon, tu penses inlay-core ?

Ce que je me demande, c'est qu'est-ce que ça apporte de faire une reconstitution monobloc en céramique, plutôt que de faire un moignon (même sans tenon) collé en composite (qui pourra même épouser les contre dépouilles), au module d'élasticité plus faible et à la résistante bien suffisante (dans ces cas où il reste beaucoup de dentine) ?


003 penrd2 - Eugenol
Cingulum

01/07/2011 à 15h00

Le Choixpeau magique écrivait:
------------------------------
> Cingulum écrivait:
> ------------------
> > Dans le cadre des endo-couronnes il y a un effet férule important.
>
> Avec une endo-couronne à ta façon je veux bien, mais pas dans les endo-couronnes
> traditionnelles qui ont été décrites, qui sont plutôt des onlay avec ancrage
> central.
>
> > Mais dans un nombre important de cas, la rétention de la chambre pulpaire sera
> > plus importante que la rétention obtenu par un faux moignon, notamment sur les
> > dents postérieures où l'on a perdu de l'espace prothétique.
>
> Quand tu dis faux moignon, tu penses inlay-core ?
>
> Ce que je me demande, c'est qu'est-ce que ça apporte de faire une reconstitution
> monobloc en céramique, plutôt que de faire un moignon (même sans tenon) collé en
> composite (qui pourra même épouser les contre dépouilles), au module
> d'élasticité plus faible et à la résistante bien suffisante (dans ces cas où il
> reste beaucoup de dentine) ?
>

Pour répondre a ta réponse je fait endo couronne quand le volume de la chambre est superieur au volume du futur moignon ... j'ai fait des photos très parlantes que je retrouve plus :(


--
Dr Cingulum
-----Ancien interné----
----Attaché à l'apex----
www.clinic-all.fr formation par passion


palamede92

01/07/2011 à 15h05

Cingulum écrivait:
------------------
> Très interessant Choipopo mais je suis pas entierement d'accord.
> L'effet ferule est capital dans le pronostic de la restauration. De nombreuses
> études montrent que dans le cadre de la dent dépulpée, l'effet férule l'emporte
> sur les choix de reconstructions (tenon fibré, faux moignon métal...)


Pardon de poser une question aussi terre-à-terre : mais quel est le sens du mot "férule" dans cet usage ?


003 penrd2 - Eugenol
Cingulum

01/07/2011 à 15h19

photo retrouvées :)

plus de place pour la ceramique, et plus de rétention dans l'endo que dans l'exo ;)



--
Dr Cingulum
-----Ancien interné----
----Attaché à l'apex----
www.clinic-all.fr formation par passion

Img 9469 h2njdj - Eugenol
Img 6497 ixm5mn - Eugenol
Img 6500 ftbhwt - Eugenol

1234...