Cookie Consent byPrivacyPolicies.comcouronnez-vous encore systématiquement les molaires - Eugenol

couronnez-vous encore systématiquement les molaires dépulpées?

003 penrd2 - Eugenol
Cingulum

01/07/2011 à 15h20

palamede92 écrivait:
--------------------

> Pardon de poser une question aussi terre-à-terre : mais quel est le sens du mot
> "férule" dans cet usage ?

sertissage periphérique

http://www.dental-update.co.uk/articles/35/3504222.pdf

--
Dr Cingulum
-----Ancien interné----
----Attaché à l'apex----
www.clinic-all.fr formation par passion


palamede92

01/07/2011 à 15h33

Cingulum écrivait:
------------------
> palamede92 écrivait:
> --------------------
>
> > Pardon de poser une question aussi terre-à-terre : mais quel est le sens du
> mot
> > "férule" dans cet usage ?
>
> sertissage periphérique
>
> http://www.dental-update.co.uk/articles/35/3504222.pdf
>

Merci !
Donc c'est ferrule, mot anglais signifiant cerclage :)

(car je ne voyais pas le rapport entre une couronne et une plante dicotylédone ou une petite palette de bois ou de cuir, les deux acceptions du mot français férule)


003 penrd2 - Eugenol
Cingulum

01/07/2011 à 16h09

Au temps pour moi ;)



--
Dr Cingulum
-----Ancien interné----
----Attaché à l'apex----
www.clinic-all.fr formation par passion


Smile beach jgh0a1 - Eugenol
Céramik

01/07/2011 à 18h16

Marc Apap écrivait:
-------------------
> Sans vouloir mettre en cause qui ou quoi que ce soit, je trouve que ce snobisme à vouloir faire des trucs différents juste pour se démarquer des générations précédentes est un peu comique.

-1


>Cette confiance irraisonnée dans le collage me paraît propice à toutes les dérives.

-1

> Par ailleurs, je ne vous raconte pas le pb s'il faut un jour faire une reprise de traitement sur une dent traitée de la sorte. On râle après les inlay cores
> qu'il faut découper, mais on n'imagine jamais (les traitements sont trop parfaits) qu'il faille démonter une restauration avec un tenon fibré collé(encore pas insurmontable)


facile de démonter un tenon fibré...


> ou une couronne tout céramique qui rentre bien profond dans la chambre pulpaire (pas insurmontable non plus, mais pas plus rapide)


+2

Surtout en e-max, matériel quasi impossible à tailler...

Je ferais en Empress, avec un extension dans la chambre pulpaire bcp moins importante, sur une base de compo (sous digue ;-). Ou en e-max, mais tjs avec extension bcp moins profonde.

En fait, avec le collage, pas besoin de surtailler, ni d'ancrer si profond dans la chambre pulpaire.


Pascal Magne aurait fait en composite (Paradigm).
Je suis plus céram.

--
Céramik


Smile beach jgh0a1 - Eugenol
Céramik

03/07/2011 à 19h54

Cingulum écrivait:
------------------
> > cf P.Magne, no post, no crown
>


>
>


+10
J'ai vu sa présentation il y a 1 mois, a voir absolument.
Le DVD devrait être très bien aussi.
Sinon, il donne un cours intensif de 4 jours au USA...


--
Céramik


003 penrd2 - Eugenol
Cingulum

03/07/2011 à 22h39

vmdeugénol écrivait:
--------------------
> Cingulum,

> Tu a fais un mix entre la coiffe périphérique et l'endocouronne et il y a des
> risques de casse accrus.

Pourrais tu détailler s'il te plait les causes de risques accrus ?



> Une endocouronne utilise le plancher caméral et sa forme de selle qui ne doit
> pas être fraisé et les parois sont ouvertes avec un maximum de 7° de TOC
> inversée.
> La périphérie aplanie est si possible parallèle au plan occlusal ou
> perpendiculaire au sens d'application des forces.
>
> Il ne faut pas oublier que la gestion du JDP interne et périphérique est
> essentielle à la perénnisation de l'endocouronne. Ceci pour répondre à la
> citation d'Armen spécialiste reconnu Cerec section inlay/onlay que je connais
> bien par ailleurs et qui pour mémoire est un praticien US, pays où on ne
> pratique pas beaucoup la couronne. Il serait bon de demander un avis sur les
> endocouronnes à Chaim Wexler de Columbia qui lui est un spécialiste de
> l'endocouronne ....

La préparation que tu décris ne permet pas le sertissage périphérique, Effet férule, point faible a mon avis d'une telle endo couronne.

>
> Quand on sort du cadre clinique classique de l'endocouronne, on passe vers
> l'endo V-Prep dont le principe diffère.
>
> Amicalement

Je suis d'accord sur ce qui a été dit sur la profondeur de la céramique dans l'ancienne chambre pulpaire il faut assurer une stabilisation et un peu de rétention. Personnellement le prothésiste n'exploite pas tout le volume disponible et fait un "moignon inversé" en céramique arrondi... Le hiatus avec le plancher est comblé par la composite dual de collage.


Encore une fois j'insiste, je ne généralise pas ce genre de préparation. Elle permet cependant de réaliser des dents avec anatomie détaillée, des sillons et cuspides réalistes, même en cas d'espace prothétique faible, le prothésiste ne manquant pas d'épaisseur de céramique.
--
Dr Cingulum
-----Ancien interné----
----Attaché à l'apex----
www.clinic-all.fr formation par passion


Smile beach jgh0a1 - Eugenol
Céramik

04/07/2011 à 00h30

Cingulum écrivait:
------------------
>> Je suis d'accord sur ce qui a été dit sur la profondeur de la céramique dans
> l'ancienne chambre pulpaire il faut assurer une stabilisation et un peu de
> rétention. Personnellement le prothésiste n'exploite pas tout le volume
> disponible et fait un "moignon inversé" en céramique arrondi... Le hiatus avec
> le plancher est comblé par la composite dual de collage.
>
>
> Encore une fois j'insiste, je ne généralise pas ce genre de préparation. Elle
> permet cependant de réaliser des dents avec anatomie détaillée, des sillons et
> cuspides réalistes, même en cas d'espace prothétique faible, le prothésiste ne
> manquant pas d'épaisseur de céramique.
> --
>

+1 sur tout


--
Céramik


003 penrd2 - Eugenol
Cingulum

04/07/2011 à 12h11

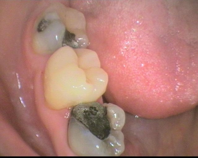
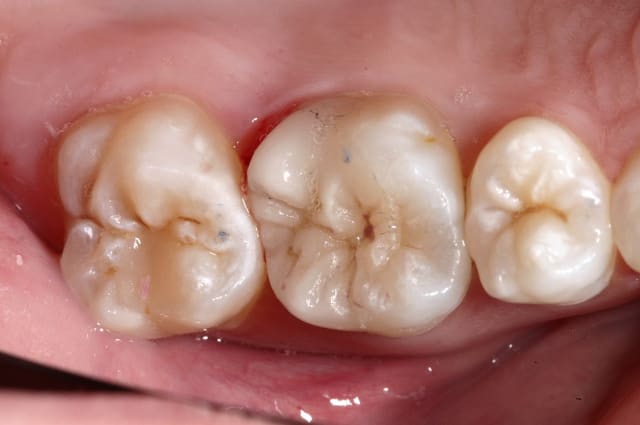
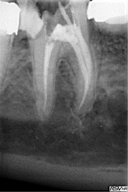
pour répondre à la question initiale du post, un cas de molaire dépulpée non couronnée.
Mise en place d'un cvimar (fuji II lc) en recouvrement de l'entrée canalaire puis onlay Empress collé.
Patiente de 21 ans.



--
Dr Cingulum
-----Ancien interné----
----Attaché à l'apex----
www.clinic-all.fr formation par passion

Img 9536 cnuuwp - Eugenol
Img 9539 zdkxs6 - Eugenol
Img 9540 rm3dxz - Eugenol
Img 9542 tjydqh - Eugenol

Img 4593 pnrtmh - Eugenol
teethsurfer

06/07/2011 à 00h05

Superbe travail de la céramique, Cingulum!

Magne évoque sur cette vidéo les veneerlay, s'agit-il juste de facette avec extension type onlay?

Steph, je suis aussi fou que toi, la preuve:

L'onlay composite 7/8 de la 27 a tenu 9 ans sans problème et la patiente a même mastiqué dessus pendant 5 années alors que la 26 a du être extraite! J'ai du le remplacer en la taillant par un inlaycore lorsque la paroi restante commençait à se carier en palatin et ai réaliser alors enfin un bridge...

L'onlay de la 16 posé en même temps est toujours en place après 14 ans malgré ses parois fines. Où se situent véritablement les limites?

Désolé pour la qualité des photos, mais à cette époque je n'avais que ma vieille caméra endobuccale à fibre optique.

les plâtres ont été conservés comme modèles de montre depuis et m'ont servi à convaincre de nombreux patients de l'intérêt des onlays, comme quoi un brin de folie de temps en temps cela peut faire du bien ;o) ...

293 b86tof - Eugenol
815 cehik0 - Eugenol
814 nyzhqc - Eugenol
82 pwoyyx - Eugenol
97 rznbtb - Eugenol
751 zfkhmw - Eugenol

003 penrd2 - Eugenol
Cingulum

06/07/2011 à 00h31

teethsurfer écrivait:
---------------------
> Superbe travail de la céramique, Cingulum!

Pour le travail de la céramique c'est mon protho que je remercie ;)

>
> Magne évoque sur cette vidéo les veneerlay, s'agit-il juste de facette avec
> extension type onlay?

Disons que l'évolution se fait vers des onlay trés fin en composite (Z100). En dessous de 1mm d'épaisseur ils ont un comportement qui limite les risques de fractures létal pour la dent.
Il montre aussi très élégamment que si l'usure du composite est supèrieur à celui de la céramique. L'usure global Compo contre dent, est infèrieur à l'usure dent contre céramique...

Cqfd ;)




Ton onlay, je l'aurais pas fait, et pourtant dans le genre adhérant au collage on me la fait pas ;)
Bravo :)

--
Dr Cingulum
-----Ancien interné----
----Attaché à l'apex----
www.clinic-all.fr formation par passion


Capture d  cran 2015 03 12 12.28 - Eugenol
chicot29

06/07/2011 à 02h15

Gutgut écrivait:
----------------

> Je me rattraperai sur le prochain friqué... :)
>
>
Ah ? bonne idée, faire comme au tribunal : demander au patient sa 2042 et fixer la prune en conséquence !))))


baroud69

26/10/2011 à 11h07

Pour abonder dans le sens qu'il ne faut pas couronner dans tous les cas, voici un cas fait il y a un an.

Les facteurs qui m'ont amené à prendre la décision de faire une endocouronne (proche d'un onlay en vérité) :

- 3 parois solides, la dernière pas trop fine.
- limites toutes supragingivales
- occlusion favorable (pas de photos de l'antagoniste je n'y ai pas pensé)
- patient réceptif
- grande profondeur de la chambre pulpaire (pas très visible sur les photos verticales)

Je n'en fais pas souvent mais quand j'en fait c’est que j'ai confiance. Faire une couronne classique ? Sur ce cas rien que de préparer les limites périphériques et on se retrouve avec une dent à raz la gencive, avec obligation de faire un (ou plusieurs) tenons longs pour une bonne rétention, générateur de fracture radiculaire....

Couronne Emax, collée au Multilink Automix

PS : avant toute remarque, non la patiente ne veut pas que je touche à sa dent de lait résiduelle ;o)

1 fiy0yl - Eugenol
2 b20gss - Eugenol
3 o5n9yc - Eugenol
4 tvwqw8 - Eugenol
5 lts4w7 - Eugenol
6 zial3n - Eugenol
7 anrob7 - Eugenol
8 aiq3ax - Eugenol
9 g3hkg8 - Eugenol

Marque a3 orange fyvhyq - Eugenol
Marc Apap

26/10/2011 à 13h16

On joue sur les mots, pour satisfaire au snobisme ambiant : ta prothèse, c'est ni plus ni moins qu'une couronne, endo ou pas. Arrêtons de nous torturer le cerveau : une dent extrêmement délabrée doit être coiffée (de la façon qu'on veut, en onlay 4/5, couronne ou endocouronne, c'est le même résultat) pour éviter les fractures et les récidives de carie. Maintenant, si elle n'est pas très délabrée, dépulpée ou pas, il n'est pas en général nécessaire de la coiffer.


Smile beach jgh0a1 - Eugenol
Céramik

26/10/2011 à 14h32



Belle technique , photo et digue, belle couronne, car c'est une couronne

J'aurais fais un onlay DOL et un implant pour la 85.

--
Céramik


Grueavatar nptrc9 - Eugenol
Le Choixpeau magique

26/10/2011 à 15h43

Marc Apap écrivait:
-------------------
> On joue sur les mots, pour satisfaire au snobisme ambiant : ta prothèse, c'est
> ni plus ni moins qu'une couronne, endo ou pas. Arrêtons de nous torturer le
> cerveau : une dent extrêmement délabrée doit être coiffée (de la façon qu'on
> veut, en onlay 4/5, couronne ou endocouronne, c'est le même résultat) pour
> éviter les fractures et les récidives de carie. Maintenant, si elle n'est pas
> très délabrée, dépulpée ou pas, il n'est pas en général nécessaire de la
> coiffer.

Marc il ne s'agit pas uniquement de branl... intellectuelle, il y a de vrais questions autour de ces nouveaux termes un peu branchouille je te l'accorde, qui correspondent à des concepts pas bien définis, mais qui recoupent des restaurations vraiment nouvelles.

L'endocouronne est un onlay total sur dent dépulpée avec une insertion dans la cavité d'accès (forme de champignon), donc avec un recouvrement total mais avec une absence de cerclage de la dent. L'absence de cerclage ne protège pas la dent des fractures, et l'insertion dans la chambre les provoque, donc double peine. Il y a un faisceau d'indices qui font penser qu'il ne faut pas en faire, à cause d'un nombre de fractures trop important rapporté.

Les onlays dit "table top" sont des onlays collés sur des surfaces totalement plates (dents pulpées), toujours sans cerclage. Il n'y a aucun dispositif pour lutter contre les forces transversales (résistance), la rétention ne se fait que grâce au collage. Là aussi il y a un faisceau d'indices qui font penser qu'il ne faut pas en faire, ce coup-ci à cause des décollements qui finissent toujours par arriver. Une modification incluant un trottoir au moins vestibulaire et lingual sur quelques mm de hauteur (il y a débat sur la hauteur en mm à recommander, en général entre un et deux) est conseillée, afin de lutter contre ces fameuses forces latérales. On s'éloigne alors fortement de l'onlay pour rejoindre un concept de couronne (recouvrement total + cerclage plus ou moins périphérique), avec les avantages du collage qui permettent de préserver de la structure dentaire et de rester éloigné de la gencive.


Marque a3 orange fyvhyq - Eugenol
Marc Apap

26/10/2011 à 16h29

Merci pour ces précisions. De toutes manières, je n'ai jamais fait ni les endocouronnes, ni les recouvrement calottaires car je ne crois plus depuis longtemps au Père Noël (je n'y ai jamais vraiment cru en fait).
Donc, toutes ces fadaises, pour moi, c'est du gros pipeau de gens qui se la jouent. S'ils avaient un peu regardé les choses de plus près, avec un microscope et fait de la recherche sur les collages (en labo, pas dans leur luxueux cabinet), ils seraient plus prudents.


baroud69

26/10/2011 à 22h03

Céramik écrivait:
-----------------
>
>
> Belle technique , photo et digue, belle couronne, car c'est une couronne
>
> J'aurais fais un onlay DOL et un implant pour la 85.
>
> --
> Céramik

J'ai commencé à remettre la digue il y a un an environ après 5 ans de refus... aucun regrets :p Et ça c'est à moitié grâce à eugenol et à moitié grâce à ma collaboratrice. (comme quoi ^^)

Ok pour le reste du traitement (DOL = disto - occluso - lingual ?) mais la patiente a refusé. Ce se fera plus tard.

Je me rends compte que la hauteur importante des parois et de la chambres ne sont pas très visibles sur les photos : j’aurais du prendre un angle de biais pour les visualiser en terme photo.


003 penrd2 - Eugenol
Cingulum

26/10/2011 à 22h55

baroud69 écrivait:
------------------
> Pour abonder dans le sens qu'il ne faut pas couronner dans tous les cas, voici
> un cas fait il y a un an.
>

Superbe travail Xavier...
Super propre du début à la fin...
Et je trouve que Marc tu deviens grincheux... Autant des fois je suis d'accord avec toi sur certains coté blingbling de la dentisterie moderne, autant rejeter en bloc le bon sens clinic éprouvé par la littérature c'est aussi une forme de snobisme...
par exemple sais tu quelles sont les restaurations qui ont le taux de survie le plus important à 25 ans ?

... Non ce ne sont pas les couronnes,
.... Non ce ne sont pas les implants...

ce sont les facettes de céramique collé...

--
Dr Cingulum
-----Ancien interné----
----Attaché à l'apex----
http://www.clinic-all.fr/ formation par passion


Smile beach jgh0a1 - Eugenol
Céramik

27/10/2011 à 04h19

Cingulum écrivait:
------------------
> par exemple sais tu quelles sont les restaurations qui ont le taux de survie le
> plus important à 25 ans ?
>
> ... Non ce ne sont pas les couronnes,
> .... Non ce ne sont pas les implants...
>
> ce sont les facettes de céramique collé...
>
>


pffft, ce sont les amalgames pouris placés au pouce, en sous occlusion...

parfois l'amalgame dure plus longtemps que la dent...car la dent craque de partout...

--
Céramik

Amalgame 14 e1gtg3 - Eugenol

doctyoni

27/10/2011 à 14h32

Et c'est si mal un amalgame , Céramik ?
Durant tout mon cursus universitaire , j'ai posé des centaines de composites et 2 amalgames (en pédo).
En France , beaucoup de praticiens lors des collages ne mettent pas la digue ( Le système de soins francais avec sa NGAP ne nous y encourage pas d'ailleurs , a 40 euros maximum la carie , tu peux pas rester 3H ).
Si un amalgame te permet de garder 25 ans une vivante en bouche , comme j'en vois souvent . Et que 25 ans plus tard, une fracture apparait et qu'il faille couronner à ce moment la , je vois pas bien le problème .
On sait que tu bosses très bien avec un amour immodéré pour le blanc , sans aucune aucune consession clinique , tu dois faire parti du 1% de dentiste qui bosse comme ca qui vise un certain type de patientele .
Pour monsieur ou madame tout le monde , je trouve que l'amalgame a ses indications et qu'il n'est pas du tout démodé .
Et le prefere de loin à un composite dont l'étanchéité va etre médiocre.


maz

27/10/2011 à 17h17

doctyoni écrivait:
------------------

> Pour monsieur ou madame tout le monde , je trouve que l'amalgame a ses
> indications et qu'il n'est pas du tout démodé .
> Et le prefere de loin à un composite MAL COLLÉ dont l'étanchéité va etre médiocre.

avec la modif, ok :)


doctyoni

27/10/2011 à 21h46

MAL COLLE , c est vite dit .
Il faut qu'il soit collé :
-sous digue .
avec la salive ou meme la respiration Et le collage est foutu.
-Le choix du système de collage : SAM ou MR.
Les SAM sont plus simples d'utilisation mais moins efficaces et l'utilisation des MR est plus rigoureuse.
-Le polissage du composite et du joint .

Meme si un praticien est rigoureux ,les erreurs ne sont pas impossibles .


Smile beach jgh0a1 - Eugenol
Céramik

28/10/2011 à 01h15

doctyoni écrivait:
------------------
> Et c'est si mal un amalgame , Céramik ?


faut apprécier le 2e niveau...

C'est un fait, je l'avoue je suis anti-amalgame et ce depuis ma 1ere année à la fac.
Même étudiant gobant les info des prof, je ne pouvais pas accepter de placer du mercure dans la bouche et de plus, c'est si laid. Voilà, j'aime pas le gris-noir, ni le mercure.

Je bosse à ma façon. Mes patient lamba apprécient la différence, je n'ai pas une pratique élitiste, je bosse c'est tout. Je reconnais que je ne suis pas dans votre système, mais à voir certains sur nonol, il semble qu'en France, il soit possible de faire différent...cingulum, growler, D57, pxav, etc (il y a d'autres !).

De toutes façon, je fait de moins en moins d'obturations,
c'est un choix, qui après 18 ans me satisfait.
Vive l'implanto et la céram.


--
Céramik


Grueavatar nptrc9 - Eugenol
Le Choixpeau magique

28/10/2011 à 01h47

doctyoni écrivait:
------------------
> -Le polissage du composite et du joint .


Attention, plus tu polis et moins ton joint va être étanche !


Grueavatar nptrc9 - Eugenol
Le Choixpeau magique

28/10/2011 à 01h52

Sinon, la semaine dernière, Kanca a écrit à propos des fonds de cavité en tout genre:

""
I don't know why anyone would want to put something as toxic as Gluma or glass ionomer or IRM on really deep dentin.
""


12345...