Cookie Consent byPrivacyPolicies.comcouronnez-vous encore systématiquement les molaires - Eugenol

couronnez-vous encore systématiquement les molaires dépulpées?

003 penrd2 - Eugenol
Cingulum

31/10/2011 à 12h31

Très bien résumé ...
allez on ferme ... :p



--
Dr Cingulum
-----Ancien interné----
----Attaché à l'apex----
http://www.clinic-all.fr/ formation par passion


200106 10150128247663588 709988587 6466236 5598391 n d7mksb - Eugenol
hallboy

31/10/2011 à 12h35

Mc Spaden


Grueavatar nptrc9 - Eugenol
Le Choixpeau magique

31/10/2011 à 14h01

Cingulum écrivait:
------------------
> le SC33 te prendra pas plus de 10 min...

Chouette parlons technique !
Voilà comment moi je fais.
Tout d'abord je fais l'ultra majorité de mes endos avec une resconstitution à l'IRM préalable, donc quand j'ai fini mon endo, il n'est pas pensable de faire la reconst dans la foulée sans retirer la digue.

- je retire ma digue et je fais sauter mon IRM : 2 minutes
- très souvent j'ai besoin d'isoler la dent d'à côté avec le système triodent, mise en place : 2 minutes.
- retrait de la gutta dans la cavité, désobturation du canal : 2 minutes (c'est vraiment un grand minimum !)
- nettoyage de la cavité avec une grosse fraise boule tungsten (avec une diamantée ça serait mieux pour le collage, mais c'est plus facile pour nettoyer avec la tungsten) : 2 minutes
- vérification au révélateur de carie plus retouches éventuelles : 1 minute
- nettoyage de la cavité à l'alcool, rinçage, séchage : 30 secondes
- pose de l'adhésif en trois étapes Surpass, retrait des excès dans le canal avec des pointes papier, polymérisation : deux minutes
- insertion du compo dual dans le canal plus insertion du tenon (je ne silane plus mes tenons), plus polymérisation 40 secondes : une minute
- insertion d'une fine couche de compo dual dans la cavité plus polymérisation 20 secondes : 30 secondes
- insertion du compo dual en masse et en excès, et attente de 2 minutes 30 que l'état de gel soit atteint, puis polymérisation 40 secondes: quatre minutes
- retrait des excès, obtention d'une morphologie occlusale, test de l'occlusion au papier à articuler, retouches, radio post-endo: quatre minutes.

On arrive à un total de 21 minutes, assez conforme au temps que je mets (quand je le fais je prends un RDV d'une heure trente pour endo + reconst).

Si mon organisation n'est pas conforme, je suis preneur de toute suggestion pour descendre ce temps à 5 minutes, je veux bien croire que je sois lent, mais je ne vois pas trop quelle étape je pourrais supprimer !

J'ai fait ça pendant un an et demi, je trouvais ça chouette sur le principe (étanchéité maximum), j'adore tailler des dents avec des SC33 et je n'aime pas trop les inlay crottes, mais le problème c'est que je me suis rendu compte que beaucoup de gens se satisfaisaient d'un SC33 même avec du compo blanc crayeux, le remboursement des patients était inférieur et mes taux d'acceptation se sont effondré donc j'ai arrêté les conneries, donc don't try this at home, kids !


Logo qw3xdt - Eugenol
dds

31/10/2011 à 14h20

Le Choixpeau magique écrivait:
------------------------------
> Cingulum écrivait:
> ------------------
> > le SC33 te prendra pas plus de 10 min...
>
> Chouette parlons technique !
> Voilà comment moi je fais.
> Tout d'abord je fais l'ultra majorité de mes endos avec une resconstitution à
> l'IRM préalable, donc quand j'ai fini mon endo, il n'est pas pensable de faire
> la reconst dans la foulée sans retirer la digue.
>
> - je retire ma digue et je fais sauter mon IRM : 2 minutes
> - très souvent j'ai besoin d'isoler la dent d'à côté avec le système triodent,
> mise en place : 2 minutes.
> - retrait de la gutta dans la cavité, désobturation du canal : 2 minutes (c'est
> vraiment un grand minimum !)
> - nettoyage de la cavité avec une grosse fraise boule tungsten (avec une
> diamantée ça serait mieux pour le collage, mais c'est plus facile pour nettoyer
> avec la tungsten) : 2 minutes
> - vérification au révélateur de carie plus retouches éventuelles : 1 minute
> - nettoyage de la cavité à l'alcool, rinçage, séchage : 30 secondes
> - pose de l'adhésif en trois étapes Surpass, retrait des excès dans le canal
> avec des pointes papier, polymérisation : deux minutes
> - insertion du compo dual dans le canal plus insertion du tenon (je ne silane
> plus mes tenons), plus polymérisation 40 secondes : une minute
> - insertion d'une fine couche de compo dual dans la cavité plus polymérisation
> 20 secondes : 30 secondes
> - insertion du compo dual en masse et en excès, et attente de 2 minutes 30 que
> l'état de gel soit atteint, puis polymérisation 40 secondes: quatre minutes
> - retrait des excès, obtention d'une morphologie occlusale, test de l'occlusion
> au papier à articuler, retouches, radio post-endo: quatre minutes.
>
> On arrive à un total de 21 minutes, assez conforme au temps que je mets (quand
> je le fais je prends un RDV d'une heure trente pour endo + reconst).

+10 sur la durée. Et là t'as pas compté la prépa + provisoire...

Mais là t'as quand même gagné 160€ endo + reconstitution pour 90 minutes: 105€ de l'heure... Extraordinaire!!
Quand t'as payé tout ton matos endo (limes, thermafill, tenons en fibre...) Reste pas grand chose...

>
> Si mon organisation n'est pas conforme, je suis preneur de toute suggestion pour
> descendre ce temps à 5 minutes, je veux bien croire que je sois lent, mais je ne
> vois pas trop quelle étape je pourrais supprimer !
>
> J'ai fait ça pendant un an et demi, je trouvais ça chouette sur le principe
> (étanchéité maximum), j'adore tailler des dents avec des SC33 et je n'aime pas
> trop les inlay crottes, mais le problème c'est que je me suis rendu compte que
> beaucoup de gens se satisfaisaient d'un SC33 même avec du compo blanc crayeux,
> le remboursement des patients était inférieur et mes taux d'acceptation se sont
> effondré donc j'ai arrêté les conneries, donc don't try this at home, kids !


+1

--
Normal is not something to aspire to, it's something to get away from


Logo qw3xdt - Eugenol
dds

31/10/2011 à 14h28

+ prépa & provisoire + empreinte: 50 minutes au moins
Essayage chape + biscuit: 30 min au moins
Pose CCC: 40 min:
550€-frais prothé - temps passé - matériel = pas des masses

Voilà pourquoi beaucoup de prat posent IC+CCM en 1 séance.
Et font 15000€/ 20000€ net tranquillement...
--
Normal is not something to aspire to, it's something to get away from


003 penrd2 - Eugenol
Cingulum

31/10/2011 à 14h40

Voila dans tout ce que tu dis ce que je ne fais pas ...


Le Choixpeau magique écrivait:
------------------------------

>
> - je retire ma digue et je fais sauter mon IRM : 2 minutes

Il ne faut pas avoir a retirer la digue. Si tu dois reconstruire des parois, fait le au CVIMAR, ou compo. Tu as ainsi pas a le retirer en faisant ton SC33.
Si tu es dans un cas ou tu peux pas mettre un compo, ce n'est plus une indication de SC33, ou alors faut faire l'élongation avant...

> - très souvent j'ai besoin d'isoler la dent d'à côté avec le système triodent,
> mise en place : 2 minutes.

Si tu as pas enlevé ta digue... pas besoin
2 min de gagnées

> - retrait de la gutta dans la cavité, désobturation du canal : 2 minutes (c'est
> vraiment un grand minimum !)

D'accord avec toi


> - nettoyage de la cavité avec une grosse fraise boule tungsten (avec une
> diamantée ça serait mieux pour le collage, mais c'est plus facile pour nettoyer
> avec la tungsten) : 2 minutes
> - vérification au révélateur de carie plus retouches éventuelles : 1 minute

Là je comprends pas, perso quand je fais ma cavité d’accès pour l'endo, il reste plus de carie, et il y a pas besoin de nettoyer aprés... 3 min de gagnées


> - nettoyage de la cavité à l'alcool, rinçage, séchage : 30 secondes
> - pose de l'adhésif en trois étapes Surpass, retrait des excès dans le canal
> avec des pointes papier, polymérisation : deux minutes

J'utilise un adhésif dual MR2, donc je mordance le canal, puis adhésif a la micro brush...

> - insertion du compo dual dans le canal plus insertion du tenon (je ne silane
> plus mes tenons), plus polymérisation 40 secondes : une minute

> - insertion d'une fine couche de compo dual dans la cavité plus polymérisation
> 20 secondes : 30 secondes
> - insertion du compo dual en masse et en excès, et attente de 2 minutes 30 que
> l'état de gel soit atteint, puis polymérisation 40 secondes: quatre minutes

Je n'attend pas que l'état de gel soit atteint... Je photopolymérise en bloc avec une insolation progressive. En tout 2X 40 sec de lumière

> - retrait des excès, obtention d'une morphologie occlusale, test de l'occlusion
> au papier à articuler, retouches, radio post-endo: quatre minutes.
>


La radio tu la fais de toute façon, et elle a sa cotation, nettoyer faire le logement aussi...

Si on compare le temps pris pour un SC33, et le temps pris pour faire la prep pour l'inlay core, et le coût de labo...
le SC33 reste rentable

ce qui n'est pas rentable c'est l'endo... c'est pas le SC33...
meme si tu mets 20 min que pour ce qui concerne le SC33 (c'est sur que si tu mets dedans la radio, la consult etc....) 20 min pour sc33 ça fait 230€ de l'heure.

Bien sur que le FX moignon te fera gagner plus... mais on peut pas dire que le SC33 c'est pas rentable..

> On arrive à un total de 21 minutes, assez conforme au temps que je mets (quand
> je le fais je prends un RDV d'une heure trente pour endo + reconst).
>

Et oui, quand les indications sont les bonnes, c'est mieux pour l'étanchéité, l'esthétique...


--
Dr Cingulum
-----Ancien interné----
----Attaché à l'apex----
http://www.clinic-all.fr/ formation par passion


maz

31/10/2011 à 14h54

ceux qui disent qu'on sait vendre ou qu'on ne sait pas vendre, c'est tout à fait vrai, mais il manque une notion, c'est que vendre peut s'apprendre, il existe des formations comme pour la clinique.


003 penrd2 - Eugenol
Cingulum

31/10/2011 à 14h55

j'ai jamais dit que notre nomenclature était géniale ...
- On perd de l'argent quand on fait des consultations. Je prends en générale 45 min pour tout nouveau patient adressé
- on perd de l'argent quand on fait une endo
- on en perd du temps et de l'argent quand on a raté et qu'il faut recommencer, quand notre provisoire se barre, quand il y a douleur suite à nos soins, quand il y a une alvéolite, quand ça va pas.... ça on doit pouvoir les diminuer, bien que tendre vers Zero soit illusoire...
- On perd du temps quand un patient viens pas
- On perd du temps sur Eugenol
- on perd de l'argent quand on fait un joli compo,
etc...

mais on gagne de l'argent en faisant un sc33, des facettes, des onlays, etc...

je sais je suis têtu. Ma femme me dis même souvent que je suis de mauvaise foi... et je me soigne même pas :p



--
Dr Cingulum
-----Ancien interné----
----Attaché à l'apex----
http://www.clinic-all.fr/ formation par passion


003 penrd2 - Eugenol
Cingulum

31/10/2011 à 14h59

Si vous appelez vendre le fait de faire prendre conscience a un patient ce qui se passe dans sa bouche, et comment empecher que ça empire, le fait que vous pouvez faire en sorte qu'il garde le sourire et de quoi manger comme il faut jusqu'a la fin de ses jours.. Faut changer de métier...

Vendre aujourd'hui c'est faire acheter a quelqu'un quelque chose dont il a pas besoin... Un Ipad, une grosse voiture, des nouvelles Nike.... ça c'est vendre...

Si vous pensez que les gens n'ont pas besoin de faire réparer leur dent, prendre soin de leur sourire.... arrêter tout de suite, ne cherchez pas plus loin pourquoi vos patients vous disent non....


--
Dr Cingulum
-----Ancien interné----
----Attaché à l'apex----
http://www.clinic-all.fr/ formation par passion


maz

31/10/2011 à 15h10

Cingulum écrivait:
------------------
> Si vous appelez vendre le fait de faire prendre conscience a un patient ce qui
> se passe dans sa bouche, et comment empecher que ça empire, le fait que vous
> pouvez faire en sorte qu'il garde le sourire et de quoi manger comme il faut
> jusqu'a la fin de ses jours.. Faut changer de métier...

ce que certains appellent ici vendre (terme que j'ai repris) certains comme toi l'ont naturellement en disant ce que tu viens de dire, mais je pense qu'on parle de la même chose

et comme je disais, ce qui peut aller de soi pour certains, d'autres ont besoin de l'apprendre


Grueavatar nptrc9 - Eugenol
Le Choixpeau magique

31/10/2011 à 15h23

Cingulum écrivait:
------------------
> Si vous appelez vendre le fait de faire prendre conscience a un patient ce qui
> se passe dans sa bouche, et comment empecher que ça empire, le fait que vous
> pouvez faire en sorte qu'il garde le sourire et de quoi manger comme il faut
> jusqu'a la fin de ses jours.. Faut changer de métier...
>
> Vendre aujourd'hui c'est faire acheter a quelqu'un quelque chose dont il a pas
> besoin... Un Ipad, une grosse voiture, des nouvelles Nike.... ça c'est vendre...
>

On n'a pas la même définition de vendre... pour moi ce n'est pas un gros mot !

Faire prendre conscience à quelqu'un de ce qu'il se passe dans sa bouche c'est pas vendre c'est éduquer. Est-ce que c'est parce que qu'on est éduqué qu'on va faire les choses comme il faut, je ne suis pas sûr.
Est-ce que parmi vous tout le monde a une bouche nickel avec vraiment rien de rien à faire ? Est-ce que tout le monde se brosse les dents trois minutes après chaque repas ? Est-ce que parmi vous il n'y en a pas qui fument, qui grignotent, qui mangent des bonbons et qui boivent du coca ? Est-ce que tout le monde a une activité physique régulière ?
Je connais la réponse, et pourtant nous sommes des professionnels de santé avec au minimum 6 ans d'étude, tout ça nous le connaissons par coeur, alors comment est-ce possible ? Est-ce juste un problème d'éducation ?

Pour que le patient dépasse le stade de la connaissance de son problème à celui de se demander si il a envie de le résoudre, pour qu'il passe de l'envie de le résoudre à celui de se demander si une solution est possible (c'est d'ailleurs souvent l'inverse, les patients ne cherchent pas à résoudre leur problème parce qu'ils pensent qu'il n'y a pas de solution ou que la solution leur est inaccessible), pour qu'il passe de la notion qu'une solution est possible à l'envie d'investir le temps, l'argent et le courage nécessaires à l'obtention de la solution, tout ça ça demande des talents de motivation/persuasion. Le boulot du dentiste pour que les patients viennent bénéficier de ses traitements, c'est de les convaincre que leur pognon serait plus utile pour eux dans la poche du dentiste plutôt que dans celle du vendeur d'Iphone. Et tout ce processus, on peut l'appeler comme on veut, consultation, recommandation, expertise, conseil, mais ça reste de la vente de services bête et méchante, et les meilleurs utilisent en le sachant ou pas de nombreuses techniques de communication et de vente qui sont enseignées comme telles aux commerciaux des grandes entreprises.

Après dans les dentistes qui réussissent à faire acheter de gros plans de traitement coûteux à leurs patients en se défendant de vendre, il y a les hypocrites qui préfèrent se voiler la face, et les vendeurs nés qui pensent sincèrement ne pas le faire alors qu'ils le font au quotidien. Je préfère penser que tu fais partie de la deuxième catégorie Cingulum, tu parles en prose sans le savoir ;)


Grueavatar nptrc9 - Eugenol
Le Choixpeau magique

31/10/2011 à 15h32

Cingulum écrivait:
------------------
> Il ne faut pas avoir a retirer la digue. Si tu dois reconstruire des parois,
> fait le au CVIMAR, ou compo. Tu as ainsi pas a le retirer en faisant ton SC33.


C'est un conseil qu'une autre personne m'a déjà donné mais je n'y crois pas cinq secondes.
Il t'arrive de faire des reconstitutions pré-endodontiques au composite, vraiment ?
En général, une endo c'est rarement pour une cavité occlusale, il y a quasiment toujours une (très) grosse carie proximale, je me vois mal reconstituer systématiquement mes dents en pré-endo au composite. Ou alors le temps que tu gagnes après par rapport à ma technique, tu le perds avant dans des conditions assez pénibles.


> Là je comprends pas, perso quand je fais ma cavité d’accès pour l'endo, il reste
> plus de carie, et il y a pas besoin de nettoyer aprés... 3 min de gagnées

Bah t'es plus fort que moi, moi j'en trouve toujours, et quand ma cavité est remplie de gutta et de ciment endo, j'ai fortement besoin de nettoyer. Il paraît que ça marche très bien avec une microsableuse, mais je n'ai pas encore ça à dispo.

> J'utilise un adhésif dual MR2, donc je mordance le canal, puis adhésif a la
> micro brush...

Donc tu mordances le canal, tu le rinces avec une micropipette, tu le sèches avec des pointes de papier... je préfère ma méthode !

> Je n'attend pas que l'état de gel soit atteint... Je photopolymérise en bloc
> avec une insolation progressive. En tout 2X 40 sec de lumière

Je préfère ma méthode, qui est celle de Kanca, pour minimiser le stress de polymérisation qui est considérable dans une technique en bloc.

> Si on compare le temps pris pour un SC33, et le temps pris pour faire la prep
> pour l'inlay core, et le coût de labo...
> le SC33 reste rentable
>
> ce qui n'est pas rentable c'est l'endo... c'est pas le SC33...
> meme si tu mets 20 min que pour ce qui concerne le SC33 (c'est sur que si tu
> mets dedans la radio, la consult etc....) 20 min pour sc33 ça fait 230€ de
> l'heure.
>
> Bien sur que le FX moignon te fera gagner plus... mais on peut pas dire que le
> SC33 c'est pas rentable..

Tu crois vraiment qu'un cabinet qui ne ferait que des endos et des SC33 pourrait vivre ? Ou il faut qu'il arrive à faire de la prothèse par dessus ?

> Et oui, quand les indications sont les bonnes, c'est mieux pour l'étanchéité,
> l'esthétique...

Je pense même que les cas où ça n'est pas possible sont rarissimes !


003 penrd2 - Eugenol
Cingulum

31/10/2011 à 15h49

Le Choixpeau magique écrivait:
------------------------------
> Cingulum écrivait:
> ------------------
> > Il ne faut pas avoir a retirer la digue. Si tu dois reconstruire des parois,
> > fait le au CVIMAR, ou compo. Tu as ainsi pas a le retirer en faisant ton SC33.
>
>
> C'est un conseil qu'une autre personne m'a déjà donné mais je n'y crois pas cinq
> secondes.
> Il t'arrive de faire des reconstitutions pré-endodontiques au composite,
> vraiment ?


Quand je vois le patient en urgence, je fais la pulpec, je nettoie toute la cavité pour qu'il n'y ai plus de carie ;), je met une matrice, un coton avec pulparthrol et je remplie au FUJI II LC,
si derrière il y a l'endo, quand tu fais ton ouverture tu gardes ce qu'il faut de fuji pour avoir l'etanchéité, mais pas trop pour pas que ça gene ta RCRC.. . aprés taille ce fuji que tu as mis en pré-endo a été complètement été retiré...

si le patient disparait dans la nature il revient pas pour un pansement tombé...





>
>

>
> Donc tu mordances le canal, tu le rinces avec une micropipette, tu le sèches
> avec des pointes de papier... je préfère ma méthode !

un tenon fibré n'a pas besoin d'avoir 1cm de long...
On colle bien sur les premiers millimètre, au dela nada !
donc ça sert a rien de faire un logement comme pour un IC, sachant qu'au dela de quelques mm tu maîtrise plus rien...
Parfois même je fais un avant trou sur 2 mm et je met pas de tenon, et je cote quand même SC33... c'est mon DC qui m'a dit sans que je lui demande, que c’était un ancrage radiculaire valable.... et je suis d'accord avec lui..

donc pour moi c'est tenon court collé. Et oui je rince a la soufflette, pointe papier pour sécher et micro brush pour l'adhésif...





> Tu crois vraiment qu'un cabinet qui ne ferait que des endos et des SC33 pourrait
> vivre ? Ou il faut qu'il arrive à faire de la prothèse par dessus ?

J'ai pas dit ça ;) tu le sais...

>
> > Et oui, quand les indications sont les bonnes, c'est mieux pour l'étanchéité,
> > l'esthétique...
>
> Je pense même que les cas où ça n'est pas possible sont rarissimes !


--
Dr Cingulum
-----Ancien interné----
----Attaché à l'apex----
http://www.clinic-all.fr/ formation par passion


003 penrd2 - Eugenol
Cingulum

31/10/2011 à 18h09

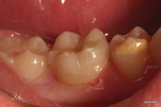
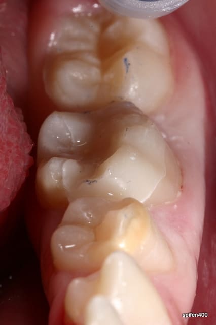
tiens je me suis chronométré :)
28min :) lol
bon celui la etait un peu long, car provisoire collé au cvi cause durée avec le provisoire trop longue....
donc dur a déposer et obligé d'enlever les résidu de cvi aux US...

ceux qui font pas d'onlay vous proposez quoi là ?
patiente de 13 ans ...

heu spifen 400 c'est pas de la pub lol


--
Dr Cingulum
-----Ancien interné----
----Attaché à l'apex----
http://www.clinic-all.fr/ formation par passion

Img 0030 zhcmtt - Eugenol
Img 0031 rxmlqp - Eugenol
Img 9916 p0qhrt - Eugenol
Img 9912 i0zqkh - Eugenol

Grueavatar nptrc9 - Eugenol
Le Choixpeau magique

31/10/2011 à 19h57

Cingulum écrivait:
------------------
> tiens je me suis chronométré :)
> 28min :) lol

Douche comprise ? ;)

> ceux qui font pas d'onlay vous proposez quoi là ?
> patiente de 13 ans ...

Ca ressemble à un beau MIH avec un confrère qui a fait des trucs bizarres avec un amalgame.
Ca me rappelle un cas il y a deux ans sur une patiente de seize ans, j'avais proposé un onlay compo, le papa m'avait regardé avec un air très désagréable et n'était jamais revenu...


003 penrd2 - Eugenol
Cingulum

31/10/2011 à 20h12

Oui MIH déjà avec une belle récidive de carie. Je pense que dans un cas comme ça le compo est voué très vite à l’Échec...



--
Dr Cingulum
-----Ancien interné----
----Attaché à l'apex----
http://www.clinic-all.fr/ formation par passion


Ico v for vendetta08 jzhpep - Eugenol
Arnaud Go

31/10/2011 à 21h49

E-Max ce soir, CFAO indirecte, mon protho l'a fait sur plâtre chez un confrère) mais scellé seulement au CVI. C'est moche quand même le CVI et l'inlay n'est pas terrible à côté du compo antagoniste de la première photo. Au fait ça sert à quelque chose le silane-etch ou pas pour le CVI. J'essaierai la pressée et la vraie colle la prochaine fois. Admirez au passage la qualité versatile des caméras chinoises à 100€.

Dans les cas d'inlay ou onlay avec rétention mécanique, pas besoin d'avoir de l'adhésion maxi, une colle automordançante devrait suffire, mais j'ignore si ça vaut la peine.

Par contre pour l'onlay à retour V, je trouve sauf ado et hygiène moyenne ou technicien extraordinaire, que la mutilation est nécessaire pour couvrir toute la face V. Ou alors on est contre toute mutilation et on s'interdit toute facette ou reconstitution à visée cosmétique.

"si derrière il y a l'endo, quand tu fais ton ouverture tu gardes ce qu'il faut de fuji pour avoir l'etanchéité, mais pas trop pour pas que ça gene ta RCRC.. . aprés taille ce fuji que tu as mis en pré-endo a été complètement été retiré." Je vois mal comment tu mets suffisamment de CVI pour que ça tienne mais pas trop pour avoir la place pour ta RCR, photos welcome.

PS : je suis en création mais j'ai fait le compte avec ma femme de ménage, elle gagne plus que moi, bon elle fait plus d'heures aussi.

Stillcap0045 zeqzkw - Eugenol
Stillcap0044 idqsam - Eugenol
Stillcap0046 acd9gz - Eugenol
Stillcap0047 ducllg - Eugenol
Stillcap0048 z4sdxd - Eugenol
Stillcap0049 ob6ncz - Eugenol

200106 10150128247663588 709988587 6466236 5598391 n d7mksb - Eugenol
hallboy

31/10/2011 à 22h38

l'Emax, ça se colle. c'est une ceram un peu fragile d'ou l'importance du collage.et ça peut te bien se coller; a la difference du zircone qui colle pas mais qui est trs solide.

avec le fujicem, le primer double les valeur de collage y parait. il ameliore aussi les performance de RelyX mais change rien pour le Maxcem par ex.


Björn

31/10/2011 à 22h43

Cingulum écrivait:
------------------

>
> ceux qui font pas d'onlay vous proposez quoi là ?
>

Quand je propose un onlay avec 300€ à charge chez une gamine, la mère va dans un autre cabinet pour qu'on lui colle un VI ou un compo en 3 minutes.
Et je ne peux pas faire les couronnes de la mère.
Alors maintenant je mets du VI "en attendant" (quoi, on ne sait pas...).

Bien sûr je ne passe pas trois heures à argumenter sur l'intérêt de l'inlay par rapport au
reste, j'aime pas vendre, faire la pute.
Pas envie d'apprendre les techniques de manipulation non plus...
J'indique au patient, comme tous les professionnels de santé, le traitement requis dans son cas.
Je lui fais un devis et il ne revient pas.

Les patients ne posent quasiment aucune question à leur chirurgien cardiaque, la consult pré-op dure 10 minutes à tout casser, on leur dit vous avez ça et on va faire ça, et l'enjeu pour le patient est ici tout autre...
C'est bien que nous faisons de la VENTE ( et ce n'est pas un gros mot pour moi non plus), on passe un quart d'heure à se justifier de prendre du pognon au patient, c'est pas plus compliqué que ça.
Quand on est nul en vente, on peut même à un moment voir dans l'oeil du patient un petit éclat qui dit "il essaie de m'entourlouper le dentiste avec son plombage à 300€ alors que chez Georges-Alain c'est gratos", et c'est assez insupportable de passer pour un arnaqueur toute la journée.
Enfin pour moi, apparemment certains ne sont pas gênés ou n'en ont pas conscience.
Donc les onlays et autres trucs exotiques qu'ils faut vendre pendant des plombes, maintenant c'est pour la famille.


Grueavatar nptrc9 - Eugenol
Le Choixpeau magique

31/10/2011 à 23h07

Björn écrivait:
---------------
> Quand je propose un onlay avec 300€ à charge chez une gamine, la mère va dans un
> autre cabinet pour qu'on lui colle un VI ou un compo en 3 minutes.

Aussi le truc que j'ai entendu plusieurs fois :
- mon mari/ma femme m'a dit que vous vouliez mettre une couronne à mon enfant, je ne suis pas d'accord du tout, il est trop jeune pour avoir une couronne
- euh, en fait justement j'ai proposé un onlay, vue la grande fragilité de la dent ça permet de la protéger tout en évitant la couronne
- ah oui, mais moi je trouve que ça fait quand même jeune, vous ne pouvez pas lui faire un plombage ?
- non Monsieur/Madame, malheureusement si je fais un plombage ça ne va pas tenir, et votre enfant risque de perdre sa dent.
- oui, mais vous ne voulez vraiment pas lui faire de plombage !?
-...
- bon, d'accord, on va réfléchir
- attendez, vous oubliez votre devis...
- ah oui, c'est vrai, bon bah merci pour tout en tout cas.


200106 10150128247663588 709988587 6466236 5598391 n d7mksb - Eugenol
hallboy

01/11/2011 à 00h10

et aujourdhui j'ai preparé 2 facettes. j'ai pas proposé. c'est la patiente qui a demandé: pas d'incisives laterales.
mockup au compo. j'ai rien vendu. que dalle. wallou.

Et une de mes copines vient d eme demander d'en faire 6 par ce que son dentiste lui a repondu " tu n'en a pas besoin". je lui ai montré 2 photos, lui ai dit que si ça la genait que je la voie se faire changer so nsourire je pouvais lui conseiller un confrer; elle a telephoné le lendemain pour en faire 6 ( cyclines ) et donc rien vendu non plus. Tiens j'ai scellé un 37 en metal aussi.

.... faire la pute... !!! Et pourquoi pas sucer des bites aussi???!!! tu dois tellement ete mal a l'aise qd tu propose certains traitetements qu' il n'y a pas a s'etonner quand tes patients se mefient de la proposition. ce n'est pas pour autant que d'autres sont des putes parcequ'on acceptent leur plans de traitement ou comme les deux patientes dont je parle le leur demande directement. Et bien sur que je suis loin de ne faire que ça.

Des putes !!! T'as du bol Bjorn que les modos passent leur temsp a roupiller.


Björn

01/11/2011 à 00h24

Les facettes, ça se voit et les gens connaissent, donc ça se vend bien, comme les blanchiments, mais est-ce du soin?

Là, on parlait de faire des onlays sur des MIH, et ce que nous disons Choixpeau (super classique le truc du "trop jeune") et moi, on ne l'invente pas.
Si t'as réussi à vendre un onlay aux parents (style Français moyens) d'une gamine de 13 ans, chapeau!!!


200106 10150128247663588 709988587 6466236 5598391 n d7mksb - Eugenol
hallboy

01/11/2011 à 01h46

je vais repeter lentement . JE VEND PAS.
Je propose plusieures alternatives. je fais ce que le patient choisi. c'est pour ça que je fais des stellites et des 7 en metal. Je les vends ceux là??

mes propositions ressemblent a qq chose comme

On peut faire A, B, ou C. ou rien.

les avantage de A sont ; de B sont; de C sont ; et Rien vous coutera rien.

A peu pres 20 secondes sur le cout de chacun apres prise en charge, et fin de l'argumentaire par une phrase du type : vous pouvez changer d'avis autant que vous voulez jusqu'a ce que ça parte au labo.

"l'entente financiere" ( cest comme ça qu'on dit .) est la mme pour ABC: ce qui est rembourés part a 30 jours . le reste en plusieurs cheques dont le premier part a upremier RV. plus la somme est grande plus j'accepte un grand nombre de cheque.
il ya toujours des alternatives qui font qu'on peut passer des implants aux bridges ou au stelite ou mm a rien. et la seule chose que je m'efforce de vraiment faire passer c'est que ce doit etre le choix du patient et que je sais tres bien que son choix est dicté par plusieures choses dont sa capacité financiere. ça evite qu'il se sente une merde si il fait un stellite ou si il me dit qu'il doit attender un peu pour sa ceram. J'ai des patients, pas des clients. Et c'est bien parce que ce sont ps des clients que je leur propose ce que je ferais pour ma mere, ou que je rajoute " "on pourra touours faire les implants plus tard" alors que et lui et moi on sait tres bien que ça se fera jamasi.

les seuls patients que je ne recois plus c'est ceux qui ratent des RV. En gros je n'ai jamais plus d'une semaine d'avance sur les RV, j'ai de la concurence tous les 50m . J'ose mm pa imaginer ce que je ferai avec un mois sur le carnet....


maz

01/11/2011 à 02h14

hallboy écrivait:
-----------------
> je vais repeter lentement . JE VEND PAS.
> Je propose plusieures alternatives. je fais ce que le patient choisi.

Cingulum écrivait:
------------------
> Si vous appelez vendre le fait de faire prendre conscience a un patient ce qui
> se passe dans sa bouche, et comment empecher que ça empire, le fait que vous
> pouvez faire en sorte qu'il garde le sourire et de quoi manger comme il faut
> jusqu'a la fin de ses jours...

Björn écrivait:
---------------
> Bien sûr je ne passe pas trois heures à argumenter sur l'intérêt de l'inlay par rapport au
> reste, j'aime pas vendre, faire la pute.
> Pas envie d'apprendre les techniques de manipulation non plus...
> J'indique au patient, comme tous les professionnels de santé, le traitement requis dans son cas.
> Je lui fais un devis et il ne revient pas.


et pourtant on parle tous de la même chose, proposer un ou des traitements au patient, et que les patients se soignent.
Qu'on appelle ça vendre ou pas, le fait est qu'y voir une chose négative fait qu'on n'y réussit pas, et y voir une chose plus positive fait qu'on commence à réussir.

ce que hallboy disait très bien :
> Ce que m'a appris l'hypnose, c'est qu'on arrive toujours a voir le monde, comme
> on imagine nos certitudes.

j'ai appris la même chose grâce à la PNL (oh, encore un gros mot), et je commence à vendre, sans aucune technique ni manipulation, en changeant mes certitudes. (pas facile d'ailleurs)


003 penrd2 - Eugenol
Cingulum

01/11/2011 à 04h29

Björn écrivait:
---------------

>
> Quand je propose un onlay avec 300€ à charge chez une gamine, la mère va dans un
> autre cabinet pour qu'on lui colle un VI ou un compo en 3 minutes.
> Et je ne peux pas faire les couronnes de la mère.
> Alors maintenant je mets du VI "en attendant" (quoi, on ne sait pas...).
>
> Bien sûr je ne passe pas trois heures à argumenter sur l'intérêt de l'inlay par
> rapport au
> reste, j'aime pas vendre, faire la pute.
> Pas envie d'apprendre les techniques de manipulation non plus...
> J'indique au patient, comme tous les professionnels de santé, le traitement
> requis dans son cas.
> Je lui fais un devis et il ne revient pas.
>

C'est sur que si tu penses a vendre des couronne a la mère quand tu soignes la gosse, on a pas du tout la même mentalité ...
Un onlay dans ce cas c'est du surtraitement ? De l'arnaque ?
Je fais la pute en proposant un traitement conservateur qui permet de conserver la dent plus longtemps qu'un compo ou une couronne ?
A mon gosse je lui aurai fait la même chose ... et je connais pas beaucoup de parent qui donnerait pas 300 pour soigner comme il faut son enfant...
Ça prend 5 min d'expliquer l'avantage de l'onlay au patient..
Tu prends vraiment tes patients pour des cons Bjorn...
On en revient a ce que je disais un peu plus haut... c'est dans votre tête que ça ce passe...
--
Dr Cingulum
-----Ancien interné----
----Attaché à l'apex----
http://www.clinic-all.fr/ formation par passion


1...678...