Cookie Consent byPrivacyPolicies.comMCI le mardi 20 décembre - Eugenol

MCI le mardi 20 décembre

Logo m4n3gc - Eugenol
drmarcus

15/11/2011 à 13h17

posit écrivait:
---------------
> Quelles solutions techniques ont elles permirent de passer des avions biplans
> aux avions à ailes cantilever ?

Cantiler est l'expression porte à faux en anglais. N'hésites pas à ma corriger Posit c'est loin ces souvenirs.

Ainsi pour une structure d'aile ou m^me une extension mécanique de quoi que ce soit on fait une structure en L (en fin couché sur la gauche je sais pas faire ici)( ____I) quelque chose comme ça).
Sauf erreur on fait une structure longitudinale avec un renfort vertical sur toute le longueur (sur une aile c'est soit au milieu soit sur le bord d'attaque j'imagine).

Posit Correction STP ou peut etre n'ai je pas le droit de jouer?


--
"La vis est à l'implant ce que la carie est à la dent!" (Pozzi)


Utilisateur banni

15/11/2011 à 14h39

Dans l’anatomie osseuse trouve-t-on des structures travaillant en porte à faux ?


alattak

24/11/2011 à 23h59

bonjour!
je suis nouvelle sur eugenol, et j'ai une mci demain.
si j'ai bien compris, tu proposes de venir voir ton intervention?
tu es où?
amitiés


Photo pluton1b h9n4ea - Eugenol
pluton

25/11/2011 à 00h53

alattak écrivait:
-----------------
> bonjour!
> je suis nouvelle sur eugenol, et j'ai une mci demain.
> si j'ai bien compris, tu proposes de venir voir ton intervention?
> tu es où?
> amitiés
>

çà sera pour une prochaine...le bloc affiche complet...;-)
posit, plus 2 confrères et vraisemblablement le directeur Implant Direct France, rien que çà...(visiblement "touché" par les bon retours produits sur nonol, intéressé par ce que l'on peut faire avec ses implants et qui souhaite développer un réseau de référents chez nous...voir même un "study club")

çà serait pas vraiment raisonnable d'un point de vue asepsie d'être plus nombreux...
mais l'intervention sera filmée et je la posterai sur le forum (hors phases "copywrite" de posit)...;-)

qui sais, peut être que Mr Solomon voudra renouveler l'expérience avec plus de monde...on peut imaginer une diffusion sur grand écran dans une autre salle de ce qui sera filmé...
mais je ne fais pas tous les jours ce type de chir...même si j'en ai encore 2 dans les tuyaux...(mais pour l'une j'ai un gros travail à faire avant dont un double sinus lift...)


saintantoine

25/11/2011 à 01h21

c'est plus de la chir,c'est du show-bizz.Ah les jeunes, ils maitrisent la com. Attention,à 18-24 mois, les problèmes arrivent.Bonne chir.


saintantoine

25/11/2011 à 01h23

Oui,un paquet.


Photo pluton1b h9n4ea - Eugenol
pluton

25/11/2011 à 01h30

saintantoine écrivait:
----------------------
> c'est plus de la chir,c'est du show-bizz.Ah les jeunes, ils maitrisent la com.
> Attention,à 18-24 mois, les problèmes arrivent.Bonne chir.

non, je ne prétends pas à çà...mais j'aime le partage des connaissances...;-)
on se voit toujours samedi?
mon foret modifié a t'il été efficace?


saintantoine

25/11/2011 à 09h21

OK pour Samedi.Le foret...BOF.Le pb, c'est que POSIT a aussi mauvais caractère que moi et est aussi tétu que moi.Au dernier
"TEETH IN 5 HOURS and ALL IN 8", on a réalisé 48 passages de forets.Trop long et trop dur. Mais le Capitol veut pas capituler.Faut encore et encore améliorer le système et surtout les forets car quand tu tombes dans un os D1 limite D0, ces forets condenseurs servent à rien.
Je vais à l'ADF. A+.


Utilisateur banni

16/12/2011 à 16h17

Os de forage après 5 MCI soit 35 forage …

Copie de 100 8011 irk4sw - Eugenol

Logo m4n3gc - Eugenol
drmarcus

20/12/2011 à 13h09

J'suis en vacances me suis connecté exprès! en plus en clé 3G ça rame; et c'est pas fini? :-)))))))

--
"La vis est à l'implant ce que la carie est à la dent!" (Pozzi)


Photo pluton1b h9n4ea - Eugenol
pluton

20/12/2011 à 22h25

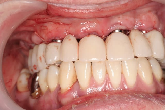
mais si, c'est fini...;-)
la chir, après attente des derniers retardataires, à débutée à 9h45 (au lieu de 9h30)
à 11h30 les implants étaient tous posés (8...avec summers pour 27)
à 13h30 le bridge était dans les mains de posit pour finitions...et le bougre y a passé 1h...lol...on peut dire qu'il a pris son temps...;-)

bon je sais, j'ai encore du travail en bas, mais j'ai quand même réussi à stabiliser la paro pour le moment, la patiente n'ayant pas un budget à rallonge...

Mci 20 - Eugenol

johnnybegood

20/12/2011 à 22h43

beau travail!


Photo pluton1b h9n4ea - Eugenol
pluton

21/12/2011 à 01h28

et une petit vidéo rapide pour les impatients...;-)



Smile beach jgh0a1 - Eugenol
Céramik

21/12/2011 à 02h09

pluton écrivait:
----------------
> et une petit vidéo rapide pour les impatients...;-)
>
>
>



Très fort, la chirurgie MCI et vidéo même jour, très fort.
Résultat semble très bien, j'aime bien.
Guide sympa aussi.

Aller, fait le bas aussi !
;-)

--
Céramik


3f3boxni50k58rq7e9ce9ddqrxgk - Eugenol
dentiste57

21/12/2011 à 04h41

la video me laisse sur ma faim...

la suite!

;)


Casque beotien a3jo39 - Eugenol
beotien

21/12/2011 à 09h35

beau travail pluton, as tu utilisé du mat de comblement?
et belle vidéo


Photo pluton1b h9n4ea - Eugenol
pluton

21/12/2011 à 10h56

non, pas de biomat...

allez quelques photos (c'est posit qui les a prises...y a quelques floues...)

Img 3116 i7jfna - Eugenol
Img 3117 vhezzf - Eugenol
Img 3120 jiqlcs - Eugenol
Img 3124 yapncl - Eugenol
Img 3131 gdkbi1 - Eugenol
Img 3132 do9qde - Eugenol
Img 3133 r5szip - Eugenol
Img 3136 f4mgzy - Eugenol
Img 3137 bwgdla - Eugenol
Img 3139 e1o9gu - Eugenol
Img 3141 rgsdhr - Eugenol
Img 3142 zztlru - Eugenol

Arès

21/12/2011 à 13h08

Pourquoi le guide ?







"Le vice est au praticien ce que la carie est à la dent"


Smile beach jgh0a1 - Eugenol
Céramik

21/12/2011 à 13h40

Arès écrivait:
--------------
> Pourquoi le guide ?
>
>

pourquoi pas ?
Mise a part les frais supl. C'est sympa les guides.
Ça sauve du temps, et pluton est manchot, alors faut bien l'aider un peu
;-))))))))))

Joli cas .




--
Céramik


jouk

21/12/2011 à 14h17

Joli cas pluton! 2 petites questions qui me viennent: as tu utilisé des piliers multi_unit?Si oui ,pourquoi tu n'utilises pas les temporary abutments pour tavailler en direct implant sans passer par l'intermediaire des multiunits.
Et mon autre question avec quel mat fais tu ton empreinte,et comment fais tu pour éviter que le mat se mettent sous tes sutures et dechire tout à la désinsertion?
Merci pour ton cas.


Photo pluton1b h9n4ea - Eugenol
pluton

21/12/2011 à 14h25

pourquoi le guide?
plusieurs raisons, l'implant en 16 est orienté palatin dans un "renfort" au niveau du sinus...pas facile de viser juste à main levée, mais comme le dit Céramic je dois être manchot
ensuite pour 27 summers de 2/3mm dans un os pas vraiment dense...donc faut impérativement une armature rigide
perso, je connais pas d'autres systèmes que celui de posit qui propose çà
et puis la patiente est jeune (- de 50ans...) et je voulais mettre toutes les chances de mon côté pour en plus garantir une esthétique sympa...

sur ce cas, c'est clair, c'est pour le fun parce que là pour la facture, j'ai moins gagné que posit...:-o

P.S: j'espère que pour ceux qui étaient présents, tout le monde est bien rentré...;-)


Fouilla h6plsy - Eugenol
fouilla

21/12/2011 à 15h09

joli plut très joli
bon je vais moi aussi t'inviter pour un cas similaire que posit doit recevoir dans les prochains jours MCI bas pi on fera le haut après devis accepté donc y reste plus qu'à faire...


--
.


Photo pluton1b h9n4ea - Eugenol
pluton

21/12/2011 à 15h19

jouk écrivait:
--------------
> Joli cas pluton! 2 petites questions qui me viennent: as tu utilisé des piliers
> multi_unit?Si oui ,pourquoi tu n'utilises pas les temporary abutments pour
> tavailler en direct implant sans passer par l'intermediaire des multiunits.
> Et mon autre question avec quel mat fais tu ton empreinte,et comment fais tu
> pour éviter que le mat se mettent sous tes sutures et dechire tout à la
> désinsertion?
> Merci pour ton cas.

oui, il y a des multiunits 5 angulés à 30°, 2 à 15° et 1 droit
les angulations ne permettent pas de travailler directement dans l'implant...

pour l'autre question...ceci fera l'objet d'une formation...en projet actuellement avec posit...;-)
mais il n'y a pas d'empreinte...;-)


@ fouilla, aurais-tu besoin de mon aide?...;-)


l adan

21/12/2011 à 18h04

Belle réalisation ! peux tu nous donner une idée du cout du guide et du provisoire ?
la simulation permettait elle de prévoir que les pilers seraient visibles en antérieur et de prévenir la patiente ?


pointG

21/12/2011 à 22h20

Encore merci pour ton invitation dans ta clinique dentaire.
La chirurgie était très instructive ;ton décolement muqueux a permis la mise en place du guide chirugical Posit dental, et une
fois placé et fixé,c'était bluffant de voir la gencive vestibulaire
et palatine de part et d'autre sans aucun apport de fils de sutures!
Le guide est bien sur indispensable pour une MCI avec un bridge transvissé(réponse à la dernière question; un bon" manchot "n'arrivera pas à placer des implants en fonction d'un bridge pro
prééxistant (à moins de le faire quelques heures après,une fois
une empreinte prise!donc logistique complexe!)
C'est l'avantage de cette chirurgie couplée avec le système guide
bridge transfixé pro de Posit!
Plus cher,mais la patiente repart avec un bridge fixe 3 heures
après(plus de complet!)
Et six mois d'attente au moins voir plus, pour le définitif!
Enfin cette chirurgie implantaire donne envie de le proposer
à des patients !