Cookie Consent byPrivacyPolicies.comMCI le mardi 20 décembre - Eugenol

MCI le mardi 20 décembre

Photo pluton1b h9n4ea - Eugenol
pluton

22/12/2011 à 08h35

l adan écrivait:
----------------
> Belle réalisation ! peux tu nous donner une idée du cout du guide et du
> provisoire ?
> la simulation permettait elle de prévoir que les pilers seraient visibles en
> antérieur et de prévenir la patiente ?

pour le coût, çà dépend du nombre d'implants et du nombre de dents sur le provisoire
ici, on est à un peu plus de 3000€

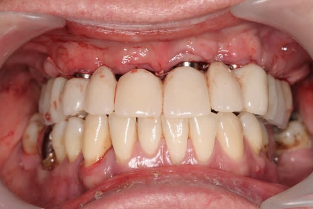
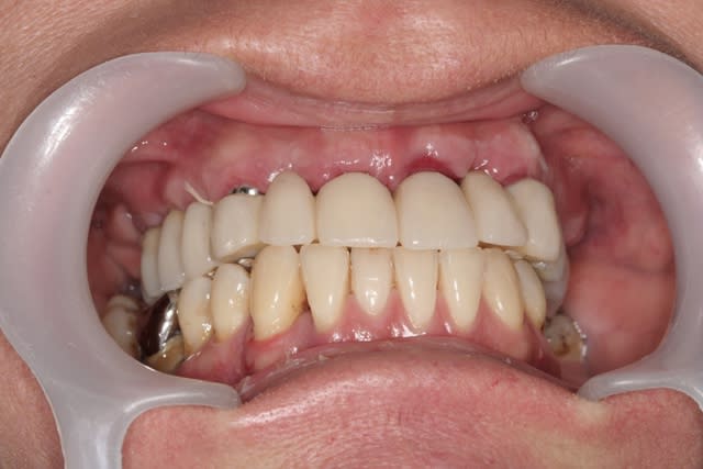
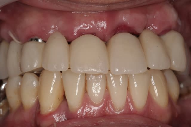
pour les piliers, oui c'était un peu prévisible avec le provisoire où on privilégie l'accessibilité pour l'hygiène...mais l'intervention est toute fraiche et la gencive a en général tendance à remonter le long des piliers
remarque: pas de sourire gingival...donc çà ne se voit pas...

Point G: si tu fais 1 fois ce type de chir, tu mets le doigt dans un engrenage infernal car d'autres patients te le demanderont ensuite...
faut le savoir en toute connaissance de causes car ces interventions sont aussi éprouvantes pour le patient que pour le chirurgien (durée, stress, etc...)
et encore...là tout c'est passé sans problème...mais demandes à gutgut quand le facteur "douleur" s'en mêle et quand tu dois modifier le plan de ttm (taille des implants) en temps réel...

autre info: patiente rappelée...mis à part les 1g de paracétamol en fin de chir, elle a pris 1 codoliprane en fin d'après-midi, 1 le soir avant de se coucher et un autre le matin au petit dej...et pas mal...très surprise que çà soit aussi peu douloureux et enchantée par le résultat...;-)


Utilisateur banni

22/12/2011 à 18h59

implant en 16

Implant en 16 rd70gl - Eugenol

Arès

22/12/2011 à 21h03

Céramik écrivait:
-----------------
> Arès écrivait:
> --------------
> > Pourquoi le guide ?
> >
> >
>
> pourquoi pas ?
> Mise a part les frais supl. C'est sympa les guides.
> Ça sauve du temps, et pluton est manchot, alors faut bien l'aider un peu
> ;-))))))))))
>
> Joli cas .
>
>
>
>
> --
> Céramik
********************************


Pluton n'est pas manchot, un guide empêchera de modifier le plan de traitement en cours de route, il sera un obstacle du moins, une crête vestibulaire qui lâche par exemple, un implant qui ne coincera pas et le plus large ce n'est pas la peine d'y penser, la carte n'est pas le territoire et toute planification qui ne se laisse pas la possibilité de voir les choses autrement lorsqu'on est sur le terrain va causer alors plus de soucis. Sans compter avec les erreurs possibles liées au logiciel. Perso, j'ai laissé tomber d'autant plus que j'ai toujours trouvé ces trucs encombrants. Et puis il y a des crêtes qu'on rase, qu'on meule, on se ménage des tables, etc. Que devient alors un guide dans ces cas là ? J'ai l'impression qu'on se trouve obligé de ne faire qu'inciser, décoller un minimum puis de forer l'os dans l'état où ils se trouve sans plus de réflexion que ça. Je ne connais pas le système de posit. Comme je ne connais pas beaucoup de maxillaires édéntés complets avec suffisamment d'os partout.


Utilisateur banni

22/12/2011 à 21h09

implant en 26

Implant en 26 nrxgxi - Eugenol

Utilisateur banni

22/12/2011 à 23h16

.

Flou posit 1 rtxvgq - Eugenol
Flou posit 2 dj4klj - Eugenol

Photo pluton1b h9n4ea - Eugenol
pluton

22/12/2011 à 23h20

Arès écrivait:
--------------
un guide empêchera de modifier le plan de traitement
> en cours de route,

faux...je l'ai déjà fait...pas sur la position des implants bien sûr, mais sur leur longueur/diamètre, oui...


il sera un obstacle du moins, une crête vestibulaire qui
> lâche par exemple, un implant qui ne coincera pas et le plus large ce n'est pas
> la peine d'y penser,

bof, chez ID un 3.7 qui coince vraiment pas tu dévisses et tu visses un 4.2...tu casses un peu ta crête, tu ROG...rien de plus extraordinaire que ce que tu fais déjà...

la carte n'est pas le territoire et toute planification qui
> ne se laisse pas la possibilité de voir les choses autrement lorsqu'on est sur
> le terrain va causer alors plus de soucis. Sans compter avec les erreurs
> possibles liées au logiciel.

c'est aussi pour çà que c'est pas à mettre dans les mains d'un débutant...
la planification permet de prévoir beaucoup de choses, mais ne se substitue en aucun cas au feeling du chirurgien...le guide est là pour sécuriser, aider au bon positionnement des implants mais c'est à toi de sentir le comportement de l'os et de gérer la séquence de forage...au grand dam de posit, j'ai toujours fini par "reprendre la main" au travers du guide avec mes forets pour bien "sentir" le nonos...mais bon, maintenant il y est habitué...alors il n'a plus peur...;-)


bouboule

23/12/2011 à 00h23

c est tres sympa, belle chir mais le cout du guide est tellement enorme que j ai du mal â me persuader que ça en vaille la peine... avec le guide tu positionne ptetre un peu mieux tes implants et t évites une empreinte et une pose différée Mais est ce que ça vaut 3000 euros?
parceque bon je sais pas combien pluton prend pour ce boulot mais si c est pour gagner moins que le mec qui te fait le guide en prenant par contre en charge toute la responsabilité et la gestion des éventuelles futurs complications, c est un peu les boules!
par contre c est tres joli! sympa de poster ça, merci!


Photo pluton1b h9n4ea - Eugenol
pluton

23/12/2011 à 00h59

bouboule, il faut savoir parfois ne pas gagner beaucoup sur un cas pour en gagner beaucoup plus ensuite...
je ne sais pas si tu imagines "l'aura" que représente ce type d'intervention...c'est pas forcément à la portée de tous et les patients s'en rendent compte...et ils en parlent beaucoup autour d'eux...et c'est avec ces cas "vitrine" de ton savoir faire que tu ébauches ton "faire savoir" qui t'apportera tes cas implantaires futurs...
de nombreux patients sont venus me voir suite à mes MCI pour que je m'occupe de leur traitement implantaire en me disant "vous avez bien réussi à faire çà...alors pour moi vu que c'est plus simple..."
c'est encore un peu tôt pour réellement quantifier l'impact de ces chir sur mon nombre d'implants posés cette année mais je ne crois pas au hasard qui m'aurait fait plus que doubler ce nombre en quelques mois...
pour l'instant, oui, je ne gagne pas beaucoup sur ces cas...mais quand à l'avenir on viendra me voir spécifiquement pour çà, là je saurai me faire payer pour...mais comme toujours avec "tact et mesure"...;-)


bouboule

23/12/2011 à 01h41

Ok avec ça!
Mais ma question était plutôt, penses tu que la même intervention mais cette fois cii sans guide était beaucoup plus compliquée pour toi ? Parceque finalement si ton protho est réactif ( et j imagine que si tu lui confies ce genre de taf il doit l être), à la fin le résultat en terme d' image est le même pour toi: en 24 heures j ai eu mes dents en plus il doit être bon y avait plein de gens pour l observer, y en a même un qui filmait. Je pense que c est plus ces choses là qui sont bonnes pour ton image, en tout cas plus que " il m a mis en place un guide en bouche" ( sauf à communiquer spécifiquement sur son intérêt auprès de ton patient) non?


Photo pluton1b h9n4ea - Eugenol
pluton

23/12/2011 à 08h44

oui et non...regardes la planche pour l'implant 16 qu'a mis posit...à main levée...je sais pas faire...ou alors au coup de bol...
pour ce cas, sans guide, j'aurais fait un double lift pour 16/27 mis en nourrice et donc plus vraiment d'intérêt de faire une MCI...
la patiente aurait été 6 mois de plus avec son complet sur les implants...pas une situation que j'aime particulièrement...
et puis bien gérer le positionnement des multiunits angulés pour que l'esthétique soit sympa c'est moins facile qu'on le pense parce que çà modifie un peu la situation de la position idéale de la tête de l'implant et en plus toute erreur de position de l'hexagone se paye cash pour l'esthétique finale

alors oui, j'aurais pu certainement faire autrement, empocher grassement mes roros pour cette fin d'année, espérant que le deuxième temps chir se passera bien dans 6 mois et que l'esthétique sera pas trop mal au final...merde!!!...la patiente est encore jeune!!!...elle a pas 50 ans...j'ai encore au minimum 25 ans de carrière et de grandes chances de la suivre jusqu'au bout...tu saisis un peu? comprends tu pourquoi je voulais tout "sécuriser" avec une chir totalement guidée quitte à moins avoir...?
et juste faire la chir guidée sans MCI, je vois pas trop l'intérêt car on perd beaucoup de temps pour la deuxième phase chir et donc la différence financière...


Humator t9r5wy - Eugenol
humator

23/12/2011 à 10h54

très beau plut' bravo!

--
N.Hum


Logo vuaztn - Eugenol
mac

23/12/2011 à 11h08

pluton écrivait:
----------------

>
> alors oui, j'aurais pu certainement faire autrement, empocher grassement mes
> roros pour cette fin d'année,


pluton t'es trop gentil.


juninho56

23/12/2011 à 11h16

Félicitations pour ce cas Pluton.

J'ai plusieurs questions à te poser par rapport à ce genre de cas.

Aurais tu une fourchette à me donner au niveau tarif pour le patient? la chir que tu viens de faire aveec le bridge provisoire puis le définitif
Queel genre de devis as tu fais à la patiente? Ce que je me demande, c'est quelle cotation à tu pu mettre dans ton devis, s'il y a du SPR? que du HN? Si la mutuelle en prend une partie en charge?

Moi, je suis en Bretagne. Pour le moment, je ne fais pas encore d'implant. Vu que ton cabinet se situe tres loin du mien, je ne peux pas t'adresser mes éventuels patients pouvant etre interesser par cette solution. Connais tu d'autres praticiens capables de faiire ce genre d'intervention et qui seraient plus pres de mon cabinet?
POour la MCI que tu viens de faire, en comptant la séeance de chir, tu as vu combien de fois la patiente?


Img 0812 mvp6i0 - Eugenol
jeamba

23/12/2011 à 11h45

T'es fou ? Envoyer tes patients chez pluton? Il fait encore des expérioences sur ses patients, attends un peu :))
Moi je dis bravo pluton, le plus diffiocile dans notre métier c'est d'oser et de faire un pas vers une technique inconnue et dont on ne connait pas les résultats. Tu oses et tu t'exposes à des critiques, c'est courageux. C'est peut être vrai, et encore, mais c'est un choix personnel qui n'est pas discutable, ce qui est intéressant c'est ce que tu partages avec les autres et c'est ce qui nous importe. Par contre, et pour être complet, je souhaite que tu nous montres ces cas à 6 mois, un an et plus. Je dis çà car certains de nos confères nous montrent des cascades et des acrobaties, agrémentées de trés jolies photos mais l'amnésie atteind tous leurs cas, ce qui fait que pour nous celà perd tout son intérêt et on ne sait pas comment ces cas ont évolués, ont-ils bien vieillis ? Est ce des techniques reproductibles ?
Bravo pour toi et bravo pour posit également.


Grueavatar nptrc9 - Eugenol
Le Choixpeau magique

23/12/2011 à 12h56

pluton écrivait:
----------------
> bouboule, il faut savoir parfois ne pas gagner beaucoup sur un cas pour en
> gagner beaucoup plus ensuite...
> je ne sais pas si tu imagines "l'aura" que représente ce type
> d'intervention...c'est pas forcément à la portée de tous et les patients s'en
> rendent compte...et ils en parlent beaucoup autour d'eux...et c'est avec ces cas
> "vitrine" de ton savoir faire que tu ébauches ton "faire savoir" qui t'apportera
> tes cas implantaires futurs...

Quand tu fais ça, tu fais également du "dumping" contre tous les praticiens de ton secteur... combien tu vas en faire avant de décider de gagner de l'argent dessus ?
Comment tu penses que ça sera perçu si tout à coup ton tarif est augmenté de 50 ou 100% ?

Aux US une reconstitution sur implant unitaire c'est entre 2500 (super discount !) et 5000 dollars. Parfois à 5000 dollars la couronne n'est même pas inclue dans le prix. Pourtant ils paient le matos le même prix que nous !
2500 si je ne dis pas de bêtise chez nous c'est le haut de la fourchette (cas simple sans greffe), avec une moyenne peut être autour de 1800-2000 euros, et certains qui sont à 1500 voire moins...
A ce tarif là on se retrouve à gagner moins que sur de la prothèse traditionnelle, avec des taux d'acceptations bien inférieurs et des risques financiers en cas de soucis bien supérieurs. Si on choisit de poser une grande marque, le bénéfice disparaît presque totalement (mieux vaut faire des amalgames au pouce à la chaîne !).

Tout ça pour dire que nous, les sales cochons de dentistes voleurs, nous avons quand même une bonne mentalité de Français pour qui l'argent est toujours volé. Si tu ne trouves pas normal de gagner beaucoup d'argent sur ce genre de cas, je me demande sur quoi tu vas te rattraper ! Même si c'est une stratégie marketing, ça fait quand même cher le produit d'appel !


Scan10030 ukikhq - Eugenol
vava

23/12/2011 à 13h56

Tu décris le fonctionnement de la fac dentaire et fait tu le même raisonnement lorsqu’un confrère dans une revue ou lors d’une conférence t’explique qu’il faut utiliser un produit payé par un labo…tes perspectives professionnelles sont ambitieuse mais ne t’étonne pas au moment de trouver un repreneur qu’aucun jeune soit motivé par un CA constitué d’amalgames au pouce fait à la chaîne


Casque beotien a3jo39 - Eugenol
beotien

23/12/2011 à 14h35

Le Choixpeau magique écrivait:
------------------------------
> Aux US une reconstitution sur implant unitaire c'est entre 2500 (super discount
> !) et 5000 dollars. Parfois à 5000 dollars la couronne n'est même pas inclue
> dans le prix. Pourtant ils paient le matos le même prix que nous !
> 2500 si je ne dis pas de bêtise chez nous c'est le haut de la fourchette (cas
> simple sans greffe), avec une moyenne peut être autour de 1800-2000 euros, et
> certains qui sont à 1500 voire moins...

es tu sûr des tarifs que tu avances pour nos confrères américains?
de même pour "CHEZ NOUS", car il y a souvent une grosse distorsion entre les on dit et la réalité
exemple le topic sur leprix des sinus lift, je pensais à 1000€ sans les biomats être peu cher, hors c'est le haut de la fourchette parmi les nonoliens

Pour ce genre de cas je viens de vaguement calculer mon prochain, si posit ne traine pas trop pour la partie prothèse, cela fera environ du 2000€ de l'heure net, comme quoi tout es relatif, et je ne considère pas cela comme un produit d'appel


Grueavatar nptrc9 - Eugenol
Le Choixpeau magique

23/12/2011 à 14h46

vava écrivait:
--------------
> Tu décris le fonctionnement de la fac dentaire et fait tu le même raisonnement
> lorsqu’un confrère dans une revue ou lors d’une conférence t’explique qu’il
> faut utiliser un produit payé par un labo…tes perspectives professionnelles sont
> ambitieuse mais ne t’étonne pas au moment de trouver un repreneur qu’aucun
> jeune soit motivé par un CA constitué d’amalgames au pouce fait à la chaîne

Hein ?


Img 0812 mvp6i0 - Eugenol
jeamba

23/12/2011 à 14h58

Les tarifs annoncés concernant les confrères américains sont archi faux, ou alors ce sont les tarifs sur la 5ème avenue à new york.
Qui à me faire incendier, je ne résisterais pas à faire un commentaire pertonnel concernant les honoraires perçus par pluton ou par posit. Je ne comprends pas cet acharnement d'autant plus que vous vous trompez de et de cible et de sujet. Le but de ce post c'est de montrer une technique nouvelle, partager un travail peu commun, le confort offert au patient et au praticien quoiqu'on dise, mais nullement pour parler de coût. Personne ne vous oblige à faire ce travail et encore moins à commenter ou à juger un plaisir qu'a voulu se faire pluton. Il peut se faire plaisir en "surpayant" son labo et en diminuant sa marge où est le problème ?


bouboule

23/12/2011 à 15h29

en ce qui me concerne j ai juste posé une question a pluton qui a gentiment répondu! ma question concernait bien le cas présenté, elle était en gros de savoir si la plus value apportée par ce guide valait son coût. ça a quand même une petite importance non? aucune attaque juste des renseignements parceque ce genre de guide pourrait m intéresser. Et puis même si parler d' argent n est pas forcément simple c est quand même un élément non négligeable au moment de faire ton devis... et ça fait parti du cas présenté...


Photo pluton1b h9n4ea - Eugenol
pluton

23/12/2011 à 15h30

çà suffit les commentaires sur les tarifs que j'ai pratiqué pour cette intervention!!!!
le prix que j'ai demandé à ma patiente ne regarde qu'elle et moi!!!
le "tact et mesure" vous connaissez? hein? combien d'entre vous raisonnent enveloppe globale quand les cas sont "lourds"? alors STOP!!!

revenons en plutôt au sujet: une MCI, une patiente, et voilà la cicat à 3jours car je viens de la revoir avant ma semaine de congés (pas de pb, s'il y a quoi que ce soit elle a mon n° de portable...)
pour les suites: 2 codoliprane le lendemain et plus rien depuis...juste la cortisone et les AB...

j'ai remis la photo juste post chir que vous jugiez vous même du repositionnement de la gencive qui est en train de se faire...;-)
je pense que çà va être bien joli pour le définitif...;-)

en tout cas la patiente est ravie et moi j'ai pris grand plaisir à l'opérer et partager avec les nonoliens présents...;-)

Img 3142 odbwjx - Eugenol
Img 3143 swt7yk - Eugenol
Img 3144 uuizri - Eugenol
Img 3145 smx6d2 - Eugenol

Grueavatar nptrc9 - Eugenol
Le Choixpeau magique

23/12/2011 à 15h39

jeamba écrivait:
----------------
> Les tarifs annoncés concernant les confrères américains sont archi faux, ou
> alors ce sont les tarifs sur la 5ème avenue à new york.

Ah bon, tu peux nous donner les chiffres dont tu disposes ?


> Le but de ce post c'est de montrer une technique nouvelle, partager un travail
> peu commun, le confort offert au patient et au praticien quoiqu'on dise, mais
> nullement pour parler de coût.

La prochaine fois, faudra nous indiquer ce dont on a le droit de parler et de ne pas parler.
Quand on montre une technique plus ou moins nouvelle, il est assez naturel que chacun se demande si cette technique a une place dans sa pratique, notamment d'un point de vue financier.

> Personne ne vous oblige à faire ce travail et
> encore moins à commenter

Si les commentaires ne sont pas souhaités, faut pas poster sur un forum...

Ca me fait penser aux mecs qui viennent en contrôle, mais qui ne peuvent entendre que des bonnes nouvelles.

Super boulot Pluton !


Photo pluton1b h9n4ea - Eugenol
pluton

23/12/2011 à 15h48

Le Choixpeau magique écrivait:
------------------------------

> La prochaine fois, faudra nous indiquer ce dont on a le droit de parler et de ne
> pas parler.
> Quand on montre une technique plus ou moins nouvelle, il est assez naturel que
> chacun se demande si cette technique a la place dans sa pratique, notamment d'un
> point de vue financier.

j'ai pas dit qu'on ne pouvait pas en parler...mais vous n'avez rien a voir dans l'entente financière entre elle et moi...
cette technique a sa place, elle a un coût, c'est sûr...
maintenant, à pondérer avec une MC différée (temps pris pour la réouverture, prise d'empreinte, occlusion...etc...avec tout ce que cela implique en fourniture...)

> Super boulot Pluton !

merci...;-)


Grueavatar nptrc9 - Eugenol
Le Choixpeau magique

23/12/2011 à 16h03

jeamba écrivait:
----------------
> Les tarifs annoncés concernant les confrères américains sont archi faux, ou
> alors ce sont les tarifs sur la 5ème avenue à new york.

Bonne lecture:

http://www.towniecentral.com/MessageBoard/thread.aspx?s=2&f=123&t=175698&r=0&st=implant%20fee

Uniquement des praticiens de la 5ème avenue bien sûr...


Img 0812 mvp6i0 - Eugenol
jeamba

23/12/2011 à 16h35

D'abord je tiens à clarifier la situation. Mes propos n'étaient nullement agressifs et ne visaient personnes en particulier. Je n'ai pas pris le post de pluton avec le même regard que certains, je me suis mis à sa place ainsi qu'à la mienne, j'ai trouvé son travail formidable et courageux en plus connaissant pluton je ne me fais pas de soucis sur ses compétences. C'est mon droit.
Concernant les tarifs aux états unis, j'ai ma famille dans le kansas et dans le michigan, un implant avec sa prothèse tournent autour de 2000€.
"Quand on montre une technique plus ou moins nouvelle, il est assez naturel que chacun se demande si cette technique a une place dans sa pratique, notamment d'un point de vue financier".
Le but de pluton n'est pas de vous demander d'intégrer cette technique dans votre boîte à outils. Moi aussi je trouve que c'est cher mais je n'ai pas les compétences pour faire aussi bien sans le guide de posit, et si pour les mêmes exigences j'ai besoin de passer par là je dois payer le prix ou alors je ne le fais pas.Ne pas avoir les moyens d'acheter une mercedes ne donne que le droit de dire que c'est pas une voiture pour moi.
" La prochaine fois, faudra nous indiquer ce dont on a le droit de parler et de ne pas parler."
Nous sommes sur un forum en france, pas en syrie, iran ou russie, vive la démocratie.
" Si les commentaires ne sont pas souhaités, faut pas poster sur un forum..."
Au contraire ce sont les commentaires et les interrogations qui nous font avancer, ainsi que les critiques, quand elle sont constructives. Et toi choipeau tun as toujours participé positivement mais comme j'ai dit mes propos ne visaient pas une personne particulièrement.
"Ca me fait penser aux mecs qui viennent en contrôle, mais qui ne peuvent entendre que des bonnes nouvelles."
Je n'ai pas la compétence pour mais entendre de bonnes nouvelles pourquoi pas d'autant plus que bientôt c'est la fête.
Alors bisous à tous les susceptibles et bonnes fêtes à vous tous ainsi qu'à votre famille.