Cookie Consent byPrivacyPolicies.comDevinette เกิดอะไรขึ้น - Eugenol

Devinette เกิดอะไรขึ้น

1 p3qrc4 - Eugenol
Bjc.

18/02/2013 à 16h58

beaucoup de devinettes
pas beaucoup de solutions

;-)


1 p3qrc4 - Eugenol
Bjc.

18/02/2013 à 17h38

Je rigolerais que tes Profs. envisagent l’extraction de P.M.

!!!


1 eugenol dmj5np - Eugenol
Dancha

18/02/2013 à 20h28

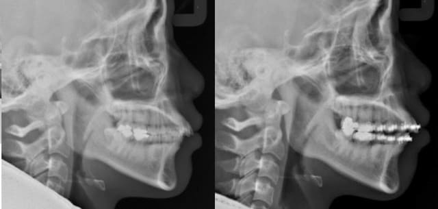
Pour une fois je suis d'accord avec bjc lorsqu'il dit qu'une radio panoramique, réalisée en bout à bout incisives, ne peut exprimer un défaut de position des condyles en occlusion (il a évidemment tort pour le reste, mais ça c'est une autre histoire).

Et même, observez bien les deux panos l'une au dessus de l'autre ainsi les deux télés que j'ai superposées (par la technique des calques à demi transparents sur PSP). Vous verrez alors :
1 que sur les panos la différence de position des condyles n'est vraiment pas flagrante (c'est le moins qu'on puisse dire) !
2 que sur les télés il n'y a pas de remontée postérieure ni de recul de la mandibule comme ce serait la cas si effectivement il y avait eu repositionnement condylien, mais une simple ouverture mandibulaire.

L'origine de cette béance n'est donc pas liée à un problème de position condylienne, le prof de Seespan s'est complètement fourvoyé.
De plus, en osant prendre les panos comme référence, il prouve bien que c'est lui la buse !

Daniel

Devinette1 mau26w - Eugenol
Devinette2 z9v8re - Eugenol

1309531 ours brun n5iukf - Eugenol
seespan

19/02/2013 à 06h24

Dancha écrivait:
----------------
> Pour une fois je suis d'accord avec bjc
La c'est claire je me suis foutus dedans :-)

lorsqu'il dit qu'une radio panoramique,
> réalisée en bout à bout incisives, ne peut exprimer un défaut de position des
> condyles en occlusion

Verdict du département d'ATM, il est en effet impossible de comparer les pano, le problème étant que ce n'est pas assez reproductible comme clichés.
>
>
> 2 que sur les télés il n'y a pas de remontée postérieure ni de recul de la
> mandibule comme ce serait la cas si effectivement il y avait eu repositionnement
> condylien, mais une simple ouverture mandibulaire.

Sa par contre la superposition des deux ceph j'ai des doutes, je ferais le tracé pour comparait les deux mais je doute que l'on puisse voir quoi que se soit.

1 Comme indiqué il ne faut pas une grosse différence de position pour qu'une prématurité sur les 7 provoque une béance importante.
2 Les condyles ne sont déjà pas facile a identifié sur une céphalo latéral mais si on en superimpose deux dure de voir quoique ces soit. Enfin je ferais le tracé et superimposition .
>
> L'origine de cette béance n'est donc pas liée à un problème de position
> condylienne, le prof de Seespan s'est complètement fourvoyé.

Exactement ce que m'a dit en substance le service ATM (sauf que bien sur je n'ais pas donné le diagnostique de m'a prof je suis pas fous non plus).

Vous allez rire pour eux c'est un bête problème occlusal a régler donc la marche a suivre est

1 corriger les prématurité (la miracle overjet, open bite , class II squelettique et dentaire doivent disparaître, sans extraction et sans chirurgie )

2 vérifier qu'il n'y est pas de décalage entre RC et ICM

Pour eux vue qu'il n'y pas apparition de signe ou symptôme au niveau des ATM ni aucune plainte particulière de la part de la patiente il n'y a pas de problème

:-) :-) :-)

Ou comment sortire le bon plan de traiment avec un mauvais diagnostique (potentiellement mauvais en faite, c'est juste que la pano ne permet pas de le poser mais il ne désavoue pas non plus )

> De plus, en osant prendre les panos comme référence, il prouve bien que c'est
> lui la buse !

Je dois avouer que sur ce coup la j'ai était naïf, ma prof avait l'air sur d'elle. Enfin c'est pas une excuse car en effet le bouquin d'atm parle bien de la pano pour un examen morphologique de base des condyles et pour détecter des asymmetrie de forme et volume, mais pas vraiment pour la position dans les fausses.

Mais enfin comme dise les implantos on apprend en plantant

--
หมอจัดฟัน


Picture1111 zburnd - Eugenol
saidkholoki

19/02/2013 à 10h43

Dancha écrivait:
----------------


> 2 que sur les télés il n'y a pas de remontée postérieure ni de recul de la
> mandibule comme ce serait la cas si effectivement il y avait eu repositionnement
> condylien, mais une simple ouverture mandibulaire.
>
> L'origine de cette béance n'est donc pas liée à un problème de position
> condylienne, le prof de Seespan s'est complètement fourvoyé.
> De plus, en osant prendre les panos comme référence, il prouve bien que c'est
> lui la buse !
>
> Daniel

Salut Daniel,
Pour une fois je ne suis pas tout à fait d'accord avec toi. La superposition des deux radios ne montre pas grande chose quand on sait qu'on est en train de parler sur des dixièmes de millimètre ! Par contre on voit une classe I molaire sur la première radio et une classe II presque complète sur la deuxième et je ne crois pas qu'une minime rotation postérieure puisse "reculer" la mandibule et la molaire inférieure autant! Je crois bien que les deux problèmes coexistent à savoir: un repositionnement postérieure de la mandibule avec une rotation postérieure due à l'egression des deuxièmes molaires et l'apparition de points de prématurité .
D'autre part je ne sais pas combien de temps il y à entre les deux radios, Seepan parle de qqs mois mais je vois qu'une troisième molaire a disparu avec une bonne cicatrisation!!?
--
A suivre...
Said


1309531 ours brun n5iukf - Eugenol
seespan

19/02/2013 à 11h42

En effet une superimposition de tracé ne serait pas déjà pas d'une grande aide sur ce cas donc des deux radios pas vraiment exploitable.

Pour une superimposition de tracé les limites sont :

1 pour un même opérateur sur une même radio la reproductibilité est de l'ordre de 0.5 mm (méta analysis).

2 la on super-impose deux radio par le même opérateur donc au mieux on est a 0.5 mm de variation mais probablement plus

3 les condyles sont une zone sujette a déformation puisque un apparaîtra toujours plus gros que l'autre. le tracé est moins précis que le bord de la symphyse mentonnière qui elle n'est pas soumise a une super imposition de deux structures.

4 vue que l'on parle d'une variation de position qui est inférieure au mm même cette méthode n'est pas assez précise

La dans de cas présent si on super impose les radio c'est quatre condyle qu'il faute essayer de différencier dans la même zone. Ce qui est bien sur impossible.

Sorry Dancha mais cette méthode est certes un peut moins mal adapté que la pano mais ça reste dans le même registre

--
หมอจัดฟัน


Picture1111 zburnd - Eugenol
saidkholoki

19/02/2013 à 12h43

seespan écrivait:
-----------------

> Sorry Dancha mais cette méthode est certes un peut moins mal adapté que la pano
> mais ça reste dans le même registre
>
> --
> หมอจัดฟัน

Je ne suis pas d'accord que les paons puissent apporter quoique ce soit sur le diagnostique articulaire à moins que les radios soient faites en PIM, sans pro glissement et sans utilistet la butée incisive, ce qui est faisable il suffit de le demander à l'opérateur. Même avec cela ce n'est précis du tout.
Il suffit de voir que dans certains cas de luxation réductible , le simple fait d'avancer la mandibule le claquement disparaît et le ménisque est capté et donc les condyles sur le pano paraissent symétriques et normaux alors c'est une situation statique pendant la prise de la radio et ne traduit pas la situation dynamique de la mandibule.
--
A suivre...
Said


1309531 ours brun n5iukf - Eugenol
seespan

19/02/2013 à 12h51

Je n'ais jamais dis que la pano était adapté pour un diagnostique articulaire je dis l'inverse.

La seul utilité et pour comparé la morphologie des condyles, symétrie et rapport tête cols principalement pour différencié certaine pathologie. Mais dans tout les cas des examen complémentaire doivent être demandé.
La ma prof me disait que l'on pouvait voir une asymétrie de position ce qui s'est révéler faux.

Pour said question subsidiaire qu'elle partie de la tête condylienne est visible sur une pano est pourquoi?

--
หมอจัดฟัน


belette

19/02/2013 à 13h01

Comme l'a fait remarqué Saïd, la 48 a disparu , et si tout venait de là ?

Parce qu'on peut imaginer que la 47 en a profité pour ... reculer ou simplement égresser !
Scénario:
bjc a dit sur un autre post qu' «  avant de déplacer une dent, il faut la mobiliser. ». j'en déduis que mobiliser une dent lui permet de bouger :
- la 47 a peut-être été mobilisée lors de l'extraction de 48?
- créant une inflammation alvéolaire et une extrusion de 47 (ou un léger recul: on dit qu'on ne peut pas reculer les 6 mais les 7 /??)
- la douleur post-op et les forces occlusales modifiées par l'alignement gènent la patiente qui ne serre plus les dents
---> créant une prématurité sur 47 , puis sur la 37 qui égresse à son tour!

Ce qui est étonnant c'est que la patiente ne se plaigne pas ...parce que son profil est vraiment changé et qu'au niveau confort, ça ne doit pas être top.
--
^ ... ^
Ô"""Ô
= o =
°°°°°


1 p3qrc4 - Eugenol
Bjc.

19/02/2013 à 13h19

"""Pour said question subsidiaire qu'elle partie de la tête condylienne est visible sur une pano est pourquoi?"""


Il serait plus intéressant de savoir la, ou les causes du Pb. (pour ne pas recommencer la m erreur)

Et comment y remédier

@+ Bjc.


1 eugenol dmj5np - Eugenol
Dancha

19/02/2013 à 13h39

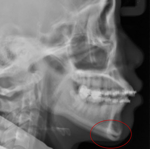
Mon cher Saïd, la superposition que j'ai faite, je l'ai réalisée en prenant la seconde radio, copie, collage comme calque sur la première, superposition sur le maxillaire supérieur et la base du crâne, et en jouant sur la transparence.
La seule chose qu'on constate, c'est une ouverture de l'occlusion, pas un recul mandibulaire. Des points de prématurité, oui, mais pas de recul condylien.
Maintenant, observe bien ci-dessous les clichés avant et après :
Tu constateras que le nivellement orthodontique de Seespan a entraîné une distoversion molaires inférieure.
Cette distoversion molaire a créé cette fameuse classe II dentaire (et non pas squelettique comme le prétend Seespan) et est de facto à l'origine de l'apparition de la béance à cause des prématurités, comme c'est classique.

Seespan prétend qu'il suffira de corriger ces prématurité pour qu'overjet, open bite et tout le reste disparaisse "sans extraction et sans chirurgie", là il se fiche dedans dans les grandes largeurs, son traitement ne sera pas si simple que ça !

Daniel

Devinette3 jy81kk - Eugenol
Devinette0 julg4m - Eugenol

1309531 ours brun n5iukf - Eugenol
seespan

19/02/2013 à 14h19

C'est mois ou tout le monde a l'aire de faire exprès de mal comprendre ce que je dis.

1 pour la class II squelettique il n'y en a pas comme j'ai expliqué très clairement en début de fil, il y a une pseudo class II squelettique du a la prématurités.

2 Pour le plan de traitement il est provisoire vue que je n'ais pas fini l'analyser tout les documents.

3 Le service ATM en voyant les radio a sortie le meme plan mais ce ne sont pas des ortho.

Pour l'observation de la position des condyles ni la pano ni la céphalo ne conviennent.
A noter que la céphalo n'est même pas mentionné parmi les examen radiographique interprétable pour l'ATM malgré ça relative fréquence.
La pano permet une bonne observation de la morphology des condyles mais pas de leur position.
Les technique utilisable autre que la pano sont :

- Transcranial projfection
- Transpharyngeal projection
- anteroposterior transmaxillary projection
- Tomography
- Arthography
- CT
- IRM


Peut être que le cas sera difficile a traiter et peut être que non personnellement a vus de nez (du haut de mes deux ans et 70 patient) je pense que on s'est affoler pour rien.

On vera bien


--
หมอจัดฟัน


Picture1111 zburnd - Eugenol
saidkholoki

19/02/2013 à 15h19

seespan écrivait:
-----------------
> C'est mois ou tout le monde a l'aire de faire exprès de mal comprendre ce que je
> dis.
> Peut être que le cas sera difficile a traiter et peut être que non
> personnellement a vus de nez (du haut de mes deux ans et 70 patient) je pense
> que on s'est affoler pour rien.
>
> On vera bien
>
>
> --
> หมอจัดฟัน
Calme-toi Seepan, le probleme vient peut-etre du fait que tu traites une typologie ethnique totalement differente du type caucasien, les valeurs n'ont aucune valeur de ce cas de figure. Daniel, tout comme moi, pense que le cas est une classe II dificil à corriger, surtout dans le contexte presenté auparavant. La mecanique doit etre bien etudiée, bien dosée et bien appliquée car toute egression de la molaire sous l'effet des elastiques de classe II va contrcarrer le gain dans le sens antero-posterieur. La béance est deja en place, l'ouverture de l'axe facial est deja là et sa re-fermeture n'est pas dit, par la simple suppression des points de prematurité. La classe molaire s'est aggravée, le profil esthetique est moins favorable qu'avant,etc......
Bon courage pour la suite de traitement.

--
A suivre...
Said


1309531 ours brun n5iukf - Eugenol
seespan

19/02/2013 à 16h04

Bon comme dit précédemment on verra avec la prof, mais j'ai due mal a voir en quoi le contrôle vertical est un problème.

Même si il n'y avait pas de prématurité (encore une fois 1 mm au niveau des 6 donne trois mm au niveau incisif )et qu'il s'agissait d'un class II avec open bite ça me semblerait être un cas favorable.

- un seul plan occlusal
- axe des molaire correct (c'est a dire qui perpendiculaire au plan occlusal
- pas de parafonction
- tendance open configuration mais rien de méchant

Si j'était provocateur je dirai mise en articulateur et voir si des couronnes sur les 7 pourrait pas nous régler le problème.

Au pire ingression des 7 avec miniscrew, mais je pense qu'une mécanique plus simple serai adapté pour corrigé l'axe des 7, ou les deux.

Mais enfin la c'est un cas ou les bouquins c'est bien mais il faut de l'expérience clinique.

Je vous tiendrait au courant, je vois la prof dans une semaine et demi et la patiente dans trois.

PS: pour le rapport du condyle avec la fosse sur une pano, il a y des problème de projection qui fausse l'interprétation et qui font que seul la morphology de base est étudié sur ces clichés.
Je vous posterait le schéma demain.

--
หมอจัดฟัน


dentistry

19/02/2013 à 16h17

ce que dit bjc est vrai : sur un orthopantomogramme on peut se fier à la position des condyles que si le patient est en occlusion (donc sans la cale), et encore c'est pas l'examen le + adapté et encore moins la téléradiographie de profil.
Donc faut plutot se fier à l'auscultation stéthoscope des atm/axiographie +- tdm/irm (la tomographie c'est pas terrible non plus).


dentistry

19/02/2013 à 16h39

et si la patiente a des problemes d'atm tu pourra toujours lui faire une plaque resine qui recouvre que le palais effet placebo garanti, ca sera aussi efficace que n'importe quel autre thérapeutiques. XD


Even more surprising is the fact that a so-called placebo or nonoccluding splint that only covers the palate without touching the occlusion is largely as effective as an occlusal splint [92]


[92] Klasser GD, Greene CS. Oral appliances in the management
of temporomandibular disorders. Oral Surg Oral Med Oral
Pathol Oral Radiol Endod 2009;107:212–23.



Et oui beaucoup de dogmes en dentisterie, heuresement que notre chère confrère suédois GUNNAR E. CARLSSON est la pour nous éclairer tel des brebis égarées.

Carlsson GE. Some dogmas related to prosthodontics, temporomandibular disorders and occlusion. Acta Odontol Scand. 2010 Nov;68(6):313-22.


Avatar transparent iqadnc - Eugenol
adhoc

19/02/2013 à 17h57

Bon, on a de très bons indices diagnostics: on a une tendance rotation postérieure, un excès vertical postérieur. Pourquoi personne ne parle des élastics antérieurs , qui dans leurs (faibles mais réelles) composantes horizontales sont bénéfiques pour les condyles qui vont être tirés en avant, et dans leurs composantes verticales, fermer la boite à ragout? (ou à nems, on s'en fiche:-)


Picture1111 zburnd - Eugenol
saidkholoki

19/02/2013 à 18h04

adhoc écrivait:
---------------
> Bon, on a de très bons indices diagnostics: on a une tendance rotation
> postérieure, un excès vertical postérieur. Pourquoi personne ne parle des
> élastics antérieurs , qui dans leurs (faibles mais réelles) composantes
> horizontales sont bénéfiques pour les condyles qui vont être tirés en avant, et
> dans leurs composantes verticales, fermer la boite à ragout? (ou à nems, on s'en
> fiche:-)

Et si le mouvement réalisé par ces elastiques verticaux etait une egression des incisives ce qui risque d'aggraver le sourir gingival, incliner le plan occlusal et sans aucune consequence benefique au niveau articulaire??? C'est une possibilité à ne pas oublier.
--
A suivre...
Said


1 p3qrc4 - Eugenol
Bjc.

20/02/2013 à 00h00

Ce sont les 7 qui ont égressé,
ou les 6,5,4,3,2,1 qui se sont ingréssées?
;-)


J’ai dit ça par boutade,
les 7 ne se sont pas plus egréssées que les antérieures se sont ingréssées.

Alors, quelle est la cause du Pb. ?

@+ Bjc.


1309531 ours brun n5iukf - Eugenol
seespan

20/02/2013 à 03h00

adhoc écrivait:
---------------
> Bon, on a de très bons indices diagnostics: on a une tendance rotation
> postérieure, un excès vertical postérieur. Pourquoi personne ne parle des
> élastics antérieurs , qui dans leurs (faibles mais réelles) composantes
> horizontales sont bénéfiques pour les condyles qui vont être tirés en avant, et
> dans leurs composantes verticales, fermer la boite à ragout? (ou à nems, on s'en
> fiche:-

Les élastics antérieure c'est plus quand tu a un bon calage postérieur (que la manifestement tu n'as pas) et un open bite qui est limité au incisives c'est dire quand tu as deux plan d'occlusion.

Plus comme la bien dit Said aligné les dents c'est bien mais la patiente a la base est la pour amélioré l'esthétique donc au niveau de l'arbre décisionnel c'est la position des incisives pour le sourire qui vient en premier point et pas fermé le bite. De plus d'après les commentaires d'hadoc qui a eu la gentillesse d'étaler sa misère social sur se fil, l’esthétique pour l'instant est satisfaisante.

Sinon de manière plus logique la pour mois le problème est en postérieur, donc a priori voir pour une action en postérieure.

De toute manière l'histoire probable va être après examen des documents de la patiente on va la reconvonqué pour examiner en bouche et juste pour être sure on va aller voir nos amis du département ATM ( la je vais peut étre devoir pleurer un peut ).


--
หมอจัดฟัน


1309531 ours brun n5iukf - Eugenol
seespan

20/02/2013 à 03h05

dentistry écrivait:
-------------------


Comme dit en long en large et en travers sur se fil, il n'y a aucune plainte ATM de la part de la patiente.

Pour les études cité c'est parfaitement exacte et enseigner en ATM, en gros quoique que tu fasse si tu introduis quelque chose en bouche (callage posterieure en résine, appareil amovible, changer un fils ortho ect ect ) tu as une atténuation des symptômes ATM pendant environs 15 Jour.
--
หมอจัดฟัน


1309531 ours brun n5iukf - Eugenol
seespan

20/02/2013 à 14h09

Si joint le schéma des déformations rencontré dans la zone du condyle avec une pano qui est une projection infra crânienne.

Pour le diagnostique atm par acoustique et axillographie ça n'est pas efficace.
C'est a dire vous pouvez peut etre ( je n'ais pas trouvé d'information réfutant ou soutenant ces utilisation )vous en servir pour essayer de suivre une évolution suite a un traitement.

Mais pour faire du diagnostique pur ça ne marche pas, ça n’empêche pas ces techniques de revenir régulièrement a la mode. Mais toutes les études qui ont était mené on montré une efficacité pour le diagnostique nulle.
Dans la meme catégorie il y a aussi l'electromyographie.

Attention je ne dis pas que c'est inutile, mais juste que si votre but est de diagnostiqué un trouble ATM ça ne marche pas.


--
หมอจัดฟัน

1 pzvttu - Eugenol

gad

20/02/2013 à 15h53

Je crois avoir lu que la patiente était avocate ! Je ne serais pas étonné qu' elle intente un procès ... pour mauvais traitement ! Il y a là une obligation , non pas de moyens , mais de résultat ! Une perte réelle de chance pour elle du fait d' un mauvais diagnostic au départ !
Alors , après '' se gargariser '' de théories plus ou moins fumeuses sur les ATM ou autres ..., c'est regarder le résultat actuel par le petit bout de la lorgnette et vouloir se donner bonne conscience !
Dans des cas comme ceux-là , il faut prévenir d' urgence son assurance '' responsabilité professionnelle '' !


1309531 ours brun n5iukf - Eugenol
seespan

20/02/2013 à 16h24

gad écrivait:
-------------

Mon dieux mon dieux
Beaucoup de réaction sur ce sujet mais malheureusement en grande partie par des nonoliens qui semble incapable de suivre le cas.

> Je crois avoir lu que la patiente était avocate ! Je ne serais pas étonné qu'
> elle intente un procès ... pour mauvais traitement ! Il y a là une obligation ,
> non pas de moyens , mais de résultat !

Le système légal thaïlandais est plus sévère que le Français au niveau des dommages accordé, par contre c'est au patient de prouvé qu'il y a eu faute, un peut comme en France avant.

Une perte réelle de chance pour elle du
> fait d' un mauvais diagnostic au départ !

La perte de chance se situe a quel niveau exactement ?

Mauvais diagnostique et bien en fait si vous aviez suivit le fil vous auriez vue que non d'après le département d'ATM c'est très probablement une simple prématurité.
Il y a eu mauvais diagnostique dans le fait que la prof est pensé qu'il y avait eu mauvais diagnostique au départ.

C'est vrais c'est aussi complexe que le 204 émé épisode de santa barbara. Je comprends que certain est du mal a suivre.

Dans le cas ou réellement mauvais diagnostique il y aurait eu le traitement aurait était relativement simple avec changement de mécanique pour s'adapter a la RC.

> Alors , après '' se gargariser '' de théories plus ou moins fumeuses sur les ATM
> ou autres ...,

Quelle théorie exactement ? perso je n'en avance aucune, les seule donné que je donne sont générale et issue de deux bouquin qui font référence dans le domaine.

Encore une fois je le répéte pour le département atm, aucun problème (dixit les radio et l’absence de plainte de la patiente) mais simple prématurité occlusal

c'est regarder le résultat actuel par le petit bout de la
> lorgnette et vouloir se donner bonne conscience !

Vous éte sur que vous avez poster sur le bon fil ?

> Dans des cas comme ceux-là , il faut prévenir d' urgence son assurance ''
> responsabilité professionnelle '' !

Pour le dire quoi qu'il y a une surocclusion sur les 7 avec béance. Je sais déjà ce qu'ils vont dire.

A mais la messieurs il y a prématurité dans la déclaration ( jeux de mot je précise )




--
หมอจัดฟัน


G MAIL

20/02/2013 à 16h57

Trés bonne réponse à notre confrère gad,dont on sent le vécu douloureux.