Cookie Consent byPrivacyPolicies.comAIDE ENDO molaire abus? - Eugenol

AIDE ENDO molaire abus?

kinnison

15/10/2014 à 14h44

C'est quand même énorme le "Neb" qui se permet de pourrir un jeune confrère qui a fait de son mieux "par manque de compétence" alors que cet abruti est même pas foutu de configurer un ordi pour faire fonctionner la CCAM. C'est pas avec des prétentieux comme ca que la profession sortira grandi


Darmon - Eugenol
Latin

15/10/2014 à 14h46

@Neb : Dentistry ne s'est pas jeté sur la turbine dans le but de vendre une prothès, vu qu'il arrivait à la fin de son rempla. S'il ne reste quasi plus rien de la couronne c'est qu'il devait bien y avoir une carie à cureter, non?

Par rapport à la question posée qui concerne l'attitude de la consœur, tu as aussi un avis aussi tranché?

Ah oui, j'allais oublier, tu nous donneras ton adresse qu'on t'envoie nos cas d'endo pourris?


Utilisateur banni

15/10/2014 à 14h59

Effectivement kinnison, tu as bien raison, je ne m'occupe pas d'intendance, je ne sais faire que de l'endo, gauche que je suis.


Capture d  cran 2015 03 12 12.28 - Eugenol
chicot29

15/10/2014 à 15h11

chirdent26 écrivait:
--------------------
> chicot29 écrivait:
> ------------------
> > neb écrivait:
> > -------------
> >
> > > Je ne vois pas où est l'aléa thérapeutique dans ce grand n'importe quoi !
> > Pulpo
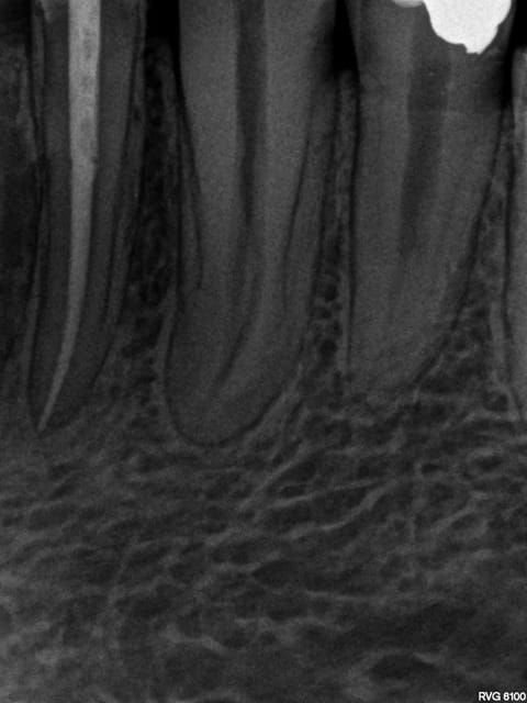
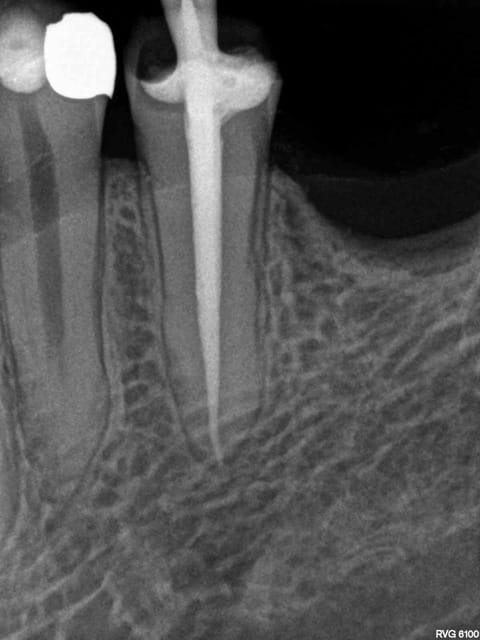
> > > pour parodontite apicale aigue, pas de digue, pas d'angulateur, butée......
> > > Il nique la dent de ce pauvre patient par manque de compétence et vient
> jouer
> > > les victimes, il n'aura pas mon soutien.
> > >
> > Tout frais, pas d'angulateur ?-))))
>
> ton obturation en mésial ne va pas à l'apex!

A l'apex radiologique c'est sur. Compter 0,5 à 1 mm en moins pour l'apex physiologique.


Capture d  cran 2015 03 12 12.28 - Eugenol
chicot29

15/10/2014 à 15h14

neb écrivait:
-------------
> Effectivement kinnison, tu as bien raison, je ne m'occupe pas d'intendance, je
> ne sais faire que de l'endo, gauche que je suis.


Ben, tu vois nous on fait du décathlon en omni-pratique. Tu permets de ne pas être aussi performant que toi surtout à des tarifs de merde.


Utilisateur banni

15/10/2014 à 15h21

C'est plus opposable qu'elle te dit la cnsd. A toi de te faire honorer à ta juste valeur.
Et si tu sais pas faire tu peux te rattraper sur la prothèse tant que la cnsd ne l'a pas rendue opposable.


Capture d  cran 2015 03 12 12.28 - Eugenol
chicot29

15/10/2014 à 15h34

C'est pas parce qu'on a des tarifs de soins opposables de merde qu'on se rattrape sur la prothèse c'est vraiment le comble de dire ca. Si ils nous mettent des tarifs opposables de merde sur la prothèse, alors ce sera le dé conventionnement ou la cessation d'activité pure et simple.


Utilisateur banni

15/10/2014 à 15h42

Mais par contre c'est parcequ'on a des tarifs de soins oposables de merde qu'on fait de la merde, c'est ça ton raisonnement ?

Et pour la troisième fois, l'endo n'est plus opposable, t'as qu'à demander à yobi du syndicat représentatif.

Donc plus d'excuse.


kinnison

15/10/2014 à 15h48

Ok, apparemment votre cas est irrécupérable, je n'ai pas les diplomes pour aider les personnes atteintes de melonite aigue


Utilisateur banni

15/10/2014 à 15h56

S'il suffisait d'avoir des diplômes pour savoir travailler on ne serait pas là à parler de ton cas.

Elle est là ton erreur. "Science sans conscience n'est que ruine de l'âme".


chirdent26

15/10/2014 à 16h00

chicot29 écrivait:
------------------
> chirdent26 écrivait:
> --------------------
> > chicot29 écrivait:
> > ------------------
> > > neb écrivait:
> > > -------------
> > >
> > > > Je ne vois pas où est l'aléa thérapeutique dans ce grand n'importe quoi !
> > > Pulpo
> > > > pour parodontite apicale aigue, pas de digue, pas d'angulateur,
> butée......
> > > > Il nique la dent de ce pauvre patient par manque de compétence et vient
> > jouer
> > > > les victimes, il n'aura pas mon soutien.
> > > >
> > > Tout frais, pas d'angulateur ?-))))
> >
> > ton obturation en mésial ne va pas à l'apex!
>
> A l'apex radiologique c'est sur. Compter 0,5 à 1 mm en moins pour l'apex
> physiologique.


Ah d'accord donc tu as un dépassement sur la racine distale?


Utilisateur banni

15/10/2014 à 16h03

On n'a pas parlé de la distale mais c'est vrai que pour moi c'est nettement plus chiant à reprendre que la mésiale. Pour enlever toute cette substance radioopaque il faut beaucoup aléser, et il en restera toujours.


Capture d  cran 2015 03 12 12.28 - Eugenol
chicot29

15/10/2014 à 16h18

chirdent26 écrivait:
--------------------
> chicot29 écrivait:
> ------------------
> > chirdent26 écrivait:
> > --------------------
> > > chicot29 écrivait:
> > > ------------------
> > > > neb écrivait:
> > > > -------------
> > > >
> > > > > Je ne vois pas où est l'aléa thérapeutique dans ce grand n'importe quoi
> !
> > > > Pulpo
> > > > > pour parodontite apicale aigue, pas de digue, pas d'angulateur,
> > butée......
> > > > > Il nique la dent de ce pauvre patient par manque de compétence et vient
> > > jouer
> > > > > les victimes, il n'aura pas mon soutien.
> > > > >
> > > > Tout frais, pas d'angulateur ?-))))
> > >
> > > ton obturation en mésial ne va pas à l'apex!
> >
> > A l'apex radiologique c'est sur. Compter 0,5 à 1 mm en moins pour l'apex
> > physiologique.
>
>
> Ah d'accord donc tu as un dépassement sur la racine distale?

Oui -)))) postes un peu des radios de tes endos micro métrées pour voir.
La radio cone en place était un peu plus sexy. Mais ca ce sont les aléas du système B. Pour 80 boules je ne me fais pas chier à tout reprendre. ( canaux mésiaux en y tu noteras)

7 ljbbtz - Eugenol

Vw campersurfvan bmnk1q - Eugenol
enlaye

15/10/2014 à 16h18

@neb
Sur un autre post j ai constaté que l on pouvait extraire une dent nécrosée puis la réimplanter sans même avoir fait de ttt canalaire...........
Il y a eu 25000 visites sur ce fil et on a eu aucune reponse a ce jour sur le pourquoi de cette reussite.
Aurais tu un avis toi le specialiste de la racine ?


Capture d  cran 2015 03 12 12.28 - Eugenol
chicot29

15/10/2014 à 16h40

chicot29 écrivait:
------------------
> chirdent26 écrivait:
> --------------------

> > Ah d'accord donc tu as un dépassement sur la racine distale?
>
> Oui -)))) postes un peu des radios de tes endos micro métrées pour voir.
> La radio cone en place était un peu plus sexy. Mais ca ce sont les aléas du
> système B. Pour 80 boules je ne me fais pas chier à tout reprendre. ( canaux
> mésiaux en y tu noteras)

Mais on a tendance a faire plus de dépassements quand meme !

1 gecyy2 - Eugenol
2 hbvai8 - Eugenol
3 kk4a4s - Eugenol

Capture d  cran 2015 03 12 12.28 - Eugenol
chicot29

15/10/2014 à 16h41

Mais des fois pas; -))))

4 e2a0sa - Eugenol
5 aeh0p3 - Eugenol
6 pby5bu - Eugenol

chirdent26

15/10/2014 à 16h51

chicot29 écrivait:
------------------
> chirdent26 écrivait:
> --------------------
> > chicot29 écrivait:
> > ------------------
> > > chirdent26 écrivait:
> > > --------------------
> > > > chicot29 écrivait:
> > > > ------------------
> > > > > neb écrivait:
> > > > > -------------
> > > > >
> > > > > > Je ne vois pas où est l'aléa thérapeutique dans ce grand n'importe
> quoi
> > !
> > > > > Pulpo
> > > > > > pour parodontite apicale aigue, pas de digue, pas d'angulateur,
> > > butée......
> > > > > > Il nique la dent de ce pauvre patient par manque de compétence et
> vient
> > > > jouer
> > > > > > les victimes, il n'aura pas mon soutien.
> > > > > >
> > > > > Tout frais, pas d'angulateur ?-))))
> > > >
> > > > ton obturation en mésial ne va pas à l'apex!
> > >
> > > A l'apex radiologique c'est sur. Compter 0,5 à 1 mm en moins pour l'apex
> > > physiologique.
> >
> >
> > Ah d'accord donc tu as un dépassement sur la racine distale?
>
> Oui -)))) postes un peu des radios de tes endos micro métrées pour voir.
> La radio cone en place était un peu plus sexy. Mais ca ce sont les aléas du
> système B. Pour 80 boules je ne me fais pas chier à tout reprendre. ( canaux
> mésiaux en y tu noteras)

Je ne fais que t'asticoter ,tes traitements sont impeccables mais je sais que les radios ne sont pas fiables .
Les miens ne sont pas si mauvais non plus mais j'éprouve quand même des difficultés dans certains cas .


G-P

15/10/2014 à 17h36

Même si la radio est magnifique, sans digue, autant ne rien faire :)))


Capture d  cran 2015 03 12 12.28 - Eugenol
chicot29

15/10/2014 à 17h43

G-P écrivait:
-------------
> Même si la radio est magnifique, sans digue, autant ne rien faire :)))

Et qui te dit que je n'ai pas mis de digue hein ? Clamp sur 37 puis wed jets jusqu'à la 31 ? ( (35 et 32 faites dans la séance).
Si il faut mettre des clamps sur toutes les dents maintenant !
ca me rappelle l'histoire de l'angulateur qui n'apparait pas à la radio. -)))
Je vais mettre des digues radio opaques ! -))))


Utilisateur banni

15/10/2014 à 18h03

la première radio du fil est tenue au doigt. J'espère que c'est celui du patient.


Darmon - Eugenol
Latin

15/10/2014 à 19h11

En fait Neb tu n'as visiblement rien à dire à la question posée au départ.

Ni sur le comportement de la consœur qu'on peut qualifier d'indélicate
Ni sur l'utilisation des RCP par les endodontistes experts pour se faire régler leurs honoraires (je ne dis pas qu'ils sont injustifiés). Dis-nous, est-ce un moyen utilisé pour solvabiliser les patients?


Utilisateur banni

15/10/2014 à 19h31

La dentiste titulaire se retrouve avec une dent dont le traitement a été bien compliqué par son remplaçant.
Elle ne se sent pas capable de reprendre l'endo de cette dent, qui doit le faire ?
Le retraitement est tout à fait réalisable avec un bon pronostic, qui le fait ? Qui paye ?
On fait tous des erreurs, après il reste à les assumer.


Enigma

15/10/2014 à 19h32

Neb n'a jamais été un pauvre débutant remplaçant dans un cabinet sans matos d'endodontiste exclusif.... quelle chance!

tu es mur pour etre enseignant endo à la fac, arrogant, sur de lui ,le meilleur et pret à démembrer vif un débutant qui semble avoir fait ce qu'il peut, juste en voyant une rétro. Mais qui est une quiche dans les autres domaines hors de sa spé....


Je ne vois aucunement une dent niquée, tout au plus une dent avec une obturation insuffisamement longue en mésial, que rien n'empeche de refaire hormis une pate molle apellée gutta. Et bien donne nous ton adresse qu'on t'envoie ce patient, tu pourras s'il le souhaite lui refaire son endo à tes tarfis et quant a notre victime de sa titulaire, ça ne le concerne plus et pour moi il ne risque strictement rien et c'est pas à lui de payer quoi que ce soit.
Des retraitements j'en fait 2 par jours, je n'envoie pas mon patient demander à son précedent dentiste de payer, le patient fait ce qu'il veut, ça me concerne pas.


Utilisateur banni

15/10/2014 à 19h35

En fait le problème c'est qu'on ne parle pas de la même victime, on ne risque pas de se comprendre.


Capture d  cran 2015 03 12 12.28 - Eugenol
chicot29

15/10/2014 à 19h41

C'est impressionnant le nombre de victimes de traitements endo incomplets dans ce pays.
Tu dois avoir du boulot Neb ! -))))