Cookie Consent byPrivacyPolicies.comÉclat de céramique sur une 15 - Eugenol

Éclat de céramique sur une 15

Vw campersurfvan bmnk1q - Eugenol
enlaye

08/07/2018 à 21h41

Facom écrivait:
-----
" Salut enlaye, donc pour en revenir à tes préparations, pendant 3 semaines, tu demandes à tes patients de bien brosser les préparations avec un dentifrice type parodontax ou pas de précaution particulière ? "

Aucune consigne particuliere .
Lorsqu uil n y a plus de ,cretes proxymales , et que les moignons sont lisses et avec des limites fines , il n y a pas de retentions et entre la langue ,la joue , et la salive , il y a deja un bon massage et c est auto nettoyant .
Par contre si tu tailles infra avec du grains bleu ou vert .. et surtout avec des limites horizontales , ce n est pas bon . ( meme avec prov ) .

Ce n est que le jour de l emreinte que tu redefinis la profondeur et la largeur des limites en fonction de la gencive tassée et bien ferme .

Grain fin , ç est soit du rouge , soit encore mieux fraise a lames tungstene .
Le jaune ne serait pas mal a mon avis mais ça n existe pas en forme conger elliptique cylindro conique .


Vw campersurfvan bmnk1q - Eugenol
enlaye

09/07/2018 à 12h33

:-))) apres avoir gagné 300 e en n'ayant pas de prov pour 11 et 21 , il a décidé de revenir pour gagner encore 150 e .pas de pb ç est les soldes pour sa 12 :-))

 mg 1457 tcsmov - Eugenol

Vw campersurfvan bmnk1q - Eugenol
enlaye

09/07/2018 à 12h40

et là ç est le 1 er jour , le jour de l endo .
le but est de pretailler la dent en restant juxta .
en aucun cas ,il faut toucher la gencive le 1 ere séance . ( sauf s'il y a carie bien sur , mais ç est tres ponctuel ).
la seance d apres , alors que l on a pas touché la gencive , hein , et bien elle va se rétracter , pcq elle sera stimulée mecaniquement .
de plus si la dent bouge , elle egressera 1 poil ,et ne bougera plus . ça ç est impressionnant aussi .

 mg 1512 tw5nle - Eugenol
 mg 1513 pk4gug - Eugenol

Vw campersurfvan bmnk1q - Eugenol
enlaye

12/07/2018 à 11h31

voilà , ce matin on est donc à 1 semaine .
on voit que la gencive ç est tassée .
je dis tasseé pcq on ne peut pas dire cicatrisée puisqu on ne l avait pas touché la semaine passée .

 mg 1518 c4wxp1 - Eugenol

Vw campersurfvan bmnk1q - Eugenol
enlaye

12/07/2018 à 11h34

on peut mettre 1 fil , et meme se servir du chausse pied , ça ne saignera pas , ç est du beurre .
et on reprecise les limites à la grain fin .

 mg 1521 slgrg3 - Eugenol

Vw campersurfvan bmnk1q - Eugenol
enlaye

12/07/2018 à 11h34

on peut mettre 1 fil , et meme se servir du chausse pied , ça ne saignera pas , ç est du beurre .
et on reprecise les limites à la grain fin .


Capture d écran 2018 05 16 à 21.30 - Eugenol
Daryl

12/07/2018 à 11h39

Très beau enlaye... Un travail d'artiste non iatrogène...


Vw campersurfvan bmnk1q - Eugenol
enlaye

12/07/2018 à 12h07

merci , mais bon , jusque là rien , d extraordinaire ;-)
donc voila la taille finie ce jour et comme bien sur ça ne saigne pas , je peux prendre l empreinte aujourd'hui pour une zolie richmond support de crochet .
bien entendu , il ne faut pas laisser le fil pour l empreinte , sinon ç est con .
conclusion :
le fait de ne pas mettre de prov , ç est le top au niveau parodontal . il suffit de suivre la gencive et de s'y adapter . plus simple y a pas :-))

 mg 1524 f9gdo5 - Eugenol

Bebert.

12/07/2018 à 12h49

Chez moi, ça ne se passe pas aussi facilement et sans provisoire la gencive remonte sur le congé et pour poser ... il faut un coup de bistouri.
Sauf bien sûr si la limite est supra mais plus c'est rare.
En plus l'antagoniste égresse un poil et en occlusion, ça coince, sans parler des points de contacts qui forcent car les voisines ont un petit peu pris leurs aises.
Bref, la pose ne se fait pas dans la joie et la bonne humeur.




Vw campersurfvan bmnk1q - Eugenol
enlaye

12/07/2018 à 12h55

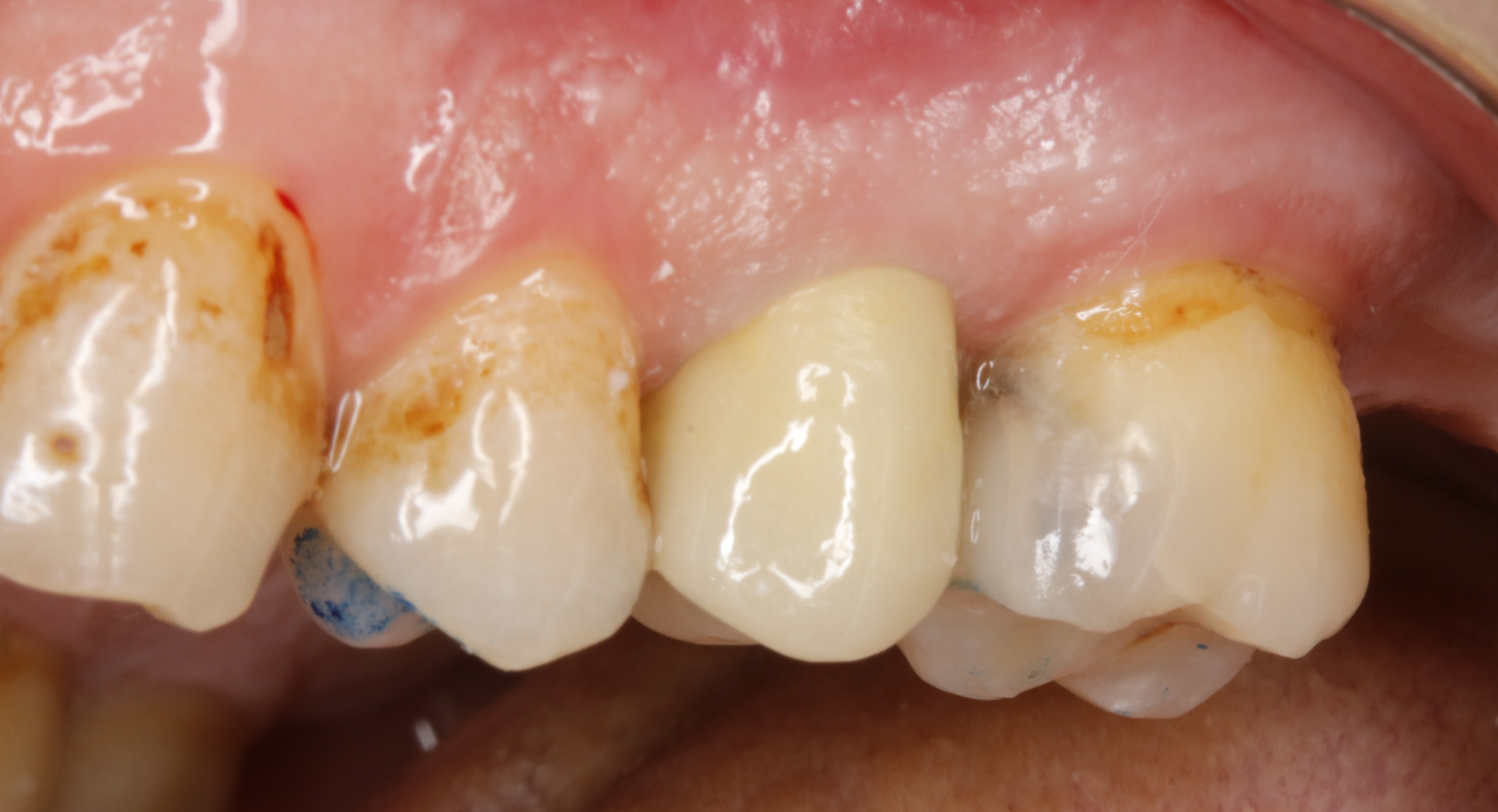
tout ça pour en revenir à l éclat de ceram en palatin de la 15 .( je pense meme que ç est palatin proximal )
si tu mets 1 prov et que la gencive est saignante en proximal , tu n auras pas 1 sulcus sain , et tu ne pourras pas enregistrer l émergence .
ce qui fait que le labo va détourer 1 peu au hasard , le plus bas possible pour ne pas que tu le cries :-) , et il va inventer une limite . si cette limite trop basse inventée dépasse et qu elle butte sur la racine non préparée , cela fait cling sur la ceram . et ç est souvent le cas en mesial de 5 .

ç est soit ça , soit l'histoire de Carident .


Vw campersurfvan bmnk1q - Eugenol
enlaye

12/07/2018 à 12h58

Bebert. écrivait:
-------
" Chez moi, ça ne se passe pas aussi facilement et sans provisoire la gencive remonte sur le congé "

tu tailles trop infra la 1 ere seance , ç est tout .
et aussi tu dois faire des congés trop horizontaux , à mon avis .


Bebert.

12/07/2018 à 13h00

Peut-être, mais à mon âge, les mauvaises habitudes sont déjà prises ;))

Edit: pour l'éclat de céram, tout à fait d'accord avec ton analyse. C'est clairement un problème d'empreinte qui produit une tension au niveau de l'armature et la céramique n'étant pas élastique ...


Vw campersurfvan bmnk1q - Eugenol
enlaye

12/07/2018 à 13h05

Bebert. écrivait:
-------
" En plus l'antagoniste égresse un poil et en occlusion, ça coince, sans parler des points de contacts qui forcent car les voisines ont un petit peu pris leurs aises."

bien sur ç est pour cela que je ne prends jamais l empreinte le jour de la taille .
tout bouge tres vite les 1ers jours et apres tout est tres stable .
si tu fais un prov en sous occ , ç est pareil , ça bouge aussi , moins vite mais ça bouge .
et pire encore , cela bougera une fois la couronne en pace .
alors qu avec mon système , la gencive est tres stable meme des années apres . enfin il y a moins de surprises

" Bref, la pose ne se fait pas dans la joie et la bonne humeur. "
ha ça ne change pas , ç est tjjs pareil , t as tjs envie de prendre la proto à coup baton :-)
>
>
>


Vw campersurfvan bmnk1q - Eugenol
enlaye

12/07/2018 à 13h08

Bebert. écrivait:
-------
" Peut-être, mais à mon âge, les mauvaises habitudes sont déjà prises ;)) "

le pire ç est quand on donne de mauvaises habitudes a des minots , pcq on leur raconte des conneries à la fac .
de ce coté , j ai eu de la chance , j'y suis pas trop allé et je n ai jamais lu 1 article :-))))


Dprtmuluo7sk4wxn8aabgsxy7sde - Eugenol
Pervers Pépère

12/07/2018 à 13h18

enlaye écrivait:
------

> le pire ç est quand on donne de mauvaises habitudes a des minots , pcq on leur
> raconte des conneries à la fac .
> de ce coté , j ai eu de la chance , j'y suis pas trop allé et je n ai jamais lu
> 1 article :-))))

Tu y étais à la fac, je t'ai vu mais trop timide à l'époque, t'osais pas rentrer, pis ces cons y voulaient pas qu'on fument dedans, alors ben du coup, on voulait pas déranger et incommoder avec la fumée, on restait dehors ou tout en haut au labo chez Gérard, trop timide j'vous dis.
--
Su-Père Pervers


Vw campersurfvan bmnk1q - Eugenol
enlaye

12/07/2018 à 13h24

:-))) avec 1 oeil pour mater la fille du dirlo et 1 oeil pour surveiller le surf dans l ami 8 .


Vw campersurfvan bmnk1q - Eugenol
enlaye

12/07/2018 à 16h51

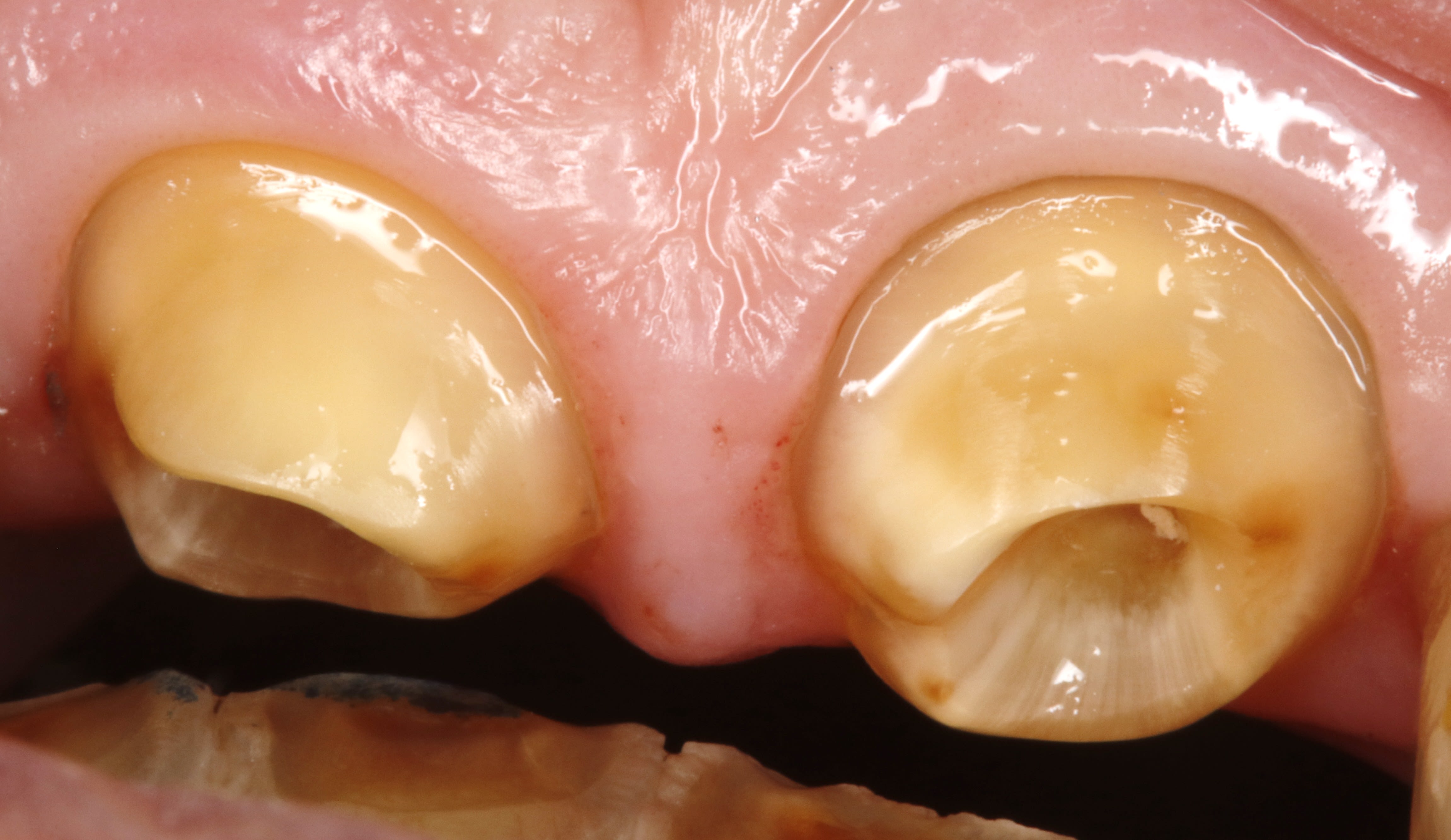
et pour finir , ç est le cas de ma 25 de la page 4 .
on a donc pris l empreinte apres avoir descendu les limites la semaine passée .
aujourd'hui , il est comme ça : la gencive a effectivement recouvert les limites , mais gentiment , tranquille .

11 ojkwlz - Eugenol

Vw campersurfvan bmnk1q - Eugenol
enlaye

12/07/2018 à 16h53

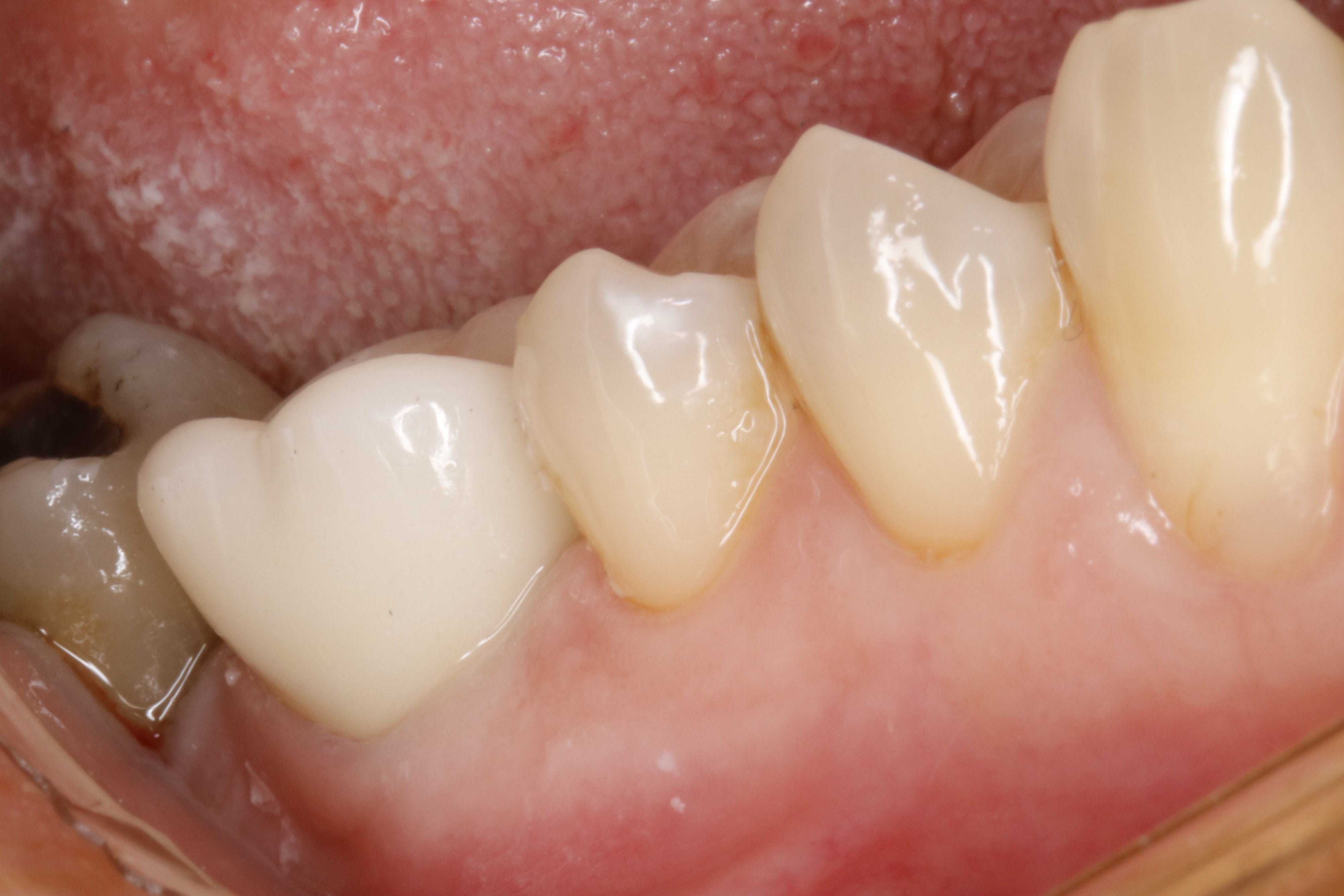
et il suffit de sceller la ceram , et hop , on en parle plus .

12 vurnow - Eugenol

01 ukhwbq - Eugenol
ʎqqoq

13/07/2018 à 10h07

Enlaye, c'est quoi comme type de céram?


Vw campersurfvan bmnk1q - Eugenol
enlaye

13/07/2018 à 12h58

là , ce sont des CCM la plupart du temps .
si ç est des CCC , ç est beaucoup plus simple : comme tu tailles encore moins et moins profond ç est + facile .
la CCC a bien démocratise la ceram et la couronne d une façon générale , donc si tu veux faire un prov ,avant 1 ccc tu peux , tu ne risques rien .
maintenant , ceux qui veulent a tout prix un prov pour 1 semaine ,sur une PM ou pire sur une M , me font beaucoup de peine . ce sont des pauvres gens , fades , qui n ont d'existence que par leur aspect extérieur ( surtout sur un temps tres court ) . on sent bien qu ils n ont pas de pb , alors ils s emmerdent et ils te font chier .

bon , ceci dit , ç est rare que je fasse 1 couronne unitaire , malheureusement , pcq ç est rentable et facile .
des que tu dois faire ( refaire ) des bridges , ou reconstruire une occlusion , ou faire de l esthetique , etc , le provisoire s impose , et là les emmerdes commencent .


Vw campersurfvan bmnk1q - Eugenol
enlaye

13/07/2018 à 13h20

ce matin , je viens de finaliser 1 ccc .
taille profonde sur une fracture vestibulaire . il a fallu prendre l empreinte au fil , avec des limites vest profondes . là si j avais fait un prov , j aurais eu une rétraction le jour du scellement , et à coup sur perdu de la gencive attachée , donc pas de prov .
pourtant ç est une coquette :-)) , ben non , faut ce qu'il faut . elle n a eu le choix que de sa couleur : " bien bien blanc , voyez docteur "
photo de l empreinte la semaine passée , et avant scellement aujourd’hui , et couronne ccc scellée .

 mg 1508 a6fgke - Eugenol
 mg 1532 miu567 - Eugenol
 mg 1534 mksg6s - Eugenol

Generique fraisage r2rxmm - Eugenol
lardonbis

13/07/2018 à 13h42

juste comme ça..
T'as essayé avec une surface moins lisse ? Brute de taille.


01 ukhwbq - Eugenol
ʎqqoq

13/07/2018 à 14h05

tu demandes un affrontement céramique-dent au labo?


Utilisateur banni

13/07/2018 à 14h12

J’ai mis mes lunettes de soleil tellement ça brille :)). On se croirait à la plage avec le soleil qui tape à mort et qui brille .
Après avoir sucé ses moignons , Enlaye met du produit à vitre pour que ça brille de mille feux

967b47af 363d 40c9 aa5f ce1b055ed1db wvtjmb - Eugenol

6szjws718sv1jksw54v4mpj3a6cu - Eugenol
vulpi

13/07/2018 à 14h44

Comme je suis un tordu il m'arrive de faire cela, une prov mais pas à la limite, j'ai pas pris de photo en bouche, flemme, mais la gencive ne saigne pas, ne bouge pas bien qu'elle soit un peu rougeaude.
Au final, c'est mimi tout plein:-))

Dscf3244 pexvyy - Eugenol
Dscf3246 t0bbxi - Eugenol

1...4567