Cookie Consent byPrivacyPolicies.comPlan de traitement - Eugenol

Plan de traitement

lenovo

09/09/2020 à 13h07

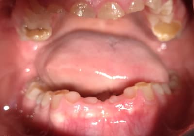
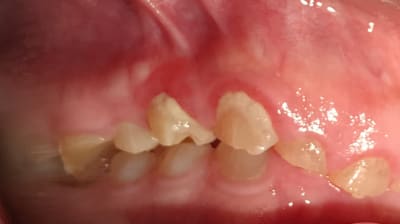
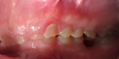
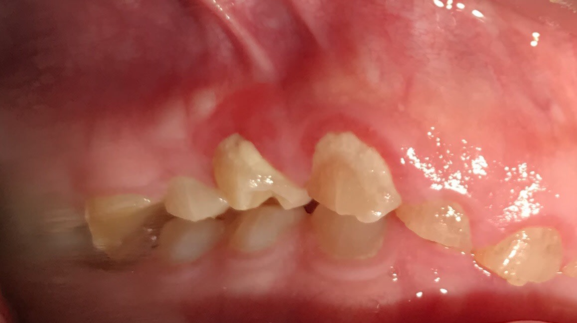
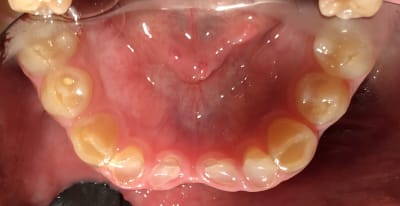
Bonjour je suis lenovo ici . Quelqu’un pourrait-il me donner toutes les étapes pour faire ce cas ? Que faut-il faire précisément ? Le patient n’a pas de contraintes financières. Pas de lésions apicales. Uniquement des usures de dents.

L14hzddlfain3mll2lsk - Eugenol
Vmrbdndffw37ozdtrzub - Eugenol
Ouyhsg5t01t9f9j55erj - Eugenol
Ltwdegz8enxhywlq9hon - Eugenol
Jacpetpcfe8hwuwph8zd - Eugenol
Gwc4syuy2hkqyl6hzmco - Eugenol

Zorba le grec 1373406512 108 lfk5ey - Eugenol
zorbalegrec

09/09/2020 à 13h45

Du collage, du collage du collage


Capture d  cran 2015 03 12 12.28 - Eugenol
chicot29

09/09/2020 à 13h52

Ah ? Le gagnant de l'euromillion ? -)))))


--
En cas d'échec des négociations conventionnelles, seriez-vous prêt à suivre la promotion d'un déconventionnement massif de la profession par les syndicats représentatifs ? OUI - NON
Participez, anonymement, sur https://goo.gl/forms/nAO0htnsVmxotjYm1


Capture d  cran 2015 03 12 12.28 - Eugenol
chicot29

09/09/2020 à 13h53


Bon écoutes étant déjà en tranche marginale d'imposition , je passe. Tu lui dira de s'expatrier à Dubail il trouvera un confrère. Mauvais pour lui de rester dans le coin. de toutes façons. -))))

--
En cas d'échec des négociations conventionnelles, seriez-vous prêt à suivre la promotion d'un déconventionnement massif de la profession par les syndicats représentatifs ? OUI - NON
Participez, anonymement, sur https://goo.gl/forms/nAO0htnsVmxotjYm1


Et7jtaj0pdi18gzjlxjiamlx15gs - Eugenol
Prunelles

09/09/2020 à 13h58

Répète après moi : "Je suis désolé, je sais pas faire. Faut aller voir un spécialiste pour ça !"


Pubg2 rjl8jc - Eugenol
lemondestvaste

09/09/2020 à 14h10

Tu l'envois a Enlaye ! ...


Screenshot 20190204 160354 2 ookelm - Eugenol
Arsénieux

09/09/2020 à 15h13

On dirait un mérou 🤔
Déjà détartrage, investissement dans une brosse à dents ou deux, voir trois, dentifrice avec destop (facultatif) voir sa motivation ?! Sinon, retour à l'aquarium


mla2

09/09/2020 à 15h32

😂 retour à l'aquarium : noitulove... ou le retour aux sources.

Le retour à la source kdiu0t - Eugenol

Blue eye thumb medium dx1i0w - Eugenol
bill

09/09/2020 à 15h54

enlaye, au secours !!!
La crête marginale de la 26 te semble-t-elle en cause ? :-))
.
--
https://docudent.fr
Tous les documents du cabinet dentaire
& l'aide à la cotation du Reste à Charge 0
________________________________________


Pubg2 rjl8jc - Eugenol
lemondestvaste

09/09/2020 à 16h12

a mon avis un bilan avec une téléradio de profil serait un plus ... juste pour avoir une vision un peu plus claire du problème sous jacent.


lemondestvaste écrivait à 14:10 :
--------------
> Tu l'envois a Enlaye ! ...

T'es fou, t'as vu l'heure ?


Vw campersurfvan bmnk1q - Eugenol
enlaye

09/09/2020 à 16h26

:-)))


mla2

09/09/2020 à 16h28

Sarcasme, sarcasme.....

En MP j'ai conseillé à lenovo de rassembler plus d'éléments cliniques(photos visage/ photos anciennes/ radios/passé gastrique.... )et de contacter Enlaye , il est certes très très (trop???) full occluso, mais a un tropisme "défi" et inventif..... ce cas est caricatural mais pas exceptionnel .
A l'adf j'avais suivi un ec sur réhabilitation d'un cas de ce genre, le patient était un confrère.... je me suis demandé s'il n'allait pas tout exploser à moyen terme.... mes interrogations demeurent.


goltooth

09/09/2020 à 16h41

Bonjour
Mon humble avis : c est un cas qui demande qq années d expérience. Si tu demandes un plan de tt, je ne suis pas certain que ce soit une bonne idée de te lancer. Ce n est pas ds ton intérêt ou celui du patient. Amicalement


mla2

09/09/2020 à 16h56

Goltooth : suis d'accord mais la discussion théorique reste instructive pour lui et nous.
la photo peut tromper mais il semble être en clII,2 en plus.
j'espère que les "poids lourds" seront disposés à cogiter .




Pubg2 rjl8jc - Eugenol
lemondestvaste

09/09/2020 à 17h01

Je que je trouve impressionnant et peut être le plus complexe à gérer c'est cette bascule du pré maxillaire.


Nouveau image bitmap fz77zh - Eugenol
Sethef

09/09/2020 à 17h01

Etiologie?

Les photos ne sont pas dingues, mais les usures semblent très majoritairement antérieures. Pourquoi?


Blue eye thumb medium dx1i0w - Eugenol
bill

09/09/2020 à 17h30

Et le fait que 17 18 27 28 semblent intactes alors qu'apparemment il y a des antagonistes intactes aussi
(on ne voit pas très bien...) ?
.


--
https://docudent.fr
Tous les documents du cabinet dentaire
& l'aide à la cotation du Reste à Charge 0
________________________________________


Pubg2 rjl8jc - Eugenol
lemondestvaste

09/09/2020 à 18h01

Je suspecte un cas d'ortho non traité sous jacent XXL ... que j'aimerais voir sa télé de profil ...


Jack 2 wm3tqs - Eugenol
Treponem

09/09/2020 à 18h02

Bridge complet haut bas, full zi. Un beau bec et roule. Juste à voir le sourire :))


Vw campersurfvan bmnk1q - Eugenol
enlaye

09/09/2020 à 18h46

lemondestvaste écrivait:
--------------
" Je suspecte un cas d'ortho non traité sous jacent XXL ... "
Ou alors il a eu un ttt xxxxl .
Une ddd par microdontie avec beance et il ont voulu resserrer en voulant reculer le bloc ant mais caramba au lieu de le reculer , il l ont descendu .
Bon je suis mauvaise langue , hein , ça n arrive jamais :-)))
Ps : ce qui répondrait a la question de Sethef


mla2

09/09/2020 à 19h11

je suis mauvaise langue...... eh ben pas une rareté sur ce forum , mais
sur l'occlusion fin traitement ortho parfois .... moi aussi des Reserves .
Bloc descendu : compensation naturelle ou bascule ortho????
il faut son âge, oui non il a eu odf, et des photos du merou jeune.....
A ce propos comme avec la dinde de Garance,la dentisterie mène à la Connaissance , Eugenol est la clé du savoir .....

Culture générale v2h48b - Eugenol

Vw campersurfvan bmnk1q - Eugenol
enlaye

09/09/2020 à 19h21

Ou alors la trentaine avec handicap , ou malformation , genre bec de lievre .


Utilisateur banni

09/09/2020 à 19h42

Sethef écrivait:
------
> Etiologie?

Dentinogenèse imparfaite + bruxisme


mla2

09/09/2020 à 19h43

? il n'y a ni en V ni en P de traces d'incisions correctrices d'une non fermeture symphysaire ou d'une chirurgie orthognatique très très ambitieuse pour corriger une béance anterieure.....
Hate que lenovo donne plus de précisions....


12...