Cookie Consent byPrivacyPolicies.comAutours d'un cas clinique, - Eugenol

Autours d'un cas clinique,

Nouveau image bitmap fz77zh - Eugenol
Sethef

21/09/2021 à 19h13

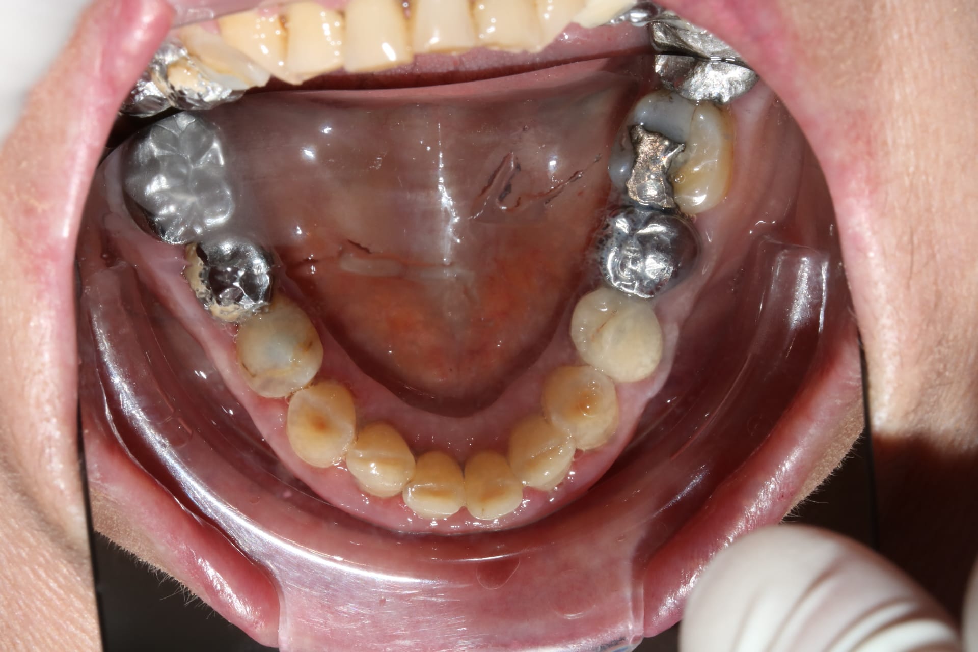
Je confirme, raco facile, bon avec le stellite du haut bien sûr mais le reste c'est surtout de l'unitaire. Donc...


--
_____________________
Dentiste décroissant.


Ylfwcw979cz1jnx9gfqeaxndiuzk - Eugenol
Algi

21/09/2021 à 19h35

Pas le temps meme si le cas est interressant.

Dis moi lemondevaste, je t'avais pas donné des tuyaux sur comment tester ta dv avec les faisceaux du temporal?

Puis des bouts de carton?

Bref determine une hauteur qui soit acceptable musculairement, bâtis tes provisoires en fonction et laisse mariner quelques semaines mois.

Devis rac0 avec provisoires et ferrailles derriere, ppa transitoire pour l’instant et stellite rac0 en 2022.

Au pire tu lui colles un devis de 2000 balles de travaux d'approche, provisoires 2eme generation, rebasages et roule ma poule.

Question neanmoins: elle est oclusalement casse couille ou plutot souple? Concernant l'esthetique tu pourras difficilement faire moins bien, juste t'assurer qu'elle te fera pas un sadam post rehabilitation.

Sinon le cbd est en vente libre.... 3 fois par jour, plus galipettes au moins 3 fois par semaine avec monsieur ou le facteur comme ordo pré prothetique


--

On a toujours le choix mais entre quoi et quoi?
Vas-y boulégue et l'avenir te le dira!


Ylfwcw979cz1jnx9gfqeaxndiuzk - Eugenol
Algi

21/09/2021 à 20h21

Et sinon si je veux voir la pano j'ai ça...

Normal ?


--

On a toujours le choix mais entre quoi et quoi?
Vas-y boulégue et l'avenir te le dira!

Screenshot 20210921 201948 chrome jszjij - Eugenol

Photo pluton1b h9n4ea - Eugenol
pluton

21/09/2021 à 21h37

enlaye écrivait:
------
> lemondestvaste écrivait:
> --------------
> " Tu veux une télé de profil en plus ?? L'implantation de ton bloc IC dans la
> symphyse ? "
> oui et vérifier si elle n est pas hyper divergente

Hyper divergente avec une supraclusion comme ça j’ai jamais vu….
En général hyper divergent ça va avec infraclusion voir béance….
Et puis ton « arc » antérieur de gencive…..c’est purement paro…..


Vw campersurfvan bmnk1q - Eugenol
enlaye

21/09/2021 à 23h33

pluton écrivait:
------
" Et puis ton « arc » antérieur de gencive…..c’est purement paro….."
c est vrai qu en regardant cette photo je suis moins formel sur ce que j ai dit . l avais zappé .
ça ne fait pas trop cl2 qui se serait ratatiné par usure et ou perte de hauteur avec recul des incisives

Fvuxxaucm53kaghuvqwq loniwv - Eugenol

Nouveau image bitmap fz77zh - Eugenol
Sethef

21/09/2021 à 23h58

Allez, je tente l'exercice, ça va être peu long.
On va partir de 2 axiomes:
-le premier c'est que tu sais régler un complet, plan d'occlusion et plaque de fox. Pluton va parler d'angle I/i, les marseillais vont enchaîner sur octopussy, mais moi tout ça j'y comprends rien, donc on part sur un complet.

-le deuxième, c'est que 33 43 sont globalement préservées, et qu'on va donc leur foutre la paix dans un premier temps. C'est peut-être pas tout à fait vrai, mais on va pas les réduire plus, c'est les seules qui tiennent un peu la route, et quant à les augmenter, on pourra en parler plus tard.

Le reste, la cause et le sexe des anges, on va oublier, parce que c'est sûrement très intéressant, mais c'est trop tard pour y changer quoi que ce soit, tout est niqué.

Sur le devis, on prévoit: coiffes 16-15;13-23 et stellite 14;24-26 pour le haut, et coiffes 36-34;44-47 pour le bas.
Pas d'amovible provisoire.

Techniquement on va gérer ainsi:
1° séance, moi je prévois la matinée: dépose et préparation 16 15 13 23; dépose et préparation 36-34 et 44-47.
A ce stade là, la patiente n'a plus aucun repère, et par ailleurs elle ne sait même plus où elle habite.
Tu peux donc lui réaliser les provisoires en haut, que tu règles comme un complet donc, avec ta petite plaque de fox. Tu rajoutes un bourrelet de résine sur le stellite existant, tu t'embêtes pas à faire des anatomies occlusales trop compliquées, tu fais des pentes cuspidiennes toutes plates, à peu de choses près tu viens de réaliser une gouttière de désocclusion.
Puis les provisoires du bas, même principe, toutes plates et toujours comme un complet, la hauteur à l'oeil, à peu de choses près tu vas rester dans le plan de ton bloc antérieur.

A ce stade là, normalement, plus rien ne touche en antérieur, la patiente doit pouvoir glisser gauche droite devant derrière sans que rien n'accroche. Comme une gouttière, encore une fois. Tu peux rentrer faire la sieste, t'es rincé et la patiente aussi.

1 semaine plus tard, maintenant qu'elle a retrouvé dans quelle position mandibulaire elle est confortable, tu peux préparer de 12 à 22, j'aurais tendance à bridger pour que le stellite n'intervienne plus dans le sourire mais ça se discute. Et pareil, tu règle ta ligne du sourire comme un complet, à ce stade tu verras si la hauteur en bas te paraît correcte, je pense que oui.


Après, ça redevient un cas classique, je finirais dans cet ordre postérieur bas, postérieur haut, antérieur haut et stellite, mais ça peut se réévaluer en fonction des endos etc...



--
_____________________
Dentiste décroissant.


Nouveau image bitmap fz77zh - Eugenol
Sethef

22/09/2021 à 00h02

Et je veux quand même connaître la date de la 23, je dirais années 90.


--
_____________________
Dentiste décroissant.


Vw campersurfvan bmnk1q - Eugenol
enlaye

22/09/2021 à 08h10

Sethef écrivait:
------
"........ Après, ça redevient un cas classique, je finirais dans cet ordre postérieur bas, postérieur haut, antérieur haut et stellite, mais ça peut se réévaluer en fonction des endos etc..."

bien bien tout ça j aime ton approche visuelle au fauteuil
mais , quand tu dis APRES , ça redevient un cas classique , je le comprends en ceram .
pcq tu t es battu avec tes prov et tes cales pour lui redonner une hauteur , des plans , un volume .
grace à ces prov sectoriels , tu vas pouvoir enregistrer et transmettre au labo ces calages et les directives qu elles induisent .
* alors si tu fais de la ceram , à l essayage du biscuit tu peux encore modeler , comme tu l as fait sur les prov , les volumes des cuspides et la position des sillons principaux , tu valides et tu continues .etc etc .
* mais aujourd'hui par le raco , c est soit en fer , soit en zircon , donc lorsque tu reçois la prothèse , c est du one shot . et si ça ne va pas comme tu veux , tu fais refaire ? et combien de fois tu peux te permettre de lui faire refaire ?
c est le pb d aujourd'hui , par exemple , ce matin , je ne travaille pas et je pars faire 200 bornes pour aller faire tous mes cas au labo sur l ordi avant qu il appuie sur le bouton de la fraiseuse .
y en a marre .
et toi comment tu gères ça , le one shot ??


Nouveau image bitmap fz77zh - Eugenol
Sethef

22/09/2021 à 08h47

Sûrement parce que je suis moins exigeant que toi.

Je fais pas de full z, donc on va dire que c'est du fer.
Je prends mon empreinte du bas, du haut, mes petites cales d'occlusion et une empreinte des pro.
Les moignons sont taillés en résine, donc on a une idée de la morpho, et l'empreinte des pros donne le couloir prothétique.
Je marque sur ma feuille une connerie genre "anatomie occlusale idéalisée", de toute manière vu le cas on se doute que les pentes occlusales ne vont pas être bien marquées.
Et c'est tout.

Du coup, le labo me renvoie le bas (en fer?), et ça va vite puisque je fais les réglages sur les pros du haut.
Et du coup comme le bas est fini, ben le haut ne pose plus vraiment question, faut que ça s'emboîte bien comme il faut, et de toute manière je règle le dynamique en bouche, mais si le labo est un peu inspiré c'est rarement très long.

Je suis désolé, j'aurais aimé te pondre un truc avec des enregistrements complexes et des ptits drapeaux, je me sens un peu branleur, mais j'ai pas trop mieux.


Pour les réglages, je les fais à la congé gros grain, si ça tape dans le fond du sillon je diminue le pointu en face, si ça accroche dans les mouvements je diminue la pente.
Polissage arkansas puis caoutchouc.
--
_____________________
Dentiste décroissant.


Ylfwcw979cz1jnx9gfqeaxndiuzk - Eugenol
Algi

22/09/2021 à 09h00

Faut arrêter avec la zircone qui peut pas se retoucher....

Fraises dédiées et roule....


--

On a toujours le choix mais entre quoi et quoi?
Vas-y boulégue et l'avenir te le dira!


Et7jtaj0pdi18gzjlxjiamlx15gs - Eugenol
Prunelles

22/09/2021 à 09h26

Sethef écrivait:
------
> moi je prévois la matinée: dépose et préparation 16 15 13 23; dépose et préparation 36-34 et 44-47.

> A ce stade là (...) Tu peux rentrer faire la sieste, t'es rincé et la patiente aussi.

Sethef le HARDEUR... il taille tout ce qu'il voit.


Nouveau image bitmap fz77zh - Eugenol
Sethef

22/09/2021 à 10h21

Two skinny teeth taken by a big black bur.


--
_____________________
Dentiste décroissant.


Et7jtaj0pdi18gzjlxjiamlx15gs - Eugenol
Prunelles

22/09/2021 à 10h56

Sethef écrivait:
------
> Two skinny teeth taken by a big black bur.

Disgusted xwsgaf - Eugenol

Ylfwcw979cz1jnx9gfqeaxndiuzk - Eugenol
Algi

22/09/2021 à 14h06

Big black OK mais bur?


--

On a toujours le choix mais entre quoi et quoi?
Vas-y boulégue et l'avenir te le dira!


E922cb58f40adb4b770d0cd0158b332f p1seg7 - Eugenol
chic22

22/09/2021 à 14h24


> c est le pb d aujourd'hui , par exemple , ce matin , je ne travaille pas et je
> pars faire 200 bornes pour aller faire tous mes cas au labo sur l ordi avant qu
> il appuie sur le bouton de la fraiseuse .
> y en a marre .
si ton protho bosse sous exocad il existe un viewer que tu peux avoir directement sur ton ordi pour donner les directives


Nouveau image bitmap fz77zh - Eugenol
Sethef

22/09/2021 à 17h31

Depuis ce matin, je me dis que la blague aurait été encore meilleure avec drilled.
Le chemin de la perfection est pavé de tâtonnements.

Prunelles écrivait:
---------
> Sethef écrivait:
> ------
> > Two skinny teeth taken by a big black bur.


--
_____________________
Dentiste décroissant.


Vw campersurfvan bmnk1q - Eugenol
enlaye

22/09/2021 à 21h51

chic22 écrivait:
------
" si ton protho bosse sous exocad il existe un viewer que tu peux avoir directement sur ton ordi pour donner les directives "

donner des directives , oui mais pas des coups de bâtons :-))


Vw campersurfvan bmnk1q - Eugenol
enlaye

22/09/2021 à 22h00

Algi écrivait:
----
" Faut arrêter avec la zircone qui peut pas se retoucher....
Fraises dédiées et roule...."

mais non , eh qué fraise ? on ne parle pas de la meme chose , je ne te parle parle pas de gratter une sur occ ou quoi .
ici on parle de reconstruction , de formes , de volumes à recréer , de courbes , de guidages , bref , si la forme ne va pas , c est mort , tu ne peux faire modifier et faire rajouter pour redresser par ci ou par là .
le full c est one shot , et si ça ne va pas c est poubelle direct . le dernier bridge qui n allait pas ça a été ça , je m en souviens comme si c était hier , d ailleurs c était hier :-))
demain j envoies les photos .


Et7jtaj0pdi18gzjlxjiamlx15gs - Eugenol
Prunelles

23/09/2021 à 10h15

Mais Enlaye t'es has been... Moi pour corriger les zircones en bouche, c'est facile, je demande au patient d'ouvrir très grand et de surtout pas bouger. Je lui colle ma CNC 128 axes en bouche avec guidage Lidar. Et Vas'y roule.... Sinon je les demande en légère sous-occ à mon protho...


Vw campersurfvan bmnk1q - Eugenol
enlaye

23/09/2021 à 10h21

donc je reçois ce bridge full . j ouvre le paquet .
huuumm je sens que ça va me contrarier cette histoire .

 mg 2614 m2a14u - Eugenol

Et7jtaj0pdi18gzjlxjiamlx15gs - Eugenol
Prunelles

23/09/2021 à 10h22

enlaye écrivait:
------
> donc je reçois ce bridge full . j ouvre le paquet .
> huuumm je sens que ça va me contrarier cette histoire .

Attend un peu avant de nous annoncer la suite. Laisse nous jouer.


Vw campersurfvan bmnk1q - Eugenol
enlaye

23/09/2021 à 10h23

je le mets en occlusion , et effectivement , ça se confirme je suis contrarié :-)

 mg 2616 djhaoi - Eugenol
 mg 2617 hwm8xu - Eugenol

Vw campersurfvan bmnk1q - Eugenol
enlaye

23/09/2021 à 10h26

donc Prunelles , ça , meme pas je l essaye , j annule le rdv , je prends le gourdin et je monte au labo .
pourquoi ?
PS : nos messages se sont croisés .


Nouveau image bitmap fz77zh - Eugenol
Sethef

23/09/2021 à 10h49

Ben à la fois, si il te produit des trucs comme ça, je comprends que tu sois obligé de faire 1000 enregistrements essayage retouches.

T'as une photo des moignons?

--
_____________________
Dentiste décroissant.


Nouveau image bitmap fz77zh - Eugenol
Sethef

23/09/2021 à 10h52


Mais si t'as pas envie de t'embêter, tu te contentes de friter les vestibulaires des 2 PM, ça tapera en statique, ça touchera pas en dynamique, mais au moins c'est pas iatrogène.
RACO.

(et quand il sourira on croira qu'il lui manque toujours les prémo, c'est le concept du bridge ninja, planqué derrière la canine)

--
_____________________
Dentiste décroissant.


123...