Cookie Consent byPrivacyPolicies.com20 ans après ..si j avais su . - Eugenol
Vw campersurfvan bmnk1q - Eugenol
enlaye

20/03/2022 à 15h35

bouboule écrivait:
--------
"Mais du coup tu classes ça en parafonction? "

Oui ,
pcq il y avait déjà un decentrage dû aux 46/47 (ou 47/48 sais plus ) qui interferaient sur une ppa du haut .
Et puis pcq il y a de sacrés mylolyses .
Ceci dit on en est pas forcément responsable , ...quand on ne sait pas :-))) .


Vw campersurfvan bmnk1q - Eugenol
enlaye

20/03/2022 à 15h44

En fait , les traits verts en haut du départ correspondent aux angles de Bennett .
et l erreur que j' ai fait c est de ne pas avoir fait faire les dents en fonction de ces angles quand j' ai fait le haut .




bouboule

20/03/2022 à 16h11

Ca j’entends bien, mais c’est ce que je t’écrivais tout à l’heure, tu peux prendre tous les angles du monde en compte, à partir du moment où t’as des implants en face d’une ppa assez étendue, qui à chaque mouvement patinent tes résines, au bout de quelques mois ou années sans maintenance, y a plus rien de carré… la mécanique ne ment pas… c’est un peu comme une belle full zircon face à une ceram toute jolie toute molle, au bout d’un moment les matériaux font ce que leurs propriétés mécaniques commandent…
Pour moi dans ton cas le point noir c’est l’absence de maintenance… pas sur qu’en ayant chiadé l’occlusion au départ, t aurais eu une grande différence aujourd’hui. Mais c’est toi le boss, j’adore lire ta vision de l’occlusion !


Vw campersurfvan bmnk1q - Eugenol
enlaye

20/03/2022 à 16h24

Ouiiii , et ils ont intérêt à bien ouvrir le numerus Clausus pcq entre le zircon et la mobile , on part dans du consommable de courte durée . Au suivant !!!
:-))


Utilisateur banni

20/03/2022 à 18h01

Avec des couronnes toutes neuves et des dents toutes usées autour ?


Vw campersurfvan bmnk1q - Eugenol
enlaye

20/03/2022 à 23h32

oui Posit , c est un peu l évolution du style moderne de la dentisterie .


Utilisateur banni

21/03/2022 à 09h21

Il me semble qu'une visite obligatoire annuelle avec un bilan qui bien évidement ne peut pas être une consultation à 23 balles aurait permis une amélioration moderne de la santé bucco dentaire des Français. Je dis ça je dis rien, je ne suis pas dentiste et des paramètres me manquent sans aucun doute.


6szjws718sv1jksw54v4mpj3a6cu - Eugenol
vulpi

21/03/2022 à 10h38

Oui, si on doit checker annuellement l'ensemble de nos patients, bah... On a plus de temps pour nos soins 😁
Sauf à déléguer à des "hygiénistes".


Bebe 038 nf8eum - Eugenol
danteyeah

21/03/2022 à 10h58

posit écrivait:
-----
> Il me semble qu'une visite obligatoire annuelle avec un bilan qui bien évidement
> ne peut pas être une consultation à 23 balles aurait permis une amélioration
> moderne de la santé bucco dentaire des Français.

C'est bien ce que j'ai toujours proposé à tous mes patients (et à 23€) en insistant même sur le fait qu'à l'époque (ça fait un bon moment que je ne travaille plus près de la frontière teutonne) en Allemagne, la OKA imposait une visite bi-annuelle à toutes ses ouailles sous peine de retrait de droits.........Si tu savais à quel point Ils s'en battent les couilles !!!! Et depuis Covid et RAC0 c'est encore pire. Alors clairement le taf d'Enlaye est tout sauf un échec, mais l'expression est sympa pour motiver les minots à lire le post et se poser des question pour faire mieux dans un contexte actuel où l'occluso est encore plus mis au rebus avec l’avènement des nouvelles technologies permettant de compenser la faible rémunération de nos actes par une vitesse accélérée de leur réalisation.
L'avenir apparaît radieux pour les minots...vont être de bien bon prestataire de service pour un bien de consommation-santé surement voué à une simple notion de garantie commerciale, comme un lave-vaisselle ou un grille-pain.......Putain quel avenir radieux, j'ai hâte ;-(


Utilisateur banni

21/03/2022 à 11h38

danteyeah écrivait:
---------

> travaille plus près de la frontière teutonne) en Allemagne, la OKA imposait une
> visite bi-annuelle à toutes ses ouailles sous peine de retrait de
> droits.........Si tu savais à quel point Ils s'en battent les couilles !!!! Et

cette politique a elle un impact positif ?


Bebe 038 nf8eum - Eugenol
danteyeah

21/03/2022 à 13h57

posit écrivait:
-----

> cette politique a elle un impact positif ?

Au niveau médico-social je ne peux m'exprimer. Par contre cela a un impact sur l'emploi sachant que l'on compte 1,5 à 2 assistantes dentaires par praticien et que donc quelque chose me dit que l'exercice en Allemagne semble plus serrein à présent. Ce qui pourtant n'était pas le cas vers 2004-2006 avec la réforme de la OKA et la fermeture d'1 labo sur 2.


6szjws718sv1jksw54v4mpj3a6cu - Eugenol
vulpi

21/03/2022 à 14h40

Qu'est ce qui est le plus délétère ?
Si la patiente porte sa PAP?( Et si oui à partir de quand ?)
Si elle ne la porte pas ?


Vw campersurfvan bmnk1q - Eugenol
enlaye

21/03/2022 à 15h18

je serais tenté de dire que sans c est mieux . dans la mesure où c est une édentation unilatérale , bien sur .


Utilisateur banni

21/03/2022 à 15h53

tu peux développer enlaye ?


Vw campersurfvan bmnk1q - Eugenol
enlaye

21/03/2022 à 16h37

j en ai parlé le 19.03 , sur la page d avant " j explique pour les minots ......."


6szjws718sv1jksw54v4mpj3a6cu - Eugenol
vulpi

21/03/2022 à 17h40

A partir du moment où les dents sont usées et en sous occlusion de groupe en secteur post, c'est mieux sans effectivement... comme les cr sur implants en sous oc d'ailleurs!-) ou les cr en sous oc "de groupe distal" tout court...
Si pas pap, le patient ne cherchera pas le calage en sous occlusion, il s'appuiera sur ses dents naturelles.


Utilisateur banni

21/03/2022 à 18h04

OK merci


Vw campersurfvan bmnk1q - Eugenol
enlaye

21/03/2022 à 19h26

vulpi écrivait:
-----
" Si pas pap, le patient ne cherchera pas le calage en sous occlusion, il s'appuiera sur ses dents naturelles. "

oui voilà , il se contentera du gentil contact ant et avec la molaire du fond cela lui procurera une stabilité suffisante ( calage ) et il restera bien dans son axe ( centrage).
alors que s il cherche le contact en sous occ , il le trouvera mais:
- dejà le gentil contact ant sera beaucoup moins gentil
- et il s aidera du déplacement latéral pour être encore plus efficace ( décentrage )

bien entendu comme l a dit Prunelles , si en plus , il manque de sexe , d alcool de nourriture bien grasse , et de pognon , il n a plus que ça a faire pour se venger de la difficulté de la vie :-)



Vw campersurfvan bmnk1q - Eugenol
enlaye

21/03/2022 à 23h42

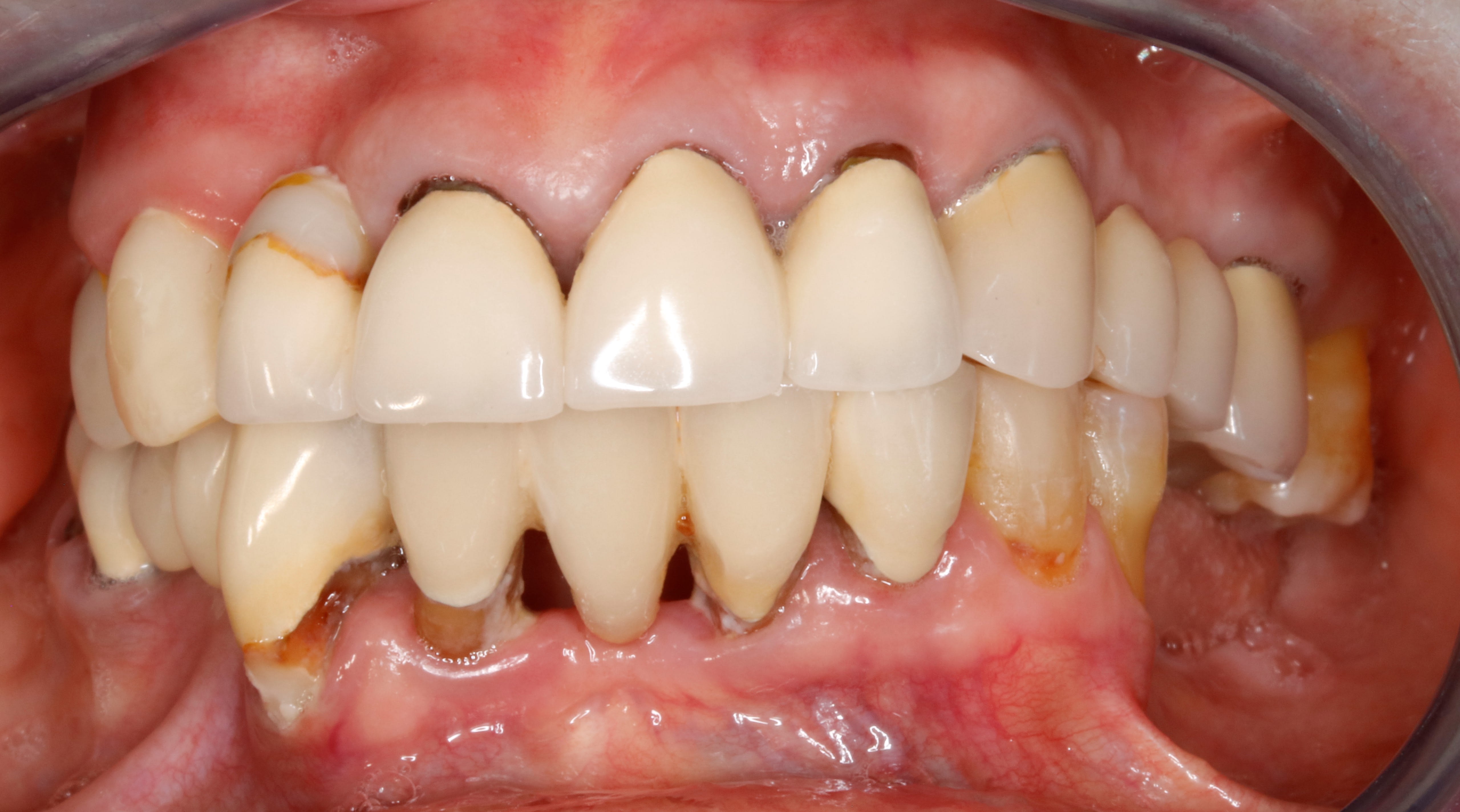
sinon , pour revenir à la prothèse , j avais déjà dit que le bridge du bas :1ere pm canine / canine 1ere pm c est du beton et là une de fois de plus ça se confirme . pourtant , j étais parti de très loin :-) .
il est pour moi obligatoire de prendre la 1 ere pm s il y en a une . pcq si tu ne prends pas la 1ere pm tu auras fatalement des pb de point de contact entre canine et pm , et tres rapidement la pm va se mettre à branler et tu vas la perdre .

la solidarisation canine canine du bas fait un bloc , ses tensions sont centripètes et donc dirigées vers le coté de l os le + epais .
ce qui est le contraire en haut , où les tensions sont dirigées en vest là où l os est le plus fin .
de plus il faut tjs avoir en tete que c est le haut qui amorti le bas qui est rigide où tout est prévu pour : os vest fin , sinus , courbe convexe ,proprioception riche etc etc
c est pour cela qu' il vaut mieux éviter de solidariser le bloc ant du haut quand ce n est pas impératif .

si tu regardes bien une canine , du bas comme du haut , naturelle , c est plein de faces d usures qui ne sont ni plus ni moins que les déterminants que l on a essayé de retranscrire sur l articulateur comme les angles de Benett associées au pentes condyliennes .
seulement , sur l articulateur , ce ne sont qu une approximation des mouvements extrêmes de lateralités , autrement dit qui ne servent à rien . puisque tout se passe avant .
bref tout ça pour dire que le labo ne peut que te faire n importe quoi au niveau des formes des canines ( que ce soit en palatin du haut et en vest bord libre du bas . on est très très loin des facettes d usures qui ont mis des années et des années à se faire .
alors , si tu ne prends pas les 1eres premo naturelles du bas , si elles existent , eh bien ce sont elles qui vont prendre le role des canines dans les mvts de lateralités ( entrant ou sortant ) et elles ne tiendront pas le choc , sont pas faites pour , surtout s il n y a pas un bon calage molaire propre .





Vw campersurfvan bmnk1q - Eugenol
enlaye

22/03/2022 à 12h38

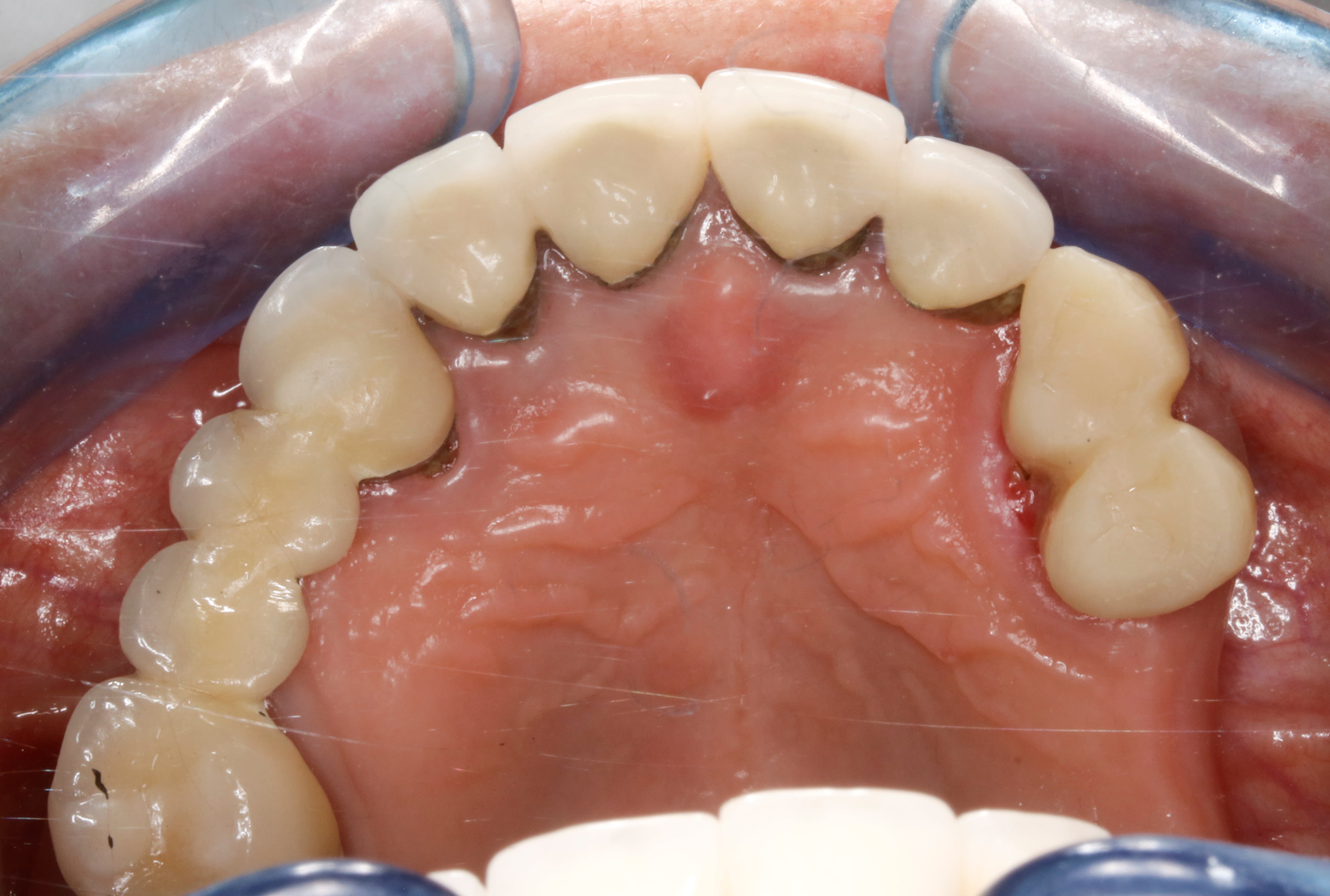
incroyable on parle de vieillerie , et voilà que je viens de recevoir un aure cas que j avais fait et ça tombe bien pcq à elle bien justement je ne lui avais pas fait de ppa .
elle a perdu sa racine de 12 , décidément , et je viens de faire 2 prov sur 13 et 14 qu avaient morflé grave .
au depart quand j avais fait ce boulot le point de depart etait aussi moisi que celui précédemment . c était une méchante classe2 avec béance ( de souvenir ) .
on constatera qu il n y a pas de faces d usures comme sur le premier cas . pourquoi ? bin pcq il n y a pas eu de ppa .
là c est clair aussi .
alors , d apres vous , ça a quel age ce boulot ?? :-))

6snxk4ztgj8zors50oj5mk6gq8ic - Eugenol
Fadcenc8jmql99b1x0hn2az2ait8 - Eugenol
Xop0iw005pd0vcrvsyhx5x2eonx5 - Eugenol

Screenshot 20190204 160354 2 ookelm - Eugenol
Arsénieux

22/03/2022 à 12h50

Toutankhamon à coup sûr


Vw campersurfvan bmnk1q - Eugenol
enlaye

22/03/2022 à 13h02

un vieux dossier effectivement, mais encore ? :-)


Vw campersurfvan bmnk1q - Eugenol
enlaye

22/03/2022 à 22h20

1993 .


6szjws718sv1jksw54v4mpj3a6cu - Eugenol
vulpi

22/03/2022 à 23h10

Classe 2 avec béance... Si tu fais pas d'ortho, tu corriges via les prépas et les reconstructions. Ce qui fait que tu n'as plus un alignement axe couronne prothétique, axe de la dent, avec des projections des forces occlusales hors de l'aire de projection du plus grand contour de la dent ( t'arrives à suivre poto😁) pour un bridge, pourquoi pas, mais pour de l'unitaire, je suis pas fan, surtout pour des mono-radiculées.
Tu as un avis ?


Vw campersurfvan bmnk1q - Eugenol
enlaye

23/03/2022 à 21h12

ah oui je crois que j ai compris ta question .
est ce que ça vaut le coup vouloir de modifier la forme occlusale de chaque dent unitairement pour rattraper une classe2 sachant que tu ne vas plus etre d aplomb / à la racine ? c est bien ça ta question ?
alors unitairement je ne l ai jamais fait . j ai pas souvenir .

dejà , tout dépend s il y a des dents en post ou pas .
a mon avis s il reste des dents en post ce n est pas jouable .
un peu pareil que le coté paradoxal de la ppa qu on a vu plus haut .
une classe2 avec beance , c est souvent hyperdivergent avec une grand laxité ,
et ce sont des gens qui ferment par l arrière puis qui finissent le mvt avec un proglissement vers l avant aidé par la langue .
alors si tu lui rajoutes des contacts ant , d abord il va aller chercher un max de contacts devant , pcq c est nouveau y pense qu à se goinfrer , mais la langue elle ne sera pas contente .
du coup je crains qu il modifie sont trajet de fermeture en rendant tous ses contacts post interferants .
ainsi , tu risques de te retrouver avec des sur contacts anterieurs alors meme que tu lui aurais fait les dents en sou-occ .


12345...