Cookie Consent byPrivacyPolicies.comparo isolée - Eugenol

paro isolée

alhoun

06/11/2004 à 15h15

grâce à toi, on est retordus.


Icon poker h4nm2d - Eugenol
jeff

06/11/2004 à 17h28

Allez, je vous donne la suite.

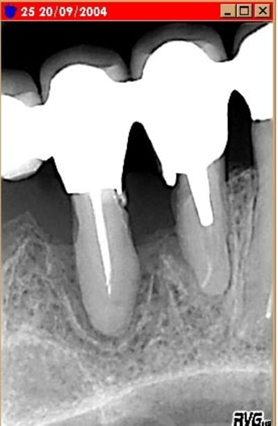
C'était bien une nouvelle patiente, mais elle est venue il y a deux ans. ( hi hi hi , dirais patrick )

C'était panique a bord en me demandant bien ce que j'allais faire !

Toutes les questions que vous posez sont très pertinantes et me serviront pour l'avenir. Il y à 2 ans, je n'ai pas regardé l'occlusion, pas trans-iluminé, il y avait aussi un abcès paro au niveau de la 11.

ce que j'ai fait : antibio + séances d'irrigation sous gengival à la chlorexidine + 2 séances d'élizol + brossage h2o2 et bi-carbonate. Rien d'autre. ( Voir fiche patient dans le post suivant) .


Comme quoi, rien n'ai jamais joué d'avance !

Paro bridge2 zzpkly - Eugenol

phil

06/11/2004 à 19h05

et bien moi je dis bravo ...comme toujours souvent il reste du parodonte . c'est pas gagné car je crains que tes racines aient souffert ( rhyzalyses possibles ..Il y a de tels phénomènes infectieux. ) mais à moins que je sois bigleux je trouve que c'est mieux non et peu importe le système d'attache.c'est ce qu'il fallait tenter de toute façon ........
qu'est ce que tu as utilisé comme antibio et selon quels critères a quel moment as tu fais ton irrigation et quand as tu fais ton elyzol et pourquoi CHX + Elysol et pas CHX seulement ou Elyzol seulement
Donc ailleurs pas de soucis ...... alors pourquoi des lésions à cet endroit?
moi j'ai mon idée mais j'aimerai savoir si d'autres pensent comme moi .......



Icon poker h4nm2d - Eugenol
jeff

06/11/2004 à 20h06

j'essayais de joindre une copie de la fiche patient de l'époque qund j'ai eu un super plantage ( voir rubrique informatique ).

Ce que j'ai fait, et surtout pourquoi ?
Mince, tes questions sont vachement dures !

1 1 semaine de lysocline ( parce que je pensait que les cyclines, s'était bien pour la paro ! )
puis flagyl, parce que toujours abcès, puis rodogyl, parce que.

2 : irrigation : a la fac , on faisait pas mal d'irrigation avec de l'éludril, alors pourquoi pas . Pour assenir un peu et que l'élizol soit plus efficace ?
j'ai même fait irrigation avec veybirol pur.

je joint le fichier, je ne sais pas si c'est lisible, je n'ai plus que 4 couleurs sur mon PC !

Fiche patient zx8k2e - Eugenol

Amibien

06/11/2004 à 20h19

cher Phil, penses-tu aussi comme moi que la patiente a la fâcheuse habitude d'utiliser des coins de bois après chaque repas pour "bien nettoyer" en dessous du bridge ?


phil

06/11/2004 à 22h16

jeff
Alors la voila le genre de praticien que j'aime et qui travaille .... avec de bons resultats et avec peu de moyens . Moi je redis bravi bravo car on sort des concepts théoriques pour arriver à quelquechose qui marche mais qui avec un peu plus de connaissances peut être aurait été tout aussi performant . Jeff je te le redis tu es quelqu'un de bien car il y a cette copie d'écran pour la prescription , cette chose qui montre ton honneteté professionnelle et tes qualités humaines aussi ( aussi importantes que cette technicité qui nous envahit tous les jours ) . Merci moi j'en redemande ....
alors pourquoi la lysocline qui en principe n'est à utiliser que pour le Aa ( les autres bactéries sont plutot peu sensibles à cette molécule et la il ne s'agit pas d'une parodontite juvénile ) . Moi je pense que flagyl ou birodo aurait été suffisant d'emblée car spectre adapté à la flore anaérobie ( vraissemblablement dominante en profondeur -) et aux parasites sans trop perturber la flore compatible avec la santé paro . Je pense que si tu as utilisé plusieurs antibio c'est que tu n'avais pas le resultat que tu pensais avoir mais je peux me tromper.
Tes irrigations pourquoi pas mais il ne faut les faire trop vite à mon humble avis et eviter d'aller trop vers l'apex ( laisser le temps au parodonte de récupérer ) mais comme cela a marché et que seul compte le resultat ......moi je me tais
pourquoi CHX et Elyzol et pas l'un ou l'autre ? pourquoi sachant que le métronidazole existe dans flagyl et dans Elyzol utiliser les 2 . Ne penses-tu pas qu'un seul des 2 aurait suffit ou ne peut-on pas penser que l'action conjuguée des 2 c'est pas mieux ? Jeff mon ami, je dis pas cela pour te culpabiliser ou autre chose mais simplement parce que l'on se pose tous la même question . merci encore de tes cas intrelligemment choisis . Comment justifier notre action clinique ??? surtout aux vues de Gugulch ou de pepelemoko grands férus de bases scientifiques ou de phil ou d'amibien fous de microscope .....

Alors pourquoi ces lésions la et pas ailleurs ? dans une bouche ou tout semble avoir été réalisé avec les plus grands soins . Je suis pas d'accord avec diplodomaxi....... je suis pas un fou d'endo mais les images sont celles de vieilles endo réalisées par un clinicien consciencieux vu l'ajustage des prothèses qui moi me parait top ....et là manifestement c'est pas un problème endo ...... par contre les effets de l'inflammation sur l'endo......

Jeff je penses que tu as réagi avec ton coeur en te disant foutu pour foutu on va tout essayé et cela semble marcher . C'est vraiment bien. J'aurai agi dans le même sens . Par contre je pense que tu aurais peut être pu faire autant avec moins ne crois tu pas .....
Mon problème est le suivant : quand on tape si fort est ce utile et ne risque pas trop sur le long terme d'avoir des resistances qui nous emmerderont plus que le problème local de ces 2 PM
Alors pourquoi ces lésions la et pas ailleurs ......???????????
encore merci ..... si j'ai un gros pb j'irai te voir......tous d'ailleurs amibien , gugulch et les autres ..........


ZORBECA

06/11/2004 à 23h17

De grâce, si tu as un gros problème de paro ou autre au niveau dentaire, il faut éviter de venir me voir.

Pour le reste ma maison est ouverte à toutes et tous. Je suis à 50 mètres de la mer, la véritable, celle qui monte et qui descend. Et ma région est magnifique : Quiberon ( Alhoun pour ta thalasso), Carnac et ses canines mégalithiques en pierre, La Trinité/mer, son port, ses galettes et son Jean-Marie...


phil

06/11/2004 à 23h29

et zorbeca un type simple et épatant avec qui on peut parler de tout au coin du feu en regardant la mer et en refaisant le monde déjà refait tant de fois par les marins et les autres mais ou la houle et le mauvais temps des idées d'extrêmes nous chahutent et nous chavirent .Lassitute du temps qui passe avec des gens bien comme toi pour se reconforter des tempêtes humaines ........bon je vais reprendre mes gouttes cela devient grave......


alhoun

07/11/2004 à 02h57

attention zorbeca, c'est pas tombé dans l'oreille d'un sourd.


LeSage

07/11/2004 à 06h28

A Jeff....... peux tu voir si ya un contact prematuré sur la 2e PM.....Pm de gauche sur la radio.

Comment savoir????....par la kinesio si tu le pratiques.....ou verifie par la palpation au niveau de l apex de la dent..........+ de ss au toucher.

Excellent cas clinique et BRAVO pour le resultat.
Preuve que t as le sens clinique et que t es un bon
THEURAPEUTE.




phil

07/11/2004 à 10h33

j'ai regardé à nouveau tes clichés. sur le long terme il faudra surveiller tes dents car l'état de surface vers le collet semble très irrégulier......Il faut que la flore soit surveillée de près.....


ZORBECA

07/11/2004 à 10h38

LeSage, tu m'inquiètes sérieusement 5h28 du mat...
tu rentres de boîte ou tu te lèves..

Fais attention à l'abus d'alcool.

Cool c'est dimanche....


Icon poker h4nm2d - Eugenol
jeff

07/11/2004 à 15h42

bien vu phil. Effectivement, il y a eu une carie en palatin sur la racine de 25. Traitée il y a 6 mois au verre ionomère.

Au fait, Alhoun, quand tu disait que c'était d'une simplicité bilique, tu pensais à quoi ?


Amibien

07/11/2004 à 16h33

Aussi simple que de dire Dieu existe, ah ah ah ah !!!


phil

07/11/2004 à 16h37

moi j'ai toujours pas de reponse pour ces cas de parodontite isolée ( pas le premier cas de jeffquinenveut dont l'etiologie me semblait plus évidente . il me semble pourtant que nous devons nous poser la question ......il est chiant le phil en trop je sais ....


Amibien

07/11/2004 à 18h40

phil a écrit:
-------------------------------------------------------
> moi j'ai toujours pas de reponse pour ces cas de
> parodontite isolée ( pas le premier cas de
> jeffquinenveut dont l'etiologie me semblait plus
> évidente . il me semble pourtant que nous devons
> nous poser la question ......il est chiant le phil
> en trop je sais ....

Mais non tu n'es pas chiant, tu es génial et je t'aime...

Les paro localisées, les coins de bois et d'autres habitudes iatrogènes... les morsures de bic (un directeur de banque que je connais casse vingt bics entre ses dents par jour, je dis bien par jour...!), etc...

Moi quand je bricole, j'ai toujours un morceau de bois que je machouille tendrement entre 13, 14 et 43, 44, allez savoir pour quoi... mais curieusement je n'ai pas de paro localisée, certainement grâce à l'isobétadine que je consomme sans arrêt.

Mais j'ai vu bon nombre de problèmes paro lié à des manies parfois assez bizarres, on peut en parler si cela intéresse quelqu'un...

Phil, c'est moi qui devient chiant, je vais prendre mon valium... (mais non, c'est une blaque..)



Amibien

07/11/2004 à 18h42

le phil en trop, oh oh oh je viens de comprendre !


alhoun

07/11/2004 à 18h54

que je ne parie pas un kopeck sur leur conservation.


phil

07/11/2004 à 20h25

alhoun
jeff a fait ce qu'il fallait pour conserver ces dents. Toi qu'aurait -tu tenté . Perso cela aurait été mes dents j'aurai agi dans ce sens même si son protocole partait un peu à droite et à gauche .l'important comme l'a dit amibien c'est d'anticiper le caca (ou le loup )et de prévoir le plan de traitement après pépin
ce qui m'inquiete c'est plus l'état de surface et la souffrance cemento dentinaire liée à l'infection et à l'inflammation . IL faudra que je retrouve ( et scanne )toute les radios d'un cas avec alveolyse + que terminale récupérée et qui 10 ans environ après a à nouveau montré un gros pb car il y avait une rhyzalyse à l'apex .J'ai prolongé la dent 10 ans c'est toujours ca. Mais tu as raison on ne parie pas, jamais sur ces cas .

tous ces cas limites nous permettent tout de même de mieux percevoir ces choses pour lesquelles je me suis déjà chamaillé ( pas trop sonder sur un terrain inflammatoire , pas cureter d'emblée etc....etc...) il y a des lecons à tirer de ces cas je le sais depuis logtemps
Alors pourquoi des lésions à cet endroit et pas ailleurs . il est possible effectivemment que de mauvaises habitudes aient pu creé le pb comme le suggère amibien mais ne peut on pas penser qu'une inflammation s'est créée par défaut de brossage par exemple , qu'une flore incompatible avec la santé se soit installée et que des surcharges fonctionnelles progressives et ou initiales...... latéralités mal adaptées aient favorisées la déminéralisation et la pénétration bactérienne . ( doit-on parler et fait-on tous de la maintenance occlusale )
alors en plus si mauvaises habitudes ......
Comme je l'avais souligné une fois les théories anciennes de Glickman faut peut être y repenser de temps à autre....

mais tout cela n'est que reflexions et la vérité est scellée dans les mystères de nos cellules ( moi j'ai plus beaucoup de grises ...)


Amibien

07/11/2004 à 20h28

T'inquiète, on vient de voir qu'elles se régénèrent quand même nos cellules grises, quand même une bonne nouvelle...

Il paraîtrait aussi qu'en France, ils les perdent plus vite qu'ailleurs à cause du pinnard... ar ar ar ar


phil

07/11/2004 à 20h54

et l'eugenol.com c'est dangereux tu crois ............


17082007 synnio - Eugenol
kalif

07/11/2004 à 21h17

le problème , c'est que vous etes quelques uns à vous la raconter grave. Et quel plan de traitement t'aurais fait? A combien se monterait ton devis ? Moi , j'extrais direct et j'implante illico !!!

Des remarques comme celles-ci, on en lit tous les jours sur ce forum.Vive le progrès, vive les plans de traitement et les implants; mais n'oublions pas qu'il s'agit de patient et pas de machoire de porc ou de frasaco.

La question que je me pose systématiquement et qu'est ce que je ferais s'il s'agissait de mon père ?


Combien de nos éminents confrères intervenant sur ce forum auraient tenté de sauver les 2 prémolaires?

Combien auraient en priorité tirer des plans lucratifs sur la cométe?

bonne reflexion...


17082007 synnio - Eugenol
kalif

07/11/2004 à 21h19

bon , je vous laisse , la pression monte.
Je me prépare pour le match de l'om.
On va les taper.
On vient , on gagne et on s'en va!


phil

07/11/2004 à 21h29

t'as des problèmes avec tes cellules grises kalif toi aussi........???????


alhoun

07/11/2004 à 22h00

phil, tu me demandes ce que j'aurai fait , et je te le dis: je n'aurai pas parié un centime et j'aurai extrait les dents. kalif va hurler, mais oui, j'aurai extrait tout de suite et implanté illico, pour le paraphraser. et surtout si c'était mon père. le fait est qu'aucune prévision à moyen et long terme ne peut être donnée sur un cas comme celui là, je constate que jeff s'en est bien tiré et je l'en félicite. mais je me suis imposé une démarche dans ma pratique qui limite ce que je fais à ce que je peut garantir, la question est là: même ce traitement à minima a couté beaucoup de sous, quand on connait le prix de l'elysol , le temps curatif et le monitoring. j'essaie simplement d'éviter les tentatives de sauvetage de derrière les fagots, parce que statistiquement, elle sont insignifiantes, et le patient, du moins chez moi, mais je suppose que chez vous c'est pareil, veut un résultat. alors maintenant je pose une question: supposons que le pont maxillaire porté par ce patient était à refaire, jeff l'aurait il réalisé en maintenant ces deux dents en place? j'en doute. je vous rappelle le titre du post: paro isolée, mais cas isolé également.


1234...