Cookie Consent byPrivacyPolicies.comPhotos de problemes ou echec ds le traitement implantaire - Eugenol

Photos de problemes ou echec ds le traitement implantaire

Img 3657 cwjvqm - Eugenol
alapex

12/01/2012 à 20h41

Tu n'as pas réhabilité en postérieur ?


Photo pluton1b h9n4ea - Eugenol
pluton

12/01/2012 à 22h10

alapex écrivait:
----------------
> Tu n'as pas réhabilité en postérieur ?

vaste sujet...
mais tu sais, la vie de nos patients est tout, sauf un long fleuve tranquille...
j'ai déjà du insister pour les implants mandibulaires car elle ne voulait au départ que la 22...déjà qu'elle avait explosé la racine...elle a compris pourquoi...heureusement...
pour le reste, je devais faire un sinus lift...qui n'a jamais eu lieu puisque pas revue depuis près de 2 ans, et voulait pouvoir quand même manger correctement le temps que tout soit fini...
j'avais donc posé le minimum nécessaire pour que la suite soit "confortable"...et en rapport avec son budget pas forcément élastique...
la vie en a voulu autrement, elle a perdu son mari, s'est laissé un peu aller......bref, la vie quoi...

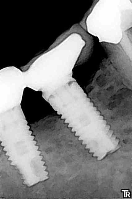
le "truc" que je comprends pas: pourquoi juste la 35, sachant que l'occlusion et la fonction sont OK, pas de problème d'adaptation de la prothèse, ni de présence de ciment...
j'en suis à me demander si c'est pas un abcès "paro" (je devrais dire périimplantaire) suite à une blessure avec un aliment (genre crustacés stars des fêtes de fin d'année)...
si quelqu'un a une idée...


Img 3657 cwjvqm - Eugenol
alapex

12/01/2012 à 23h11

Comme ça , à brûle pourpoints je dirais que les appuis étant plus important à gauche qu'à droite + l'effet piston de 23 et 25 (sur 35) + l'environnement osseux de cette zone (de part et d'autre du trou mentonnier)... mais bon je ne suis pas implanto , ce n'est qu'un simple avis mécanique . Je me demande si l'occlusion générale n'y est pas pour qq chose .
Plan B: les points de contacts interproximaux sur 35 , forcés par l'effet piston de 23 et 25 .


Photo pluton1b h9n4ea - Eugenol
pluton

12/01/2012 à 23h32

points de contacts ok, vérifiés, zéro mobilité, occlusion ok, mouvements propulsion/latéralités ok...

ce que je ne comprends pas c'est pourquoi je n'ai pas de perte en lingual (c'est vrai que c'est pas facile à voir sur nonol, mais il n'y a pas de perte osseuse en lingual...çà forme une cuvette en forme de "croissant" avec point bas vestibulaire) ou du moins pas encore...
la cause mécanique pure, j'ai un peu de mal à y croire...mais bon, il peut y avoir un truc qui m'a échappé...


Amibien

13/01/2012 à 01h20

La réponse à ta question oblige à s'ouvrir sur un autre monde... (:-))


Photo pluton1b h9n4ea - Eugenol
pluton

13/01/2012 à 01h31

je suis un peu rouillé Amibien...quels filtres colorés?

non, sans blagues, je risque rien de tenter...
sinon tu ferais quoi?
réouverture débridement/nettoyage comblement de la zone?
dépose de la couronne sur la 35 et rog en ré-enfouissant tout?
c'est une première pour moi, peut être "faute à pas de bol" mais je n'y crois pas non plus...
y a quelque chose qui m'échappe mais je ne sais pas quoi...


flicflac

13/01/2012 à 06h03

La prévention aurait été de jumelé 34-35-36 ensembles?
Si l'on pense que la cause du problème est du aux forces mécaniques (stress).
Sinon hygiène et péri-implantite


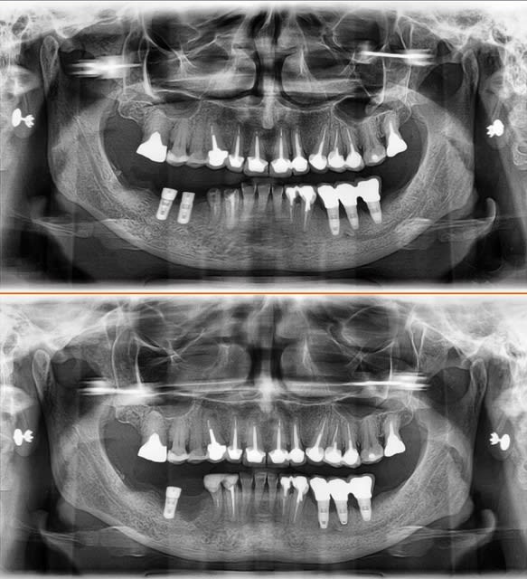
Implant wq5dd1 - Eugenol
sinuslift

13/01/2012 à 15h30

Bonjour,

J'ai cette petite série de cliché.
Pour préciser je n'ai aucun problème d'hygiène, d'occlusion....ou autres chez cette patiente et cependant ça a donné ceci.

Je vois régulièrement la dame mais elle ne souhaite pas que je sépare et dépose l'implant à problème malgré toutes les explications que j'ai pu lui donner.

La hauteur gingivale est ok sur les deux implants malgré une légère inflammation inconstante sur le problématique...

@+

Édit: Lire décembre 2011 sur la dernière radio bien sur ^^

Pose 2006 jbettn - Eugenol
Mise en charge 2006   4 mois jgcglr - Eugenol
2006   2 ans vdxdzp - Eugenol
Decembre 2012 mgpcch - Eugenol

003 penrd2 - Eugenol
Cingulum

13/01/2012 à 16h31

Dans le genre ça arrive qu'aux autres...
Patiente 57 ans, non fumeuse, un peu bruxo
les implants secteur 3 ont été posé il y a 4 ans, perte osseuse la première année, puis stable depuis...
je pose deux implants à droite... la patiente reviens avec l'implant manquant sur la radio dans la main ... :( :( :(
1 mois entre les deux pano

Diagnostic, os très dense, beaucoup de mal au forage.
Je pense que j'ai échauffé la corticale et entraîné une lyse rapide...
Comment faite vous quand le foret avance pas ? et comment évaluez vous l'usure des forets ?


--
Dr Cingulum
-----Ancien interné----
----Attaché à l'apex----
http://www.clinic-all.fr/ formation par passion

Olivier eugenol 2 ocjyl7 - Eugenol
Olivier eugenol hwpt81 - Eugenol

Grueavatar nptrc9 - Eugenol
Le Choixpeau magique

13/01/2012 à 17h05

Pour quelqu'un comme moi qui aimerait se mettre à l'implanto vous êtes plutôt flippants les amis !
Est-ce que parmi vous certains sont poseurs d'implants "premium" ?


Photo pluton1b h9n4ea - Eugenol
pluton

13/01/2012 à 17h05

Pour l'usure des forets, tu fais un tableau avec pour chaque foret 20/25/30 cases (fonction de ton système...), quand tu es dans un os normal/mou tu coches 1 case par préparation et 2 dans un os dense...
quand tu arrives au bout tu changes...;-)

c'est moi ou les implants secteur 3 sont pas non plus en super forme???


Ibiza69

13/01/2012 à 17h20

C'est quelle marque ces implants je connais pas


Photo pluton1b h9n4ea - Eugenol
pluton

13/01/2012 à 17h25

Le Choixpeau magique écrivait:
------------------------------
> Pour quelqu'un comme moi qui aimerait se mettre à l'implanto vous êtes plutôt
> flippants les amis !
> Est-ce que parmi vous certains sont poseurs d'implants "premium" ?

je peux en poser...des zimmer...mais pour quoi faire? vont pas mieux que mes ID... (même alliage, même forme, même état de surface, même connexion, etc...)

flippants...non...je montre un cas où j'ai 1 problème...
sur plus de 400 implants posés c'est pas la mort...
je vais tenter de le récupérer...pi si çà marche pas, je le dépose, je rog, et j'en pose un tout neuf...;-)


Fouilla h6plsy - Eugenol
fouilla

13/01/2012 à 17h32

plut pourquoi avoir fait de l'unitaire (par compromission ss sans aucun doute) perso je l'ai fait une fois et je l'ai payé sur deux implants en 46 47 pour faire "gagner" le rbt de 43.95 mais au final c'est moi qui me suis pris deux ans après la prothèse bis :-(

pour vincent il en va en implanto comme en dentisterie "conventionelle" ni plus ni moins sauf que dans le cas de l'implanto le patient est un vrai PAYEUR mais bon pas plus ni moins de problèmes qu'avec le reste.

chiche je viens te faire l'assistante demande à growly c'est chaud on terminera à quatre pattes..

--
.


Photo pluton1b h9n4ea - Eugenol
pluton

13/01/2012 à 17h41

fouilla écrivait:
-----------------
> plut pourquoi avoir fait de l'unitaire (par compromission ss sans aucun doute)

et bien sur ce coup là, qu'est-ce que je préfère être sur de l'unitaire!!!...
je démonte 1 couronne, je ré-enfouis que cet implant en faisant rog + épithélio-conjonctif (pour boucher le trou-trou) et wait and see...si çà se passe mal, je le dépose et j'en repose un autre...


> chiche je viens te faire l'assistante demande à growly c'est chaud on terminera
> à quatre pattes...

et puis si je dois venir te tamponner le front pour ta MCI faut pas que j'oublie l'escabeau...;-)


003 penrd2 - Eugenol
Cingulum

13/01/2012 à 18h41

Le Choixpeau magique écrivait:
------------------------------
> Pour quelqu'un comme moi qui aimerait se mettre à l'implanto vous êtes plutôt
> flippants les amis !
> Est-ce que parmi vous certains sont poseurs d'implants "premium"

A gauche je sais pas quels sont les implants ... mais il y a eu une perte rapide aprés la pose, et c'est stable depuis 2009...

a droite je pose du Biocom MIS
C'est la première fois que ça m'arrive sur environ 300 implants... et on peut pas dire que ce soit un cas limite...
mais c'est l’expérience qui rentre

pour l'usure des forets, c'est ce que je pensais faire, un tableau d'usure....

c'est pas un problème d'implant...



--
Dr Cingulum
-----Ancien interné----
----Attaché à l'apex----
http://www.clinic-all.fr/ formation par passion


Grueavatar nptrc9 - Eugenol
Le Choixpeau magique

13/01/2012 à 18h56

fouilla écrivait:
-----------------
> chiche je viens te faire l'assistante demande à growly c'est chaud on terminera
> à quatre pattes..

(comment lui dire que je ne suis pas intéressé ?)


Fouilla h6plsy - Eugenol
fouilla

13/01/2012 à 19h12

Le Choixpeau magique écrivait:
------------------------------
>
>
> (comment lui dire que je ne suis pas intéressé ?)
même po vexé , mais bon il y avait une raison il nous manquait une vis d'ancrage perdue en cours d'intervention :-)au départ on la croyait dans l'aspi mas non la bougresse était sous le siège

--
.


Grueavatar nptrc9 - Eugenol
Le Choixpeau magique

13/01/2012 à 19h22

fouilla écrivait:
-----------------
[...]une vis d'ancrage[...]dans l'aspi[...]la
> bougresse[...]sous le siège.

Te fatigue pas, j'ai compris que votre cercle était très fermé...


Fouilla h6plsy - Eugenol
fouilla

13/01/2012 à 20h09


pour cingulum
après forage ton site était vascularisé ou pas ?

il y a très peu de temps j'ai ouvert foré et... refermé site totalement exsangue puis replanté 2 mois après

je sais je sais y aurait fallut faire la méthode pépé mais voila ....

--
.


Fouilla h6plsy - Eugenol
fouilla

13/01/2012 à 20h09


pour cingulum
après forage ton site était vascularisé ou pas ?

il y a très peu de temps j'ai ouvert foré et... refermé site totalement exsangue puis replanté 2 mois après

je sais je sais y aurait fallut faire la méthode pépé mais voila ....

--
.


Img 3657 cwjvqm - Eugenol
alapex

13/01/2012 à 20h14

Cingulum :
"...Diagnostic, os très dense, beaucoup de mal au forage.
Je pense que j'ai échauffé la corticale et entraîné une lyse rapide...
Comment faite vous quand le foret avance pas ? et comment évaluez vous l'usure des forets ? "


Si je peux me permettre un peu d'ostéotension 45 jours avant l'implanto t'aurait fait découvrir un os vascularisé et une pénétration facile et sans risque .
Le sang c'est la vie .


Fouilla h6plsy - Eugenol
fouilla

13/01/2012 à 20h18

alapex écrivait:
-
> Si je peux me permettre un peu d'ostéotension 45 jours avant l'implanto t'aurait
> fait découvrir un os vascularisé et une pénétration facile et sans risque .
> Le sang c'est la vie .

et voila je te l'avais dit ....il te le dit ....

alap veille gaffe les bisounours !


--
.


Img 3657 cwjvqm - Eugenol
alapex

13/01/2012 à 20h22

Vi , mais je ne le dis pas fort car un , je n'implante pas (mais je vois ...)))), deux je ne peux pas faire le malinois avec Cingulum ... je suis un de ses élèves .
Par contre , je connais et pratique Pp couramment ...)))

Ce qui ne m'empêche pas de n'être bon à rien et mauvais en tout ;), d'où ma fréquentation de Clinic All .


Avatar ow44t3 - Eugenol
Chicot

14/01/2012 à 01h56


L'usure des forêts c'est la mort ! Il y a 3 ans j'ai perdu 3 implants dans la même quinzaine sur 3 patient différents et là j'ai pris conscience que mes forêts était usés : plus de 25 forages....

Depuis que je fais des tableaux, j'ai pas perdu d'implant, je change plutôt trop tôt que trop tard.

Y'a assez d'éléments incontrôlable pour pas rajouter des facteurs de risques.

L'osteotension à la pp ou la stimulation endostée à la M. Bert est une piste à explorer aussi, car j'ai jamais perdu d'implant sur une pose 2 mois après exo. Les échecs avant prothèse c'est surtout sur les vieux édentements Ou des sites ou il y avait une infection sévère.

La paro évolue en péri implantite au niveau des implants. J'ai perdu deux implants sur un patient que j'avais perdu de vu depuis deux ans. Traitement initial paro avant pose des implants, mais ensuite, il avait 'perdu' sa brosse à dent: abcès paro sur les dents, halitose +++ et péri implantite sur 2 des 3 implants, dont un dans son porte monnaie avec pilier et Co.....

--
;O)