Cookie Consent byPrivacyPolicies.coma discuter - Eugenol
1 p3qrc4 - Eugenol
Bjc.

16/03/2009 à 16h29

"Un peu comme un éventail qui se ferme et tu incriminerais la perte de calage postérieur ?"

ou un éventail qui s'ouvre ;-)


isaïe

16/03/2009 à 17h01

... qui s'ouvre en provoquant un chevauchement ???


200106 10150128247663588 709988587 6466236 5598391 n d7mksb - Eugenol
hallboy

16/03/2009 à 17h16

mm interrogation;)

et comme de toute façon on a pas de point de depart, mais juste l'arrivée, c'est un peu osé d'etre peremptoire sur un quelconque mouvement. Qt à sa cause, anale ou migratoire, .....

Comment se fait il que je passe mon temps a avoir plein de questions , qd tout le monde à plein de reponses??? il y a des jours, j'ai l'impression de vivre un sketch de Woody allen;)


116 à 0


Bien à vous

Gossage.


Amibien

16/03/2009 à 18h12

bjc n'a aucune réponse à donner, en fait il la cherche...

nous avons la réponse mais il devra supplier à genoux, hein Daniel ?


1 p3qrc4 - Eugenol
Bjc.

16/03/2009 à 18h21

"et comme de toute façon on a pas de point de depart, mais juste l'arrivée, c'est un peu osé d'etre peremptoire sur un quelconque mouvement."

Absolument, 31/41 étaient-elles pires ou mieux il y a 20 ans ???
par contre on sait que la remise en place de ces deux dents nous pose souvent des difficultés
voilà l’occasion de montrer la supériorité de votre technique



Cuisinier2 vnbbxx - Eugenol
jeff2

16/03/2009 à 18h28

Bjc. écrivait:
--------------

> voilà l’occasion de montrer la supériorité de votre technique
>
Bjc, tu n'as pas encore compris, que c'est surtout à la base une hypothèse, qui si elle est vérifiée scientifiquement, fermera la bouche à beaucoup de monde et surtout permettra de mettre en place des techniques préventives pour éviter le genre de cas clinique que tu présentes

Bref, tu l'as bien et ma douce aussi, les orthos espérent fortement que cette hypothèse soit fausse, sinon, ils n'auront plus de boulot


200106 10150128247663588 709988587 6466236 5598391 n d7mksb - Eugenol
hallboy

16/03/2009 à 18h38

Amibien écrivait:
-----------------
> bjc n'a aucune réponse à donner, en fait il la cherche...
>
> nous avons la réponse mais il devra supplier à genoux, hein Daniel ?


ON a rien.
On a 3 photos. pas d'historique du cas. Pas d'evaluation par aucune methode. pas la moindre idée des trajets lateraux ou en pro. Pas specialement de facettes d'usures sur ce que je vois.


Tout le monde peut raconter ce qu'il veux.

Supplier à genoux..... superbe;
Soit on est dans une cour d'ecole, et c'est pitoyable; soit on est entre confreres, et c'est à gerber.


Si qqun peux vraiment fournir un plan de traitement argumenter, je suis tout ouïe.


Grueavatar nptrc9 - Eugenol
Le Choixpeau magique

16/03/2009 à 19h43

Moi je propose prothèse à appuis disjoints.
Ou peut être filtres colorés et machin bidule de la cochlée.
A moins que ce soit le microscope à contraste de phase ?


Ylfwcw979cz1jnx9gfqeaxndiuzk - Eugenol
Algi

16/03/2009 à 20h17

Plusieurs choses ici me font m'interroger: quid de la 43 qui est partie en avant et est passée en occlusion inversée en plus de s'être distalée, quid de l'encombrement anterieur en bas qui donnent plutot l'impression d'un dysfonctionnement de la langue?

La seule explication de distalisation des pm et eventuellemnt des canines ne tient pas.

Ensuite on a perdu de la dv ou elle a jamais été là.

Quoi qu'il en soit notre technique n'est pas "superieure" elle vient juste se placer en amont pour eliminer le max de contraintes annexes et faciliter le traitement à venir.

Sur ce qui a été dit par ci par là tu peux te faire une idée de ce qui serait réalisable: il faudrait avoir des réactions normales au massage des trapezes, masseters, langue, temporaux...., verifier ensuite les evocations mentales suceptibles de provoquer des asymétries du tonus musculaire et les corriger (c'est ici et seulement ici qu'on tape 1/4/5); une fois le bon fonctionnement musculaire obtenu (ou au moins la détendabilité du trapeze gauche) il faut alors s'assurer que toutes les dents du maxilaire resonnent correctement en passant par les filtres et corriger les surcharges, en dernier lieu corriger les sous occlusions par ajout de composite..

A mon sens il serait aussi souhaitable de déposer les amalgames oxydés afin de supprimer les piles presentes suceptibles de provoquer des interferences.

Quoi qu'il en soit je doute fort que ce patient fonctionne mais ne l'ayant pas sous la main je ne peux que me perdre en supputations.


Une fois obtenu un equilibre alors on peut passer à la suite: ortho + protheses (transitoires pour determiner dv et positionnement de la mandibule dans un premier temps).

en bas pas de preference sur le type de prothese à realiser, en haut il faudrait eviter le plus possible les bridges et solidarisations (et donc pas de contention en fin d'ortho bien sur puisque traitement ortho reussi = absence de recidive, si les parametres musculaires sont bons et seulement si).







--
"On a toujours le choix! Mais entre quoi et quoi?
Vas-y boulégue et l'avenir te le dira!"


1 p3qrc4 - Eugenol
Bjc.

16/03/2009 à 21h10

merci algi,

je viens de recevoir les Rx.

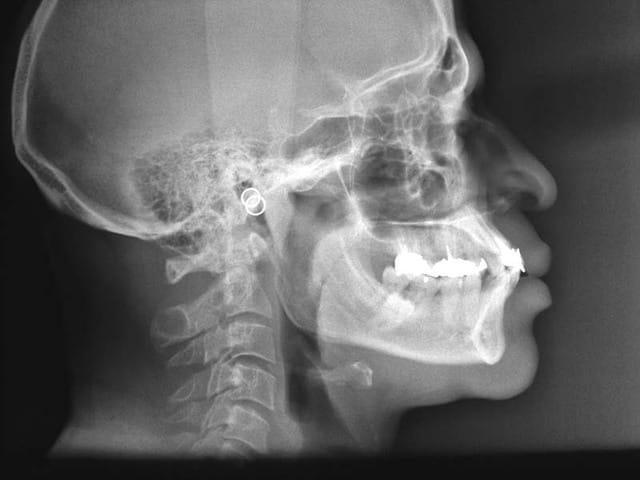
Dscf0773 s5e52w - Eugenol
Dscf0774 n8peyh - Eugenol

Image odged8 - Eugenol
ploc

16/03/2009 à 21h31

tabernacle, c'est pire.....


1 p3qrc4 - Eugenol
Bjc.

16/03/2009 à 21h59

Patient brachy, tendance Cl. III.
Pas de Pb. Paro
Pas de déviation du chemin d’ouverture
Ce n’est pas une occlusion que je construirais, aussi je ne vais pas la détruire pour le faire rentrer dans des normes qu’il supportera peut être moins bien
Donc
Refermer l’espace 42/43
Remettre 43 en Cl. I. regler 43/13, là je peux peut etre utiliser les filtres (si le secret défense est levé)
Réaligner les Inc. Inf.

Et mon confrere pourra refaire les dents

@+ Bjc.


1 p3qrc4 - Eugenol
Bjc.

16/03/2009 à 23h35

j'ai oublié

2 ans de contention, désolé Algi!!!


@+ Bjc.


1 p3qrc4 - Eugenol
Bjc.

17/03/2009 à 01h37

il reste encore un Pb. …
pourquoi 31/41 sont en rotation alors qu’elles ne subissent aucune force mésialante

@+ Bjc.

P.S.: je suis rassuré car je sais que l'amibe connait la solution :-)


200106 10150128247663588 709988587 6466236 5598391 n d7mksb - Eugenol
hallboy

17/03/2009 à 01h46

Parcequ'il y a une force mesialante qui les met en rotation?


1 p3qrc4 - Eugenol
Bjc.

17/03/2009 à 02h25

"Parcequ'il y a une force mesialante qui les met en rotation?"

une force, ou des forces, dont la résultante est mésialante, surement
en poussée ou en traction, ou les deux
that is the question?

@+ Bjc.


zazamouk

17/03/2009 à 09h24

Bjc. écrivait:
--------------
> "Parcequ'il y a une force mesialante qui les met en rotation?"
>
> une force, ou des forces, dont la résultante est mésialante, surement
> en poussée ou en traction, ou les deux
> that is the question?
>
> @+ Bjc.
>

une force qui tracterai les 2 incisives centrales????

elle part du frein labiale??


Ylfwcw979cz1jnx9gfqeaxndiuzk - Eugenol
Algi

17/03/2009 à 09h39

Pour ce qui est des incisives, au vu de la tele de profil je dirais que c'est la langue qui pousse.

Il deglutit comment le monsieur?

Concernant les filtres il n'y a pas de secret defense, retourne voir mes leçons d'y a un an à peu prés le gros du truc est expliqué.

Le probleme c'est que "les filtres colorés en 10 leçons par correspondance" ça va pas le faire, le mieux c'est 2 heures en live..... t'as qu'un avion à prendre ou alors tu passes par la mer :0).

ps: la contention: si tu estimes incontournable ok mais normalement aprés 2 ans tu devrais pouvoir la faire sauter et si le "machin truc chouette" qui déplace les incisives est pas résolu ça repartira en sucette.

--
"On a toujours le choix! Mais entre quoi et quoi?
Vas-y boulégue et l'avenir te le dira!"


200106 10150128247663588 709988587 6466236 5598391 n d7mksb - Eugenol
hallboy

17/03/2009 à 09h49

Bjc. écrivait:
--------------
> "Parcequ'il y a une force mesialante qui les met en rotation?"
>
> une force, ou des forces, dont la résultante est mésialante, surement
> en poussée ou en traction, ou les deux
> that is the question?
>
> @+ Bjc.
>


et si c'etait en rotation depuis qu'il est ado?
et si c'etait un effet du vieillissement comme le nez qui s'allonge tout simplement parce que son genome l'ecrit comme ça?


Aucune idée de la validité de mes reponses, par ailleurs assez antagonistes, mais personne n'en fournit de meilleures. et qd bien mm il y en aurait de plus coherentes, cela ne les rendrait pas vraies pour autant.

ça se descelle parce que ce pivot, c'est une toupie dans une baignoire: il y a peut etre une sur occ en pro ou lat, il y a pas de calage post, donc de toute façon, ou tu rend la dent totalement non fonctionelle, ou il y a aura toujours un moment dans la course ou la couronne travaillera en rotation et descellera ce truc que tu te peux pas vraiment faire plus long ou moins rond.


Donc superbond en esperant que ça dure ou qu'on echappe a la fracture et alleger en face.

pour tout le reste c'est une classique reconstruction de grande etendue avec ortho blablabal: reste a savoir si le gars peux se payer tout ça.


Ylfwcw979cz1jnx9gfqeaxndiuzk - Eugenol
Algi

17/03/2009 à 09h56

A se demander pourquoi on se prend la tête, la solution était là et on l'a bétement zappée... sommes nous balots!

http://www.dentalespace.com/dentiste/formation/357-revolutionnez-traitements-vos-patients-bruxomanes.htm

--
"On a toujours le choix! Mais entre quoi et quoi?
Vas-y boulégue et l'avenir te le dira!"


Ylfwcw979cz1jnx9gfqeaxndiuzk - Eugenol
Algi

17/03/2009 à 09h57

Et ça au moins ça doit être scientifique, non?

--
"On a toujours le choix! Mais entre quoi et quoi?
Vas-y boulégue et l'avenir te le dira!"


ameli

17/03/2009 à 10h10

hallboy écrivait:
-----------------
> et si c'etait un effet du vieillissement comme le nez qui s'allonge tout
> simplement

Exactement ce que m'a dit la stripteaseuse du Soluna's quand elle s'est assise sur mes genoux hier soir.


200106 10150128247663588 709988587 6466236 5598391 n d7mksb - Eugenol
hallboy

17/03/2009 à 11h10

le probleme pour cet appendice, n'est plus la longueur, mais la gravité ;)


1 p3qrc4 - Eugenol
Bjc.

17/03/2009 à 11h34

Et ça au moins ça doit être scientifique, non?
http://www.dentalespace.com/dentiste/formation/357-revolutionnez-traitements-vos-patients-bruxomanes.htm

c’est un J.I.G. relooké, il englobe 4 ou 6 dents
pas beaucoup d’intérêt pour les dents,
ailleurs, je ne sais pas



200106 10150128247663588 709988587 6466236 5598391 n d7mksb - Eugenol
hallboy

17/03/2009 à 12h00

il y a juste un truc ( peut-etre interessant ) sur un reflexe au niveau des centrales. faudrait que j'y remette le nez


1234...