Cookie Consent byPrivacyPolicies.coma discuter - Eugenol
isaïe

17/03/2009 à 13h53

Bjc. écrivait:
--------------
> Et ça au moins ça doit être scientifique, non?
> http://www.dentalespace.com/dentiste/formation/357-revolutionnez-traitements-vos-patients-bruxomanes.htm
>
> c’est un J.I.G. relooké, il englobe 4 ou 6 dents
> pas beaucoup d’intérêt pour les dents,
> ailleurs, je ne sais pas
>
>


La bruxomanie trouve son étiologie, toute ou en partie, de façon certaine dans le mental du patient, dans son psy, c'est comme on veut. Les auteurs sont absolument unanimes.
Donc on connaît la cause.

Magritte, réveille-toi...


1 p3qrc4 - Eugenol
Bjc.

17/03/2009 à 14h50

le Pb. c'est que ce patient n'est pas bruxo

manquerait plus que ça!


1 p3qrc4 - Eugenol
Bjc.

17/03/2009 à 17h05

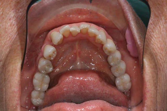
C’est ma préférée
77 ans, un moral d’enfer !

malpositions Inc. Inf. qui déstabilisent son complet du haut

pourquoi, dès qu’on leur fait de la place, 31/41 se mettent à loucher
génotype strabistique

je ne suis pas curieux,
mais je voudrais savoir ...

@+ Bjc.

Img 1 ljys1x - Eugenol
Img 2 ossgqg - Eugenol

Schnappy t0ruxn - Eugenol
EDR

17/03/2009 à 17h19


Microstimulations orales (ALPH) chez l’enfant dyslexique
CURIEUX A LIRE


1 p3qrc4 - Eugenol
Bjc.

17/03/2009 à 21h19

tu peux faire un petit résumé?

merci


Schnappy t0ruxn - Eugenol
EDR

17/03/2009 à 22h51

http://www.l-orthodontiste.com/dossiers/dossier_details.php?rubdosid=3


Mmmm

18/03/2009 à 09h30

jeff2 écrivait:
---------------

> Bjc, tu n'as pas encore compris, que c'est surtout à la base une hypothèse, qui
> si elle est vérifiée scientifiquement, fermera la bouche à beaucoup de monde et
> surtout permettra de mettre en place des techniques préventives pour éviter le
> genre de cas clinique que tu présentes
>
> Bref, tu l'as bien et ma douce aussi, les orthos espérent fortement que cette
> hypothèse soit fausse, sinon, ils n'auront plus de boulot


Ha non! je trouve ça plutôt enervant de bosser à l'aveugle...alors si votre solution est bonne je signe...;et je change de métier ;-)


Amibien

18/03/2009 à 18h06

Bjc. écrivait:
--------------
> le Pb. c'est que ce patient n'est pas bruxo
>
> manquerait plus que ça!





Comment peux-tu affirmer ce genre de chose ? Tu passes tes nuits à ses côtés ? Tu n'as pas mesuré non plus la visco-élasticité de ses élévateurs.


Amibien

18/03/2009 à 18h08

Bjc. écrivait:
--------------
> C’est ma préférée
> 77 ans, un moral d’enfer !
>
> malpositions Inc. Inf. qui déstabilisent son complet du haut
>
> pourquoi, dès qu’on leur fait de la place, 31/41 se mettent à loucher
> génotype strabistique
>
> je ne suis pas curieux,
> mais je voudrais savoir ...
>
> @+ Bjc.
>





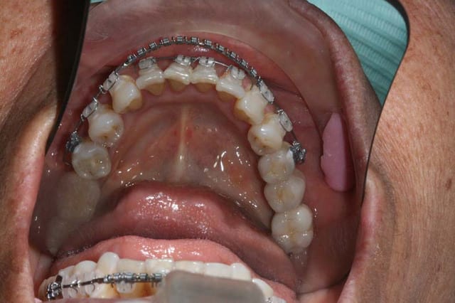
Une main gauche entiére de décalage annulée par 21,24,25. Regarde bien les pointes des cuspides vestibulaires en 34, 35...


1 p3qrc4 - Eugenol
Bjc.

18/03/2009 à 20h51

Ces facettes d’usure datent d’avant son complet (7 ans), et peut etre m d’avant son stellite

tu crois que ça vaut le coup de faire des mesures ?
parceque taper sur 21/24/25 ça va etre difficile


@+ Bjc.


Amibien

19/03/2009 à 12h34

Bjc. écrivait:
--------------
> Ces facettes d’usure datent d’avant son complet (7 ans), et peut etre m d’avant
> son stellite
>
> tu crois que ça vaut le coup de faire des mesures ?
> parceque taper sur 21/24/25 ça va etre difficile
>
>
> @+ Bjc.
>



Si tu avais suivi au lieu de mater les filles depuis le fond de la classe (ta place est bien là-bas près du radiateur ?) tu aurais déjà enregistré que tu peux percuter la zone ostéo-muqueuse qui contenait autrefois la dent concernée. Il faut juste faire un petit effort de mémoire et d'imagination pour se souvenir où se trouvaient 21,24 et 25. Tu y arriveras seul ou dois-je faire un dessin ? Pour l'imagination je te fais confiance, pour la mémoire je ne sais pas... Si tu ne t'en sors pas appelle Trismus. (:-))


Ylfwcw979cz1jnx9gfqeaxndiuzk - Eugenol
Algi

20/03/2009 à 19h09

Mercredi j'ai equilibré une patiente édentée, d'abord sans son complet et puis ensuite avec.
--
"On a toujours le choix! Mais entre quoi et quoi?
Vas-y boulégue et l'avenir te le dira!"


Humb

22/03/2009 à 22h44

Moi également,en stimulant les zônes choisies sous le complet et en le replaçant,j'ai presque autant d'efficacité qu'avec les dents en place:3 séances après les régulations étaient stables,et ne provoquaient plus de bras court.


1 p3qrc4 - Eugenol
Bjc.

24/03/2009 à 19h05

cher humb,

j'ai pas compris ton objectif de traitement


Amibien

24/03/2009 à 22h53

Bjc. écrivait:
--------------
> cher humb,
>
> j'ai pas compris ton objectif de traitement



Il parlait de lever les relâchements musculaires induits par les évocations mentales en percutant du doigt trois zones ostéo-muqueuses précises chez l'édenté total maxillaire entre deux cycles de déglutition.

Il s'agit d'un véritable reset immédiat et définitif.

L'objectif étant de retrouver une fluidité physiologique des muscles élévateurs de la mandibule, pour ne parler que de ça.

Autrement dit, cela serait bien que tu te documentes plus profondément sur le sujet de manière à pouvoir suivre le débat de manière constructive. Ce dont nous parlons ici est élémentaire.


Humb

24/03/2009 à 23h19

Mon cher Watson


Amibien

24/03/2009 à 23h23

Humb écrivait:
--------------
Mon cher Watson


N'est-il pas ? Franchement je trouve aussi que le fossé se creuse...


1 p3qrc4 - Eugenol
Bjc.

24/03/2009 à 23h49

"une fluidité physiologique des muscles"

comme le fluide magnétique?
il faut que je me documente


Cuisinier2 vnbbxx - Eugenol
jeff2

25/03/2009 à 00h34

j'espère que tu comprends le russe..


1 p3qrc4 - Eugenol
Bjc.

25/03/2009 à 01h25

"j'espère que tu comprends le russe.."

c'est la ruse?


Cuisinier2 vnbbxx - Eugenol
jeff2

25/03/2009 à 01h41

non, les quelques articles intéressants sont en russe.


1 p3qrc4 - Eugenol
Bjc.

25/03/2009 à 03h38

il n'y a rien en chinois?


1 eugenol dmj5np - Eugenol
Dancha

25/03/2009 à 09h45

Algi écrivait:
--------------
> Mercredi j'ai équilibré une patiente édentée, d'abord sans son complet et puis
> ensuite avec.

Humb écrivait:
--------------
> Moi également, en stimulant les zones choisies sous le complet et en le
> replaçant, j’ai presque autant d'efficacité qu'avec les dents en place:3 séances…

Cela signifierait dont tout naturellement que ce sont les zones anatomiques qui sont concernées et non une dent spécifique. N’est-il pas chers Holmes ?

Daniel


1 p3qrc4 - Eugenol
Bjc.

25/03/2009 à 13h35

dans ces cas, l'objectif de traitement est:

équilibrer un complet (en tapotant sur la gencive)?


isaïe

25/03/2009 à 14h04

En bouche, l'équilibre est un concept qu'il vaut mieux oublier.
Comment fonctionne le patient, comment est sa musculature, se mettra-t-il en dysfonctionnement quand sa position mandibulaire changera etc... ?
Aligner les dents n'est qu'une partie de la solution.
La détente des rétracteurs et des élévateurs de la mdb, des releveurs de la lèvre, de la langue... fait aussi partie de la solution. De même que l'élimination de la somatisation des inscriptions mentales.
La prise en compte de tous ces éléments dans le cadre d'une dynamique est plus efficace que l'obtention d'un schéma occlusal arbitrairement, dogmatiquement, déterminé. Ou d'un bel alignement.


12345...