Cookie Consent byPrivacyPolicies.comPrécision de la chirurgie implantaire guidée - Eugenol
Logo m4n3gc - Eugenol
drmarcus

20/12/2012 à 16h21

posit écrivait:
---------------
> En fait il n’y a que mac et toi qui ne touchés rien.

Tu "materialise" bien les choses .....Ok je sors!

--
"La seule chose promise d'avance à l'échec, c'est celle que l'on ne tente pas" Paul Emile VICTOR


Casque beotien a3jo39 - Eugenol
beotien

21/12/2012 à 11h19

drmarcus écrivait:
------------------
> posit écrivait:
> ---------------
> > drmarcus écrivait:
> > ------------------
> > > maintenant (eh je veux une com Posit sur le principe si tout le monde s'y
> > > met.....)
> >
> > Combien!
> >
> >
> > moins que celle de béotien et pluton j'espère !!!
>
> QUOI eux ils touchent et pas moi........SCANDALLLLE :-))))


Pour la com c'est normal il faut aider "les ptits implantos de campagne"

Posit me propose de faire les 3 cas en 1 jour 1/2, mais je pense que cela fait trop pour mon assistante


Logo m4n3gc - Eugenol
drmarcus

21/12/2012 à 12h56

beotien écrivait:
-----------------
>
> Posit me propose de faire les 3 cas en 1 jour 1/2, mais je pense que cela fait
> trop pour mon assistante

Bon courage.........moi 1/jour me suffit... je suis trop vieux pour ces conneries! :-)))) Gamin va!

MDR


--
"La seule chose promise d'avance à l'échec, c'est celle que l'on ne tente pas" Paul Emile VICTOR


Utilisateur banni

21/12/2012 à 15h59

.

Image24 deefnb - Eugenol
Image23 lstc16 - Eugenol

Casque beotien a3jo39 - Eugenol
beotien

12/02/2013 à 18h36

drmarcus écrivait:
------------------
> beotien écrivait:
> -----------------
> >
> > Posit me propose de faire les 3 cas en 1 jour 1/2, mais je pense que cela fait
> > trop pour mon assistante
>
> Bon courage.........moi 1/jour me suffit... je suis trop vieux pour ces
> conneries! :-)))) Gamin va!

Tu as raison et comme en plus je n'ai pas une forme extraordinaire en ce moment, sur 3 jours ce sera mieux!
Les dates sont bloquées,ya+k!


Utilisateur banni

12/02/2013 à 19h00

1

Image7 tw3xuc - Eugenol

Logo m4n3gc - Eugenol
drmarcus

12/02/2013 à 20h17


> ------------------
> > beotien écrivait:
> > -----------------

>
je n'ai pas une forme extraordinaire en ce moment!

?????????
On se Mp ou on se tél? Tu veux bien?


--
"La seule chose promise d'avance à l'échec, c'est celle que l'on ne tente pas" Paul Emile VICTOR


Utilisateur banni

13/02/2013 à 14h11

2

Image1 dbvqhr - Eugenol

Casque beotien a3jo39 - Eugenol
beotien

13/02/2013 à 23h11

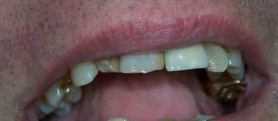
cas 1 cool mais ROG à la truelle!
cas 2 l'ex° de la 13 sans casse n'est pas gagné
et es tu certain pour l'implant 8? mettre un 14mm dans une cloison de sinus je ne suis pas pxav

je t'envoie le scan du 3 demain


Utilisateur banni

15/02/2013 à 20h19

3

Image6 x9j7yf - Eugenol

Casque beotien a3jo39 - Eugenol
beotien

19/02/2013 à 14h36

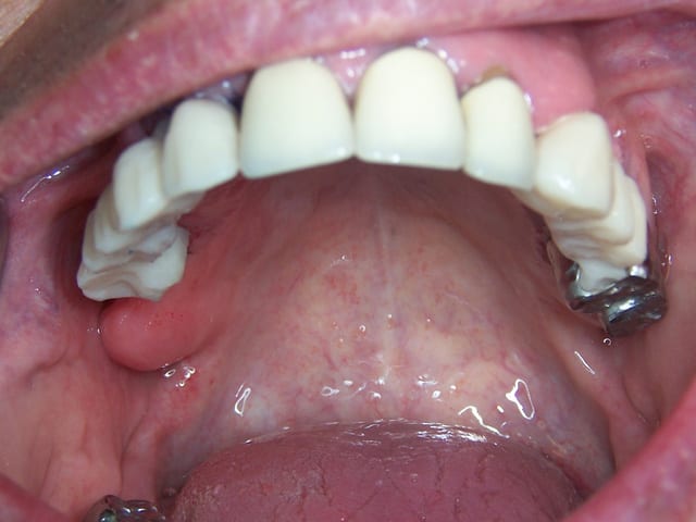
Celui la est très moyen au niveau osseux

22 implants au total et pas une seule vis!
Pluton 2 max stab, tu vois cela m'arrive aussi d'en mettre!


Casque beotien a3jo39 - Eugenol
beotien

13/03/2013 à 21h57

Voila c'est fait!
Je laisse Posit mettre les photos des cas. Son bébé a encore franchi un cap
Ce n'est pas réalisable avec toutes les marques d'implants

0 vis et 0..... (A vous de deviner) , pour moi c'est le summum. Bien sur cela n'engage que moi


Utilisateur banni

14/03/2013 à 08h18

beotien écrivait:
-----------------

> 0 vis et 0..... (A vous de deviner)


impossible de joindre les photos sur cette conexcion, je le ferai à mon retour à MONTASTRUC LA CONSEILLERE


Logo m4n3gc - Eugenol
drmarcus

14/03/2013 à 10h28

beotien écrivait:
-----------------

> Ce n'est pas réalisable avec toutes les marques d'implants

Si la réponse à la deuxième question est "ciment de scellement" alors si c'est possible avec d'autres systèmes. C'est normalement non système dépendant. C'est Posit qui est réticent et il veut que je commence par une mandibule...........Je ne suis pas contre par ailleurs vu les enjeux financiers. Actuellement je suis en phase de test et d'apprentissage, histoire de bien poser les indications pour être prévisible et reproductible.


> 0 vis et 0..... (A vous de deviner) ciment de scellement
Facile pour moi, si ce à quoi tu fais allusion, car la mise au point du protocole que j'ai réalisé m'a pris du temps... :-))) Déjà 3 au compteur, au départ il a fallu que je pousse un peu Posit.
D'ailleurs il m'a demandé de communiquer sur ce sujet au DU de Saint Antoine, et je l'en remercie.


--
"La seule chose promise d'avance à l'échec, c'est celle que l'on ne tente pas" Paul Emile VICTOR


Casque beotien a3jo39 - Eugenol
beotien

14/03/2013 à 16h59

drmarcus écrivait:
------------------
> beotien écrivait:
> -----------------
>
> > Ce n'est pas réalisable avec toutes les marques d'implants
>
> Si la réponse à la deuxième question est "ciment de scellement" alors si c'est
> possible avec d'autres systèmes. C'est normalement non système dépendant. C'est
> Posit qui est réticent et il veut que je commence par une mandibule...........Je
> ne suis pas contre par ailleurs vu les enjeux financiers. Actuellement je suis
> en phase de test et d'apprentissage, histoire de bien poser les indications pour
> être prévisible et reproductible.
>
>
> > 0 vis et 0..... (A vous de deviner) ciment de scellement
> Facile pour moi, si ce à quoi tu fais allusion, car la mise au point du
> protocole que j'ai réalisé m'a pris du temps... :-))) Déjà 3 au compteur, au
> départ il a fallu que je pousse un peu Posit.
> D'ailleurs il m'a demandé de communiquer sur ce sujet au DU de Saint Antoine, et
> je l'en remercie.


J'ai dit que ce n'était pas réalisable avec TOUTES les marques d'implants.
Pour moi changer de marque me gonfle donc n'ayant que peu de connaissance des autres systèmes....
Pluton nous dira avec lesquels c'est possible

AVEC des faux moignons indexés quelque soit le Xgone, même si tout est possible!!!!!!!!!!!!!!!!galère assurée

Qui de toi ou Posit a élaboré le protocole? vous appréciant tous les deux...

A mon petit niveau je constate simplement que j'y passe une heure de moins avec un résultat en concordance avec ce que je voulais obtenir


Logo m4n3gc - Eugenol
drmarcus

14/03/2013 à 18h27



> > beotien écrivait:
> > -----------------
> >

>
> AVEC des faux moignons indexés quelque soit le Xgone, même si tout est
> possible!!!!!!!!!!!!!!!!galère assurée


Pour ça on verra par la suite


>
> Qui de toi ou Posit a élaboré le protocole? vous appréciant tous les deux...

Je dirai que c'est moi pour l'idée, surtout et essentiellement pour le ciment de scellement, Posit flippait à cette idée....que je ne lui ai révélé que le jour de la première chir. du genre.
Coté pratique c'est Posit qui réalise et a finalisé les copyings.

>
> A mon petit niveau je constate simplement que j'y passe une heure de moins avec
> un résultat en concordance avec ce que je voulais obtenir
>
Mais oui tu as raison cela fait gagné un temps énorme. En terme d'économie de santé j'espère pouvoir faire plus d'ici peu.
Content que ça te plaise.

--
"La seule chose promise d'avance à l'échec, c'est celle que l'on ne tente pas" Paul Emile VICTOR


Logo m4n3gc - Eugenol
drmarcus

14/03/2013 à 18h27


;-)


Logo m4n3gc - Eugenol
drmarcus

14/03/2013 à 18h27

voila quand on poste depuis un smart désolé


Je vais en profiter pour dire que de toute façon ce protocole n'est possible qu'avec la capacité technique et intellectuelle de Posit.
Le système implantaire utilisé peut toutefois avoir des limites et dans ce cas là il ne faut pas demandé l'impossible à Posit.

--
"La seule chose promise d'avance à l'échec, c'est celle que l'on ne tente pas" Paul Emile VICTOR


Mario ycg44a - Eugenol
Mario180

14/03/2013 à 19h02

ben il nous manque plus que des illustrations pour piger de quoi vous parlez...


Utilisateur banni

15/03/2013 à 10h26

juilliet 2009 bridges provisoires sur ANKYLOS mise en charge immédiate sans scellement.
Chirurgie à COUFOULEUX, préparation prothétique et dispositif de forage à MONTASTRUC LA CONSEILLERE, dans notre belle campagne de France.

09 07 01positdental  061 cpkfhz - Eugenol
09 07 01positdental  047 mh58k3 - Eugenol

Utilisateur banni

15/03/2013 à 10h45

2010 bridge provisoire sur ANKYLOS, extaction, mise en charge immédiate bridge provisoire à armature métal sans scellement en 1 seul temps chiurgical.
Chirurgie à PAMIERS, préparation prothétique et dispositif de forage à MONTASTRUC LA CONSEILLERE, dans notre belle campagne de France.

2010 mcipe positdental 196 ddp6ig - Eugenol
2010 mci   positdental yhem4k - Eugenol
2010 mci  positdental 004 iuoumk - Eugenol

Utilisateur banni

15/03/2013 à 12h18

1

Image7 fiytvv - Eugenol
Copie de 2013 03 13 positdental 002 zsx5tz - Eugenol
2013 03 13 positdental 068 irk0iw - Eugenol
Copie de 2013 03 13 positdental 075 tsjaru - Eugenol

Utilisateur banni

15/03/2013 à 12h22

2

Image1 s0afe4 - Eugenol
2013 03 12 positdental 075 q6v8jd - Eugenol
Copie de 2013 03 12 positdental 078 igvcw6 - Eugenol

Utilisateur banni

15/03/2013 à 12h32

3

3 hf5wvw - Eugenol
100 0867 jb8z4x - Eugenol
Image6 ehyeju - Eugenol
100 0870 ktlhfr - Eugenol

Utilisateur banni

15/03/2013 à 14h57

La taverne au Pêcheur
Mme RICOUL Armanda
La Fleuriais
35620 ERCE-EN-LAMMEE
Tous les mercredis
Menu :
Entrée
Tète de veau à l’ancienne
Plateau de fromage
Dessert
Cidre à volonté
Café
12,60€




Notre belle campagne de France.


N° Tel en MP

2013 03 13 positdental 079 wdrfnv - Eugenol
2013 03 13 positdental 077 yqlzwu - Eugenol
2013 03 13 positdental 078 o3uzxz - Eugenol
Img00069 20130313 1345 oopdnk - Eugenol