Cookie Consent byPrivacyPolicies.comLes données acquises de la science - Eugenol

Les données acquises de la science

Nouveau image bitmap fz77zh - Eugenol
Sethef

28/11/2013 à 22h59

chipoundine écrivait:
---------------------
> Il faut prendre les choses à la cool...on ne peut pas faire des onlays chez
> tous les patients....c'est comme les implants , quand on en fait on est content.
>
> Je suis passé de 0 à 15 inlays par mois, séance longues, bonne rémunération ,
> stress en moins , et impression de faire des choses bien pour les patients.
>
> D'ailleurs ces derniers hallucinent complètement sur tout le dispositif mis en
> place, et ils ont vraiment l'impression d'en avoir pour leur argent. C'est que
> du positif.

Ca doit être pour ça que j'en fais moins, comme de toutes manières le dispositif est le même pour restau directes ou indirectes, ça ne les surprend pas vraiment. Tant pis, je ne suis pas un bon vendeur.


Driller

28/11/2013 à 23h00

pgc écrivait:
-------------
> That's what we need. A fresh naive look on the french anomaly."The king is
> naked". The queen is drunk. The prince is gay.

ROFL

I don't know what you've been drinking PGC but I want some!

@PointG, I'm glad you can understand my English, it's getting worse and worse. But yeah, the secu is hard to understand, a bit like les impots but that's another story!


003 penrd2 - Eugenol
Cingulum

28/11/2013 à 23h07

Bjorn, tu parles beaucoup,
mais expliques nous un peu ce que tu fais dans ton cab, montres nous des cas cliniques...
au lieu de toujours chercher la contradiction, donnes nous ton point de vue...

--
Dr Cingulum
-----Ancien interné----
----Attaché à l'apex----
http://www.clinic-all.fr/ formation par passion

Technique f5k4aj - Eugenol

RépondreCiter
Nouveau image bitmap fz77zh - Eugenol
Sethef

28/11/2013 à 23h11

Cingulum, qui met tout le monde d'accord. Trop facile.


003 penrd2 - Eugenol
Cingulum

28/11/2013 à 23h29

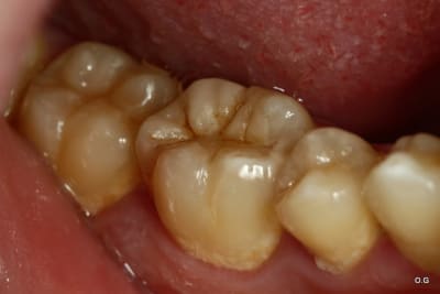
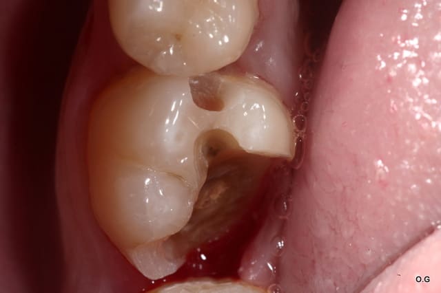
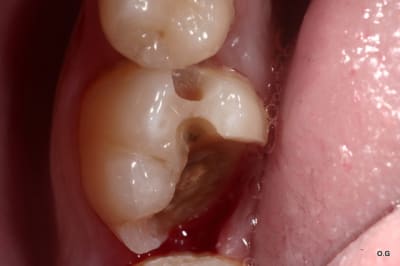
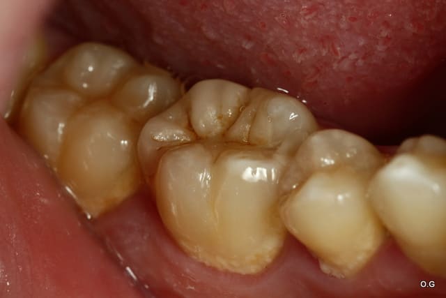
Onlay emax à 5 ans... contrôle la semaine dernière...
Dans cette situation, que donnerait un composite ?

--
Dr Cingulum
-----Ancien interné----
----Attaché à l'apex----
http://www.clinic-all.fr/ formation par passion

 mg 5091 rijxb8 - Eugenol
Img 7865 rjs3gn - Eugenol

chipoundine

28/11/2013 à 23h40

tiens c'est bizarre , sur la dernière photo de cingulum (magnifique travail d'ailleurs) , la dent est toujours sur l'arcade alors que le joint semble être juxta voir sous gingival. Il m'a semblé avoir lu plus haut qu'un joint en compo ça se carie automatiquement au bout de cinq ans....

Allez cingulum , arrête de nous faire marcher, fais peter la radio avec la reprise de carie, l'endo, l'IC et la CCM!


uɹöɾq

28/11/2013 à 23h51

Cingulum écrivait:
------------------
> Bjorn, tu parles beaucoup,
> mais expliques nous un peu ce que tu fais dans ton cab, montres nous des cas
> cliniques...
> au lieu de toujours chercher la contradiction, donnes nous ton point de vue...
>
> --


J'écris ce que je veux quand je veux. ;-)

Je ne vois aucun rapport entre la démonstration de la maîtrise d'un acte manuel associée à une grande maîtrise de la photographie, et la réflexion qu'on peut avoir sur la pérennité et les indications de certains actes.
Mais peut-être en vois-tu un, te sentant obligé de nous poster une petite photo de plus? ;-)

Ça va, la formation est remplie?

Ps: tu as beaucoup progressé en orthographe mais par pitié, enlève-moi ces S de tes trois verbes à l'impératif! ;-)


uɹöɾq

29/11/2013 à 00h10

Cingulum écrivait:
------------------
> Onlay emax à 5 ans... contrôle la semaine dernière...
> Dans cette situation, que donnerait un composite ?
>

Ce n'était pas l'indication d'un composite direct.

Je crois que le sujet qui nous occupe ici est de savoir si tout passer au taille-crayons, faire des endos sur des dents asymptomatiques, et planter des pieux métalliques dans les racines assure une moins bonne longévité moyenne aux dents traitées que de faire de gros onlays en gardant la pulpe vivante.

Y a-t-il des études VALIDES STATISTIQUEMENT qui traitent de ce sujet?
Je n'en ai pas trouvées.
On peut avoir l'intuition que les onlays sont préférables mais cela reste une intuition.
Les apparentes évidences peuvent s' avérer infondées après passage au crible d'une étude...


Voir les photos de tes cas est toujours un plaisir, mais une photo est-elle une réponse à une question de nature scientifique?

Bref on pourra en discuter des heures, tout le monde peut avoir un avis en l'absence de référentiel établi.
L'important étant de faire marcher notre business, quelle que soit la voie choisie. ;-)


youn

29/11/2013 à 00h14

Cingulum écrivait:
------------------
> Onlay emax à 5 ans... contrôle la semaine dernière...
> Dans cette situation, que donnerait un composite ?
>
> --
> Dr Cingulum
> -----Ancien interné----
> ----Attaché à l'apex----
> http://www.clinic-all.fr/ formation par passion

C'est très beau...

Mais je dois admettre que dans ce cas... Des IC-CCM aux limites un peu sous-gingivales qui tiennent 30 ans on en voit aussi. Dans ce cas précis je ne suis pas certain que ce soit préférable (collage), que se passera-t-il si reprise de carie? La limite sera très certainement trop sous gingivale et la couronne ne sera probablement pas réalisable (même si c'est au bout de 15 ans). Vu le reste à charge supérieur et la forte probabilité d'avoir à extraire en cas d'échec, ne valait-il pas mieux utiliser une technique pour laquelle on a énormément de recul?

Sinon je suis fan des collages puisque effectivement même si échec à 10 ans il y a on pourra à ce moment-là sortir l'artillerie lourde.

Et quels livres (anglais de préférence) font référence, à part Magne dont le bouquin commence à dater?


uɹöɾq

29/11/2013 à 00h21

youn écrivait:
--------------

>
> Mais je dois admettre que dans ce cas... Des IC-CCM aux limites un peu
> sous-gingivales qui tiennent 30 ans on en voit aussi. Dans ce cas précis je ne
> suis pas certain que ce soit préférable (collage), que se passera-t-il si
> reprise de carie? La limite sera très certainement trop sous gingivale et la
> couronne ne sera probablement pas réalisable (même si c'est au bout de 15 ans).
> Vu le reste à charge supérieur et la forte probabilité d'avoir à extraire en cas
> d'échec, ne valait-il pas mieux utiliser une technique pour laquelle on a
> énormément de recul?
>

Le reste à charge, c'est un autre problème.
Mais PERSONNE ne pourra répondre à ta question, même pas Cingulum (c'est dire!).


youn

29/11/2013 à 00h25

uɹöɾq écrivait:
---------------

> Le reste à charge, c'est un autre problème.
> Mais PERSONNE ne pourra répondre à ta question, même pas Cingulum (c'est dire!).

Oui, sauf que là pour moi les deux traitements se valent, donc à traitements égaux le portefeuille fait la décision.


chipoundine

29/11/2013 à 00h27

Donc en gros quand tu fais une CCM à un patient , tu lui dis que c'est pour trente ans ! si c'est le cas fais gaffe au retour de bâton...

Quand aux études comparatives bjorn, je me demande vraiment comment tu peux scientifiquement comparer , ne serait-ce que 2 couronnes ou ce que tu veuxsur deux patients différents . il y trop de biais, l'âge, l'occlusion, la musculature, les parafonctions, le coca, le nutella, le kung fu......bref je n'y crois pas trop....

L'intuition, c'est subjectif, mais cela prend en compte le vécu du praticien , donc ses échecs....et c'est les echecs qui nous font avancer ou changer de manière d'aborder les choses.


uɹöɾq

29/11/2013 à 00h31

youn écrivait:
--------------
>
> Oui, sauf que là pour moi les deux traitements se valent,

Pour toi, oui.
Pour d'autres non. Par exemple Cingulum ne le pense pas.

Et tu auras beau dégainer une photo d'une dent plus belle que la sienne, cela ne signifiera pas que tu as raison. ;-)


Marque a3 orange fyvhyq - Eugenol
Marc Apap

29/11/2013 à 00h32

Youn, les caries ne reprennent pas n'importe où ni dans n'importe quelles conditions. Cingulum n'a probablement pas fait ce collage au hasard dans une bouche à haut risque carieux. Pourquoi avoir une reprise de carie dans ce cas, et en quoi la couronne ne le permettrait pas ? Si la restauration est bien adaptée à la dent, il n'y a pas plus de raison d'avoir une carie secondaire avec un onlay qu'avec une couronne. Ce qui me préoccupe plus dans les cas d'onlay, c'est la carie possible ailleurs c'est à dire sur une autre face de la dent, la perte d'étanchéité de la restauration du fait de la situation juxta gingivale avec non pas carie (rare) mais atteinte pulpaire sournoise, et la différence de teinte entre la dent et la restauration dans le temps, accompagnée d'une dyscoloration inesthétique du joint périphérique. Dans un cas comme celui-là, s'il était décidé de réaliser une restauration partielle, je ferai d'abord une importante reconstitution en composite et un onlay ne représentant que l'équivalent d'une coquille d'émail suffisamment épaisse mais pas qui remplisse entièrement la cavité. J'ai l'impression que dans ce cas, je maîtriserais mieux l'étanchéité et le collage périphérique, surtout en utilisant un composite photo plutôt qu'à prise duale.


youn

29/11/2013 à 00h37

chipoundine écrivait:
---------------------
> Donc en gros quand tu fais une CCM à un patient , tu lui dis que c'est pour
> trente ans ! si c'est le cas fais gaffe au retour de bâton...

Non je disais qu'on a des exemples, et pas qu'un! Donc une photo d'un soin qui dure 5 ans même sous gingival ne prouve pas grand chose scientifiquement.

> Quand aux études comparatives bjorn, je me demande vraiment comment tu peux
> scientifiquement comparer , ne serait-ce que 2 couronnes ou ce que tu veuxsur
> deux patients différents . il y trop de biais, l'âge, l'occlusion, la
> musculature, les parafonctions, le coca, le nutella, le kung fu......bref je n'y
> crois pas trop....

Ben la réponse est simple, statistiquement.

> L'intuition, c'est subjectif, mais cela prend en compte le vécu du praticien ,
> donc ses échecs....et c'est les echecs qui nous font avancer ou changer de
> manière d'aborder les choses.

Oui mais c'est pas scientifique.

Je suis convaincu, je pense que la plupart du temps le collage est le mieux, mais admettre que c'est basé sur des présomptions n'est pas une mauvaise idée. Scientifiquement les études mécaniques semblent aller dans votre sens, mais sans recul on ne peut pas être affirmatif. Mais selon la logique j'y crois aussi et je souhaite m'y mettre. En espérant qu'aucun paramètre inconnu ne vienne la contredire.


uɹöɾq

29/11/2013 à 00h38

chipoundine écrivait:
---------------------
>
> Quand aux études comparatives bjorn, je me demande vraiment comment tu peux
> scientifiquement comparer , ne serait-ce que 2 couronnes ou ce que tu veuxsur
> deux patients différents . il y trop de biais, l'âge, l'occlusion, la
> musculature, les parafonctions, le coca, le nutella, le kung fu......bref je n'y
> crois pas trop....
>

Alors pourquoi nous as-tu balancé le lien d'un blog citant une étude complètement bidon pour appuyer ton avis en faveur des gros onlays vs les ccm? ;-)


youn

29/11/2013 à 00h40

Marc Apap écrivait:
-------------------
> Youn, les caries ne reprennent pas n'importe où ni dans n'importe quelles
> conditions. Cingulum n'a probablement pas fait ce collage au hasard dans une
> bouche à haut risque carieux. Pourquoi avoir une reprise de carie dans ce cas,
> et en quoi la couronne ne le permettrait pas ? Si la restauration est bien
> adaptée à la dent, il n'y a pas plus de raison d'avoir une carie secondaire avec
> un onlay qu'avec une couronne.

Je dis justement que pour moi ca se vaut, et que dans ce cas en cas de reprise le traitement probable sera l'extraction. Je suis d'accord avec toi.

Ce qui me préoccupe plus dans les cas d'onlay,
> c'est la carie possible ailleurs c'est à dire sur une autre face de la dent, la
> perte d'étanchéité de la restauration du fait de la situation juxta gingivale
> avec non pas carie (rare) mais atteinte pulpaire sournoise, et la différence de
> teinte entre la dent et la restauration dans le temps, accompagnée d'une
> dyscoloration inesthétique du joint périphérique. Dans un cas comme celui-là,
> s'il était décidé de réaliser une restauration partielle, je ferai d'abord une
> importante reconstitution en composite et un onlay ne représentant que
> l'équivalent d'une coquille d'émail suffisamment épaisse mais pas qui remplisse
> entièrement la cavité. J'ai l'impression que dans ce cas, je maîtriserais mieux
> l'étanchéité et le collage périphérique, surtout en utilisant un composite photo
> plutôt qu'à prise duale.

Ca je sais pas, refaire une cuspide entière en compo, je ne suis pas assez bon/confiant, je préfère que le labo la fasse.


youn

29/11/2013 à 00h50

uɹöɾq écrivait:
---------------
> youn écrivait:
> --------------
> >
> > Oui, sauf que là pour moi les deux traitements se valent,
>
> Pour toi, oui.
> Pour d'autres non. Par exemple Cingulum ne le pense pas.
>
> Et tu auras beau dégainer une photo d'une dent plus belle que la sienne, cela ne
> signifiera pas que tu as raison. ;-)

Pas de risque, j'ai pas le niveau (ni photographique ni technique).


chipoundine

29/11/2013 à 00h53

Je crois que tu te trompe bjorn ce n'est pas moi, je crois que tu parle de mac francis.

Je n'ai rien contre les études, il faut prendre beauuuucoup de recul c'est tout... s'il fallait prendre pour argent comptant tout les chiffres qu'on nous balance, plus personne n'aurait de rides avec les crèmes, plus de caries avec les dentifrices , hollande va inverser la courbe du chomage fin 2013.......Tu sais très bien qu'on peut faire dire ce que l'on veut à une étude.

La seule étude dont je suis absolument sur, c'est celle de la FDJ, 100% des gagnants ont tenté leur chance!


Marque a3 orange fyvhyq - Eugenol
Marc Apap

29/11/2013 à 00h55

youn, je ne parlais pas de faire une cuspide en compo, mais de remplir la cavité de composite, et puis de faire une préparation périphérique de telle sorte que l'onlay en céramique ne forme qu'une coque qui vient se placer par dessus la restauration en composite sous jacente.


youn

29/11/2013 à 01h18

Marc Apap écrivait:
-------------------
> youn, je ne parlais pas de faire une cuspide en compo, mais de remplir la cavité
> de composite, et puis de faire une préparation périphérique de telle sorte que
> l'onlay en céramique ne forme qu'une coque qui vient se placer par dessus la
> restauration en composite sous jacente.

Ah au temps pour moi. C'est vrai que ça me surprenait un peu, hehehe.

Mais je ne serais pas serein non plus tu me diras, l'angle de la fracture (je suppose) n'est pas du tout perpendiculaire ( je dirais environ 45-60° je dirais par rapport à l'axe de la dent d'après la photo)à l'axe de la dent, j'avoue que j'aurais peur mécaniquement sur une molaire. Ca me ferais flipper de coller surtout en infra gingival je pense. Mais je ne demande qu'à changer d'avis.

Pour ma question sur les bouquins, quelqu'un a des ouvrages de références sérieux?


Blocperso talon jer3sl - Eugenol
mrquentin

29/11/2013 à 17h40

sympa le boulot chipoundine;
perso, sur la 24 j'aurais abaissé les limites périphériques pour faire une couronne collée Emax (meme prix pour toi, meilleur remboursement du patient, meilleur longuévité que l'onlay à plat car opposition de parois, collage sous digue toujours posible), tu aurais juste à poser la digue unitairement.
bon courage et continue dans le collage.


Grueavatar nptrc9 - Eugenol
Le Choixpeau magique

29/11/2013 à 19h27

Marc Apap écrivait:
-------------------
> Elles ne sont pas acquises, ces données, elles sont livrées en pâture à des
> dentistes avide de nouveauté, avec un recul clinique très limité.

C'était le sens de mon propos.


Driller

29/11/2013 à 19h29

Est ce que on avait parlé du destruction du matière dentaire en utilisant les inlaycores?

Il faut bien baisser la niveau de la dent pour ne pas finir avec un parois trop fine pour l'empreinte. Avec un core et buildup tu t'en fous tu taille la dent dans la façon idéal sans faire trop de dégâts-meilleur pour la longterms?


youn

30/11/2013 à 01h44

Ben alors j'ai un cas là justement : je fais quoi? Onlay ou Couronne?

Dent vivante, CVI renforcé après la taille en coiffage attente de 3 semaines avec pansement pour être sûr, RAS dent toujours vivante quand je l'ai revu aujourd'hui.

Aujourd'hui : retouche du CVI puis (première photo au stade du mordançage) compo pour le core build-up, pansement.


Les photos sont pas top mais pour le moment je fais avec ce que j'avais sous la main...

Qu'est-ce que je fais pour la suite du coup? Onlay ou Couronne?

PS. On ne voit pas bien la différence à la radio avant-après... Désolé.

Perso je penche pour la couronne...

Dent vivante 1 estxzw - Eugenol
Dent vivante 2 m7b7nh - Eugenol
Photo 1 gvoule - Eugenol
Photo 2 jkxv6f - Eugenol
Photo 3 hq18dg - Eugenol
Photo 4 debtyl - Eugenol
Photo 5 i84zir - Eugenol