Cookie Consent byPrivacyPolicies.comSimplant: Is the Best? - Eugenol

Simplant: Is the Best?

Casque beotien a3jo39 - Eugenol
beotien

03/06/2014 à 09h45

vava écrivait:
--------------
> Béo, tu réalise tes guides et tu fais appel à positdental pour qu’il fabrique
> ses guides. Dans quels cas optes-tu pour la technologie de posit ?

Quand je fais des EMCI totale sur 6 à 8 implants avec appui osseux
je pose les implants puis les piliers qui sont l’équivalent de couronnes télescopiques, et le bridge à armature métallique sans scellement ni vis, dans la même séance


Amibien

06/06/2014 à 12h24

vava écrivait:
--------------

> Amibien les illusions nous sont indispensables pour que vivent nos croyances,
> drmarcus utilise un guide chirurgical pour réaliser une MCI, peux-tu présenter
> une MCI comme le fait marcus sans passer par une guide si non t’est Amimal ?

1 sans guide panoramique epx6ds - Eugenol

Logo m4n3gc - Eugenol
drmarcus

06/06/2014 à 13h03

Bravo amibien tu arrives à faire ça tout seul. ;-))

Non sans blague allez je fais bataille.

Un avec bridge immédiat c'est plus marrant et fonctionnel de suite. En haut j'ai fait comme toi et sans guide radio.
Non ce que l'on veut voir et en photo c'est une MCI ou EMCI complète ou partielle de plus de 3 dents fonctionnelle et esthétique. Le reste on connait et on peut faire sans guide aucun!

Je précise qu'avec cette technique j'ai pu adapter le même principe que Beotien à un système vissé.

Ce cas est visible sur le site de Positdental.

--
"La seule chose promise d'avance à l'échec, c'est celle que l'on ne tente pas" Paul Emile VICTOR

Bataille mwhepo - Eugenol

Amibien

06/06/2014 à 13h29

84 ans
sous anticoagulants

2 sans guide prise d empreinte en occlusion chtcgb - Eugenol
5 sans guide proth se imm diate primaire vyr7u2 - Eugenol
7 sans guide seconde proth se avec armature titane isus sur premi re empreinte zmpufa - Eugenol
8 sans guide seconde proth se avec armature titane isus sur premi re empreinte 3 kfuanh - Eugenol

PopHip

06/06/2014 à 14h15

L'avenir le prouvera, viendra un temps où 100% des implants seront posés avec un guide. Flapless ou pas, il n'y a rien de tel que sa sécurité, même pour des unitaires, parce c'est aussi la garantie d'une prothèse qui tombe comme une jolie petite robe rouge.

Amibien, tu fais comment pour poser à main levée ces implants (3,30) entre deux corticales concaves ? :|

Implants canines 1 bdrsxi - Eugenol
Implants canines 2 rpkqdn - Eugenol

Logo m4n3gc - Eugenol
drmarcus

06/06/2014 à 14h29

Rebataille. Là on voit que c'est du un temps; désolé pas toi!

Le mieux c'est que ce patient semble cicatriser à la MCI (en moins de 72 heures apparemment) si on veut considérer que les empreintes sont au moment de la pose. Mais on aimerait voir ces empreintes en cours de chir. ;-)
En effet on ne voit aucun fils ni saignement évidemment il va nous dire que c'est en flapless.

Allez laisses nous rire. Il faut tout pouvoir prouver au risque d'être ridicule.

--
"La seule chose promise d'avance à l'échec, c'est celle que l'on ne tente pas" Paul Emile VICTOR

Rebataille ibkk5b - Eugenol

Amibien

06/06/2014 à 16h32

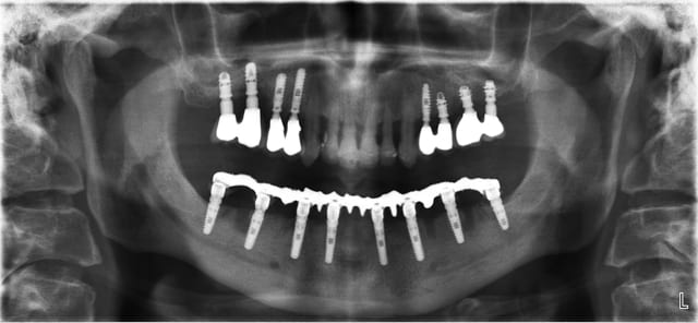
84 ans, il s'endormait littéralement en cours de chirurgie, toutes les peines du monde pour boucler le travail, je sais ce que j'ai vécu pour arriver à poser droit, alors les photos pendant la chirurgie... Je t'ai montré les deux prothèses successives, la première ayant été posée le soir de la chirurgie, je ne peux rien te dire d'autre. Alors tu peux rigoler tout ton saoul, cela ne me dérange pas le moins du monde... Ce que ta pano ne montre pas ce sont les expositions de spires sous gingivales, c'est là le noeud de l'affaire, mes implants n'ont pas de spires découvertes...


S2y2o1v7q53ws4r5wy6ou8czrpom - Eugenol
pxav

06/06/2014 à 16h45

PopHip écrivait:
----------------
> L'avenir le prouvera, viendra un temps où 100% des implants seront posés avec un
> guide. Flapless ou pas, il n'y a rien de tel que sa sécurité, même pour des
> unitaires, parce c'est aussi la garantie d'une prothèse qui tombe comme une
> jolie petite robe rouge.
>
> Amibien, tu fais comment pour poser à main levée ces implants (3,30) entre deux
> corticales concaves ? :|

tu fais un peu d'expansion, tu pose du 3,4 et en plus tu récupère un axe plus sympa....
La chir guidée est un des avenir, mais j'éspère qu'il restera toujours de la place pour les chirurgies à main levée.
--
xbk
"Si tous ceux qui croient avoir raison n'avaient pas tort, la vérité ne serait pas loin" Dac Pierre


S2y2o1v7q53ws4r5wy6ou8czrpom - Eugenol
pxav

06/06/2014 à 16h53

Je ne veux pas défendre Amibien, mais il ne faut pas croire que tout est figé,et qu'il n'existe qu'une seule façon de faire.
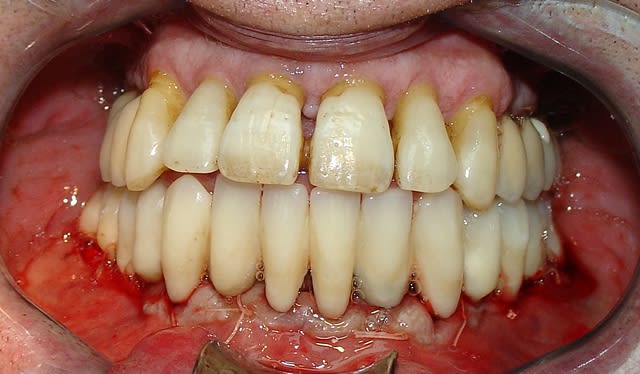
84 ans, sous biphosphonates...peu de photos,chir en deux heures, prothèse posée le lendemain (pour éviter la fatigue du patient)
chir non guidée, par contre avec grosse préparation avant(simplant)et je fais très peu de MCI.
J'ai omis de préciser que cette prothèse n'est pas armée, (résine injectée Ivoclar) ce qui n’empêche pas qu'il n'y a pas de fractures (partiel résine en face).
--
xbk
"Si tous ceux qui croient avoir raison n'avaient pas tort, la vérité ne serait pas loin" Dac Pierre

Img 0514 yfhtpe - Eugenol
Img 0513 rjpgak - Eugenol
Jo pi 04.03 - Eugenol

S2y2o1v7q53ws4r5wy6ou8czrpom - Eugenol
pxav

06/06/2014 à 17h19

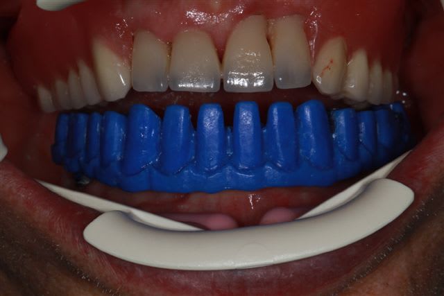
et dans le même esprit, il n'y a pas que la cadcam, ce matin essayage de la maquette (résine calcinable+cire)pour controler l'ajustage et surtout valider la préforme pour l'occlusion,et la position des incisives.
Moralité nous allons repositionner la fausse gencive et les incisives...(ce sera une barre avec emax press dessus)

--
xbk
"Si tous ceux qui croient avoir raison n'avaient pas tort, la vérité ne serait pas loin" Dac Pierre

Img 1145 c1zqmq - Eugenol
Img 1146 o2hvwd - Eugenol
Img 1147 uk7el9 - Eugenol
Img 1148 spjnih - Eugenol

Amibien

06/06/2014 à 17h30

La prise d'empreinte s'est faite en occlusion en se servant de fac simile translucides en résine préparés à partir de la prothèse totale haut et bas fabriquée dans un premier temps.
Le prothésiste n'a eu qu'à présenter le complet du bas sur la mise en articulateur obtenue après la chirurgie pour aménager celle ci en prothèse à transvisser. Ce que je crois c'est que les guides ne permettent pas de changer son fusil d'épaule en cours de chirurgie et qu'il est impossible de prédire un trajet de forage idéal sur base des data radiologiques. Il y a très souvent matière à faire autrement lorsqu'on ouvre le lambeau, même lorsque la préparation a été minutieuse. ... Et surtout ne venez pas prétendre parvenir à enfouir les spires parfaitement en se servant de guides figés, il doit y avoir des crêtes qui lâchent au forage ou au vissage de l'implant et quid des crêtes déchiquetées ou tortueuses qu'il est indiqué de raboter au préalable ? J'ai difficile accepter l'idée que de faire coller la position des implants à une prothèse déjà terminée est un bon chemin, tout ça pour que le patient sorte avec des dents séance tenante. On n'est pas dans une usine de fabrication de bagnoles...


Photo pluton1b h9n4ea - Eugenol
pluton

06/06/2014 à 17h53

je vais aussi mettre mon grain de sel...;-)

Amibien, tu te trompes au sujet des guides de posit
-lorsqu’ils sont en appui osseux tu fais un lambeau, à minima ou au max, comme tu veux!!!
-tu peux reprendre la main s'il le faut, posit peut témoigner, çà m'est déjà arrivé avec ses guides, quant à l'enfouissement des implants, le guide peut t'arrêter là où çà a été prévu, mais s'il faut aller plus loin, tu peux aussi

c'est là qu'est toute la souplesse de son système...

il est bien évident que c'est quasiment impossible à faire avec les autres, types simplant ou nobelguide

personnellement, le danger que je vois avec la chir guidée systématique, c'est que si çà se généralise, plus personne ne saura poser à main levée...et au moindre couac, c'est la cata...

le côté positif, de la chir guidée: implant posé, moignon définitif posé et prothèse provisoire (je devrais dire transitoire...;-)) vraiment esthétique et bien adaptée posée dans la même séance...amha un vrai plus pour une parfaite cicatrisation...si je me souviens bien tu es déjà un partisan du moignon définitif posé dans la séance...la chir guidée permet d'aller au bout de ce concept...


Amibien

06/06/2014 à 19h31

OK Pluton, je te suis, tu peux descendre plus bas mais peux-tu déplacer un implant en suivant la ligne de crête ? Le cas que j'ai présenté et que j'avais planifié de manière totalement différente sur simplant planner m'a obligé de changer mon fusil d'épaule de manière drastique car il y avait des kystes d'origine dentaire passés en vestibulaire dans la masse musculo-conjnctive et l'os était mal en point, j'ai extrait les racines résiduelles juste avant la chir et c'était une vraie cata avec la muqueuse linguale qui se déchirait. Bref tout ça pour dire que si j'avais construit un guide sur mon projet j'aurais pu le mettre à la poubelle d'entrée de jeu.
J'ai difficile imaginer, je me répète, qu'il soit possible de poser une prothèse immédiate PASSIVE sur huit implants posés en se servant d'un guide... Je dis bien PASSIVE. Lors de la réalisation du cas présenté je n'avais pas de tierce personne pour faire les photos, c'est dommage pour moi, mais la seconde prothèse renforcée par une armature ISUS a été réalisée sur le premier modèle de travail et il n'y a pas eu d'essayage, c'est rentré pile poil sans forcer. Où est le souci de poser quelques heures plus tard ?


Photo pluton1b h9n4ea - Eugenol
pluton

06/06/2014 à 20h29

Amibien écrivait:
-----------------
> OK Pluton, je te suis, tu peux descendre plus bas mais peux-tu déplacer un
> implant en suivant la ligne de crête ?

çà, non...
par contre, juste une remarque: entre des images traitées sur un logiciel de planif comme ceux qu'on utilise et celles nettoyées/traitées par le logiciel de posit: c'est le jour et la nuit...çà n'a rien à voir à part le nom comme tu peux appeler un phare le truc qui sert à éclairer sur une voiture de collection (avec la bougie dedans) et un phare celui qui équipe la BMW i8 avec ses leds laser (oui, oui, laser!!!) qui éclairent jusqu'à 300m alors que les meilleurs xénons sont à 200m au max...

dans ton cas, les kystes et l'os pourri aurait été identifié avant la chir et non pendant

ensuite, l'intérêt de la pose immédiate: le confort du patient, non?


Amibien

06/06/2014 à 21h41

J'avoue ne pas connaître votre système, c'est certainement comme tu expliques, les guides utilisé dans le passé m'ont beaucoup déçu et je les ai virés pour de bon, je préfère me laisser aller lors des chirurgies et laisser parler mes neurones, faire confiance à ma main et à mes yeux, poser puis enregistrer la relation spatiale des implants. Je pourrais utiliser votre système une première fois, pourquoi pas ?

Tu n'as rien dit de la passivité des prothèses que vous vissez...

Maintenant il est vrai que j'aime fixer les piliers à la chirurgie quand je fais du scellé et là je me fais chier pour les tailler parallèles ensuite, mais j'y arrive tant bien que mal. Pas toujours évident.


Amibien

07/06/2014 à 00h00

Je reviens sur le positionnement, le degré d'enfouissement sur lequel tu peux jouer, comment ta prothèse est-elle encore adaptée ensuite ? Elle est à géométrie variable ? (:-))


G-P

07/06/2014 à 00h16

pxav écrivait:
--------------

> J'ai omis de préciser que cette prothèse n'est pas armée, (résine injectée
> Ivoclar) ce qui n’empêche pas qu'il n'y a pas de fractures (partiel résine en
> face).
> --
> xbk

Tu ne penses pas qu'un bridge résine sans armature, et donc pas passif, n'est pas risqué pour une MCI?


S2y2o1v7q53ws4r5wy6ou8czrpom - Eugenol
pxav

07/06/2014 à 00h44


la solidité et la rigidité, sont gages de passivité, certains cas necessitent une armature metal, mais dans ce cas les implants sont repartis de facon relativement "ideale" pour une bon equilibre des forces et donc une passivite tout a fait convenable.
8 implants à la mandibule, c'est ceinture plus bretelles.
à 3 mois aucun probleme.
bien sur il n'y a pas d'extension ou de bras de levier demesuré, les insicives ne sont quasiment pas fonctionnelles, ce qui ne sera pas le cas pour la prothese d' usage.
--
xbk
"Si tous ceux qui croient avoir raison n'avaient pas tort, la vérité ne serait pas loin" Dac Pierre


Photo pluton1b h9n4ea - Eugenol
pluton

07/06/2014 à 09h21

Amibien écrivait:
-----------------
> Je reviens sur le positionnement, le degré d'enfouissement sur lequel tu peux
> jouer, comment ta prothèse est-elle encore adaptée ensuite ? Elle est à
> géométrie variable ? (:-))

c'est difficile d'expliquer, et tellement plus simple à montrer, mais oui, c'est totalement passif et en quelque sorte à géométrie variable car les piliers provisoire sont scellés dans l'intrados de la prothèse lors de la chirurgie...

je pourrais te montrer (j'ai des images) mais pour le coup il me faudrait l'accord de posit car il y a dans le protocole des astuces qu'il ne veut pas que l'on montre (brevets en cours?)


S2y2o1v7q53ws4r5wy6ou8czrpom - Eugenol
pxav

07/06/2014 à 12h01

pluton écrivait:
----------------

>
> c'est difficile d'expliquer, et tellement plus simple à montrer, mais oui, c'est
> totalement passif et en quelque sorte à géométrie variable car les piliers
> provisoire sont scellés dans l'intrados de la prothèse lors de la chirurgie...
>
>
c'est le meme principe pour la MCI non guidee, le partage des bonnes idees n'est malheureusement pas compatible avec le besoin de "breveter", quel dommage, mais ça fait partie du mond moderne...
Heureusement les Chinois sortiront une copie .....

--
xbk
"Si tous ceux qui croient avoir raison n'avaient pas tort, la vérité ne serait pas loin" Dac Pierre


Scan10030 ukikhq - Eugenol
vava

08/06/2014 à 09h49

pxav écrivait:
--------------
> c'est le meme principe pour la MCI non guidee, le partage des bonnes idees n'est
> malheureusement pas compatible avec le besoin de "breveter", quel dommage, mais
> ça fait partie du mond moderne...
> Heureusement les Chinois sortiront une copie .....


C’est bien sympa cette bataille constructive qui me rappelle les années 80 où nous étions fiers de nous payer la dernière technologie sortie. Bien sur, les vieux croutons de la fac freinaient des deux pieds pour ne pas enseigneer l’implantologie à la fac. Moralité la France est un des pays où l’on pose le moins d’implant en Europe.

C’est bien dommage ton intervention pxav. Elle à l’odeur du mépris !!!


Amibien

08/06/2014 à 10h54

Ce qui conforte l'idée qu'on n'a pas besoin de guide pour parvenir à un résultat sinon semblable mais peut-être meilleur ? Et je ne parle pas que d'implantologie (:-))


Scan10030 ukikhq - Eugenol
vava

08/06/2014 à 12h05

Si tu ne compare pas ton appareil sur pilotis et le bridge de drmarcus tu détiens ta vérité !!!


beotion c'est un bridge fait avec positdental?


Amibien

08/06/2014 à 14h58

Il y a quoi en dessous des sutures ?

Le bridge définitif est fabriqué sur le modèle de travail issu d'une empreinte globale réalisée à quel moment ?


Scan10030 ukikhq - Eugenol
vava

09/06/2014 à 02h05

Amibien écrivait:
-----------------
> Il y a quoi en dessous des sutures ?

les piliers définitifs?


> Le bridge définitif est fabriqué sur le modèle de travail issu d'une empreinte
> globale réalisée à quel moment ?

Si c'est du positdental, le bridge à armature métallique sans scellement ni vis, est le provisoire posé dans la même séance?