Cookie Consent byPrivacyPolicies.comPlan de traitement - Eugenol

Plan de traitement

Nouveau image bitmap fz77zh - Eugenol
Sethef

12/09/2020 à 12h42

pgc écrivait:
---
> Sethef écrivait:
> ------
> >
> > Je maîtrise mal les différents prod illégaux, de mémoire les amphets ça fait
> un
> > peu ce genre de chose, +bruxisme.
>
> Les amphétamines provoquent un bruxisme incoercible. C'est effectivement le
> bruxisme qui détruit les dents des utilisateurs.

Oui c'est ce que je voulais dire, là où j'avais un doute c'était sur l'acidité topique, en fonction du mode de prise.
Justement, si ce n'était que bruxisme (chimico induit), l'usure serait généralisée. Un buvard entre les dents de devant?


Utilisateur banni

12/09/2020 à 13h37

Le nouveau nous a dit qu’ils étaient plusieurs à avoir ça dans sa famille. Ils sont quand même pas tous camés dans la famille.


Index vakr2r - Eugenol
pgc

12/09/2020 à 15h16

Sethef écrivait:
------

> Un buvard entre les dents de devant?

Oui mais alors 1000 buvards/jour avec de l'acide de batterie dessus pas du LSD :)
Ca parait pas bien possible. Le type n'a que 24 ans!


Vw campersurfvan bmnk1q - Eugenol
enlaye

12/09/2020 à 15h36

Il doit avoir une drole de tete de fatigué a grincer comme ca toutes les nuits . Entre Dracula et la vache Normande .


lachmar

12/09/2020 à 22h12

quelle est la demande du patient avant tout

et subsidiairement combien de dentistes a t il deja consulté


Utilisateur banni

12/09/2020 à 23h12

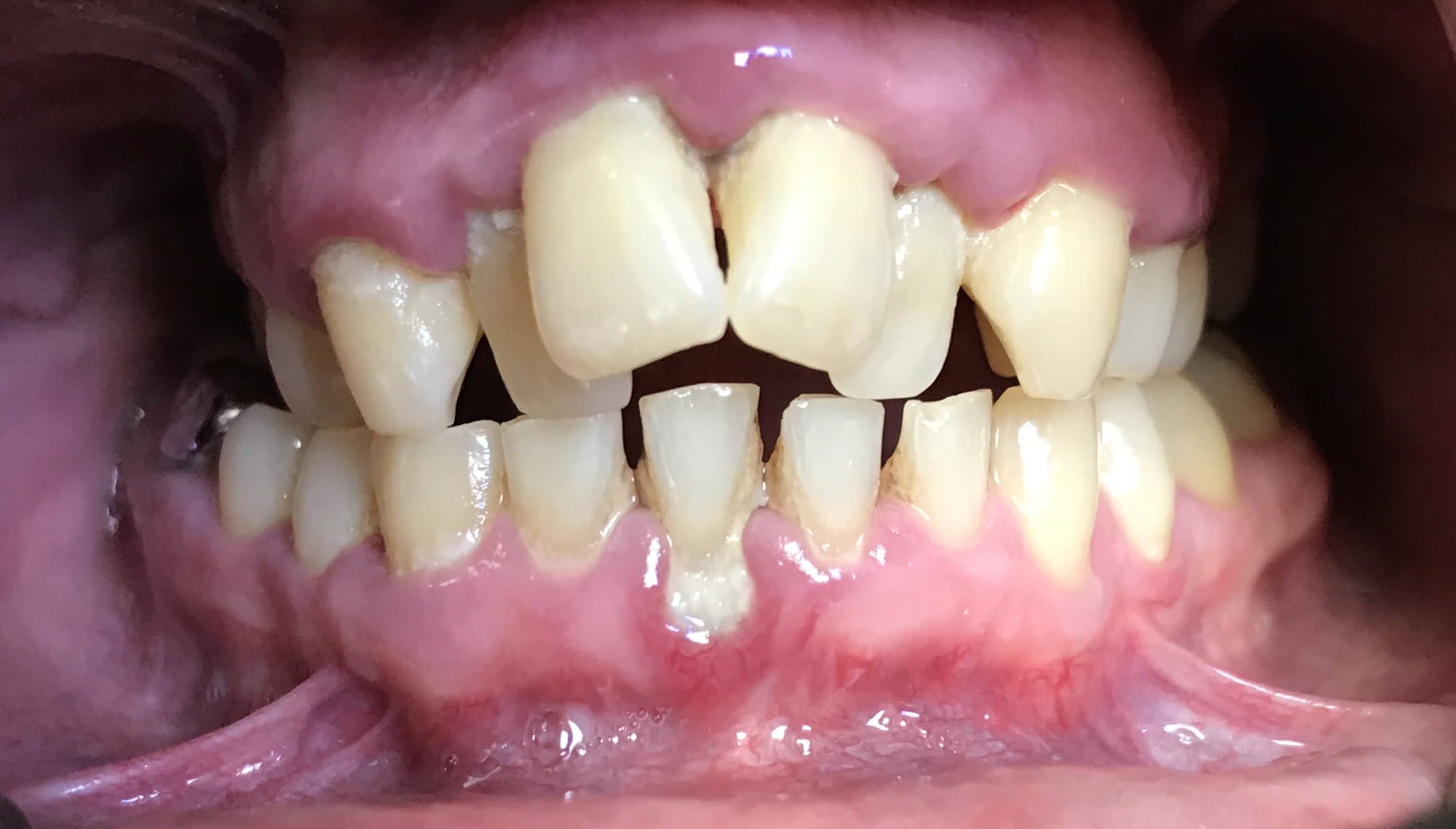
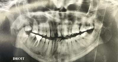
En attendant que le nouveau réponde ... Dans un style différent : 38 ans . très complexé. Aucun dentiste n’a voulu le toucher (pour le secteur antérieur) . Je lui ai dit qu’il fallait lui déglinguer la mâchoire. Sauf qu’il ne veut pas faire de chirurgie orthognatique, c’est sa seule condition . Par contre est prêt à mettre n’importe quel prix pour retrouver un beau sourire. N’est ni fermé à l’ortho , ni fermé à l’implantologie.
Photo de la pano qu’il m’a ramenée.

On se passera des : faut faire un détartrage :) , ou faut qu’il se lave les dents.

9906b8cf b6a8 436f 9594 91829855c569 avudel - Eugenol
0c655c6d a83a 4d4e 8aa5 e8ccbed003c0 hshaje - Eugenol
8a95f379 91f2 4729 a1e1 5368cf987903 rdpjrv - Eugenol
E6a35659 ff08 48bc a88a bc96efb4d330 vplreh - Eugenol

Nouveau image bitmap fz77zh - Eugenol
Sethef

13/09/2020 à 08h26

Ex des centrales et bridge 12-22, je pense que tu peux faire un truc sympa. Teste sur ton plâtre.


6szjws718sv1jksw54v4mpj3a6cu - Eugenol
vulpi

13/09/2020 à 08h38

Mouais, mouais, mouais... Très complexé... Le problème, c'est que ça se limite pas qu'au dent...
Enfin je veux dire, même traité, ce sera pas Brad Pitt jeune...
Aucun humour 🤥 dans ma réponse, le complexe peut-être plus général, ou se déplacer ensuite.
Pour moi, ortho, orthopédie ou rien. J'aime bien rien.


lachmar

13/09/2020 à 08h49

c'est clair que tu peux faire un truc sympa
à condition de maitriser l'hygiene avant tout et de preserver les canines à tout prix
et à condition que l'occlusion soit bien tolérée examen soigneux des ATM et des muscles masticateurs
la seule solution esthétique pour ne pas lui faire des contrales de lapin passe par une fausse gencive
donc une solution amovible sur overdenture ou si tu veux conserver les racines et ne rien faire d'irreversible, ce qui d'un point de vue médico-légal me paraît préférable
pour le convaincre tu peux faire des waxe up si le pognon n'est ps un obstacle pour lui montrer les resultat des diverses solutions solutions
40 ans d'expérience me disent qu'aucune soltion fixe ne serait durable


Hok 1b hgd3rj - Eugenol
Hokusai

13/09/2020 à 09h24

38 ans ?? Je lui en donne 55...


Vw campersurfvan bmnk1q - Eugenol
enlaye

13/09/2020 à 09h38

"et à condition que l'occlusion soit bien tolérée "
A mon avis oui .pas de pb occlusal particulier .


Utilisateur banni

13/09/2020 à 09h39

Oui justement je suis en train d’analyser son cas. Je vais bien voir quelle est la meilleure solution.

Ça c’est un cas qui s’apparente au cas du nouveau . Le problème dans ce genre de cas traité uniquement prophétiquement c’est qu’on n’obtient pas forcément une meilleure occlusion :) .

Dans le cas du nouveau il faut vraiment faire une intervention osseuse ++++, encore plus que sur celle-ci

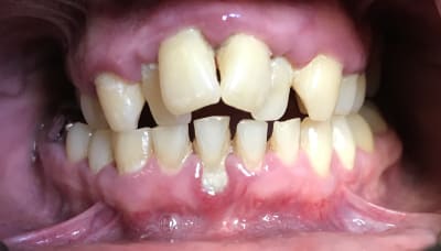
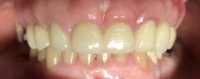
712b04fd 6ae4 41b4 91e7 c6bc615e49b2 py647h - Eugenol
7c86dd76 e3f3 4788 b73c 9c7dada283ab v1gkvo - Eugenol
8e8cd1e7 671c 4077 9bf0 fb42f1a17bf6 ckvxec - Eugenol

Vw campersurfvan bmnk1q - Eugenol
enlaye

13/09/2020 à 09h51

Sur celle là il y a eu quoi ? Elongation ou bien impaction du bloc ant ?


mla2

13/09/2020 à 09h59

Comme Vulpi : ortho.... il peut rester une petite béance anterieure verticale(pour eviter les "dents de lapin évoquées + haut) , ce serait un traitement de compromis mais vu d'où il part, je pense que pour lui ce sera déjà très satisfaisant.....et j'évite l' interventionnisme d'apprenti sorcier.


Utilisateur banni

13/09/2020 à 10h01

Celle-ci c’était élongation et plusieurs implants en postérieur.
À la base elle était juste venue pour ne plus avoir de sourire gingivale. J’ai commencé par le secteur antérieur. Sauf que quelque part ses dents antérieures lui stabilisaient son occlusion. Aussitôt que je lui ai fait le secteur antérieur, qu’elle s’est plainte de ses articulations . Donc j’ai tout de suite posé des implants en postérieur et mis des couronnes , et aussitôt plus de problème. Il aurait fallu commencer par ça. Mais bon comme ils ne jurent que par l’esthétique, c’est toujours le problème. Et c’est une fois qu’ils sont en confiance que certains se décident à faire le postérieur.


Vw campersurfvan bmnk1q - Eugenol
enlaye

13/09/2020 à 10h14

"Aussitôt que je lui ai fait le secteur antérieur, qu’elle s’est plaint de ses articulations . "
Classique :-) et c est a cause des cingulums que tu lui as recréé . Avant elle n en avait pas ( plus) .


Vw campersurfvan bmnk1q - Eugenol
enlaye

13/09/2020 à 10h20

" Il aurait fallu commencer par ça. Mais bon comme ils ne jurent que par l’esthétique, c’est toujours le problème."

Probleme qui va aller en exponentiel :
On les a commencé avec l ortho et on va les finir avec le raco


Vw campersurfvan bmnk1q - Eugenol
enlaye

13/09/2020 à 10h52

Sinon , Junior , ton poisson lune je ne le trouve pas si moche que ça , il est bien symetrique .
Et je pense que son pb ce n est pas ses dents mais sa perte de cheveux :-))
Avant ,quand il se regardait dans la glace ça allait , ce n etait pas son souci majeur . Mais dés qu il a commencé à perdre ses cheveux , il a commencé à relever la tete devant le miroir :-) et à partir de là il a commencé à appercevoir les " trous noirs "
Donc il faut commencer , non pas par un "moque" up , mais par une moumoute .
:-))) simple l occluso :-))
Putain Maurice , je t avais dit BIO , l orgeat , et ouala du déconnes .


6szjws718sv1jksw54v4mpj3a6cu - Eugenol
vulpi

13/09/2020 à 11h32

Ou alors se taper des minettes 15 centimètres plus petites que lui, elles verront pas le désastre. En plus ça coûte rien, pas la peine de laisser des fortunes chez l'autre rapia de Junior, avec le masque obligatoire c'est de l'argent de foutue en l'air.
Nan mais avec l'age, je commence à me deplumer un peu, je connais la technique 😁


6szjws718sv1jksw54v4mpj3a6cu - Eugenol
vulpi

13/09/2020 à 11h36

Un peu ! J'ai dit !!! Pas la peine de glousser, c'est pas encore le crâne en peau de fesses.

Img 20200913 113308 sxtp6o - Eugenol

mla2

13/09/2020 à 14h10

"Nan mais avec l'age, je commence à me deplumer un peu, je connais la technique "

La Stratégie du contournement.......

merci pour ce partage d'expérience😂"


Screenshot 20190204 160354 2 ookelm - Eugenol
Arsénieux

13/09/2020 à 15h28

Belle teinture 🤔🤔


mla2

13/09/2020 à 15h44

Belle teinture 🤔🤔
maltraitance psychologique sur personne fragile du fait de son âge.....c'est un délit non?


Ylfwcw979cz1jnx9gfqeaxndiuzk - Eugenol
Algi

13/09/2020 à 16h18

Le cas du début c'est avant tout une supraclusie carabinée.

Faut voir si il serre les dents, comment il respire et deglutit....

Gouttières dures chiadées oclusalement, le lieux étant qu'il puisse bouffer avec.

Comme ça tu peux remonter en postérieur et te donner une chance de réhabiliter devant.

Si et seulement si il supporte alors restaurations résine en postérieur et devant ensuite.

Si j'ai le temps je reviendra....

--

https://open.spotify.com/user/8iz7teu84dfphmgspeh2979o8/playlist/59Tfpt7zoHfkI27430lfNg?si=MAiYEkb2S6mMV6qNX2aFwg


On a toujours le choix mais entre quoi et quoi?
Vas-y boulégue et l'avenir te le dira!


mla2

13/09/2020 à 17h50

algi le cas lenovo donc :

Tant qu'il n'y a aucune radio, aucun moulage pour estimer le decalage horizontal autant que le vertical en antérieur , et la forme du visage.....ce n'est pas possible d'avoir un avis recevable sur le traitement.