Cookie Consent byPrivacyPolicies.comPlan de traitement - Eugenol

Plan de traitement

Bebe 038 nf8eum - Eugenol
danteyeah

13/09/2020 à 18h27

D’accord avec mla2 ça manque d’info. Les 6 ont morflé grave....pourquoi ? Anorexie/troubles gastriques +++ dans l’enfance?


6szjws718sv1jksw54v4mpj3a6cu - Eugenol
vulpi

13/09/2020 à 20h54

Arsénieux écrivait:
---------
> Belle teinture
Non, non... c'est bio😁 j'ai les cheveux noirs, je sais pas d'où ça me vient 😁😁😁


lenovo

21/09/2020 à 10h33

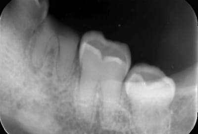
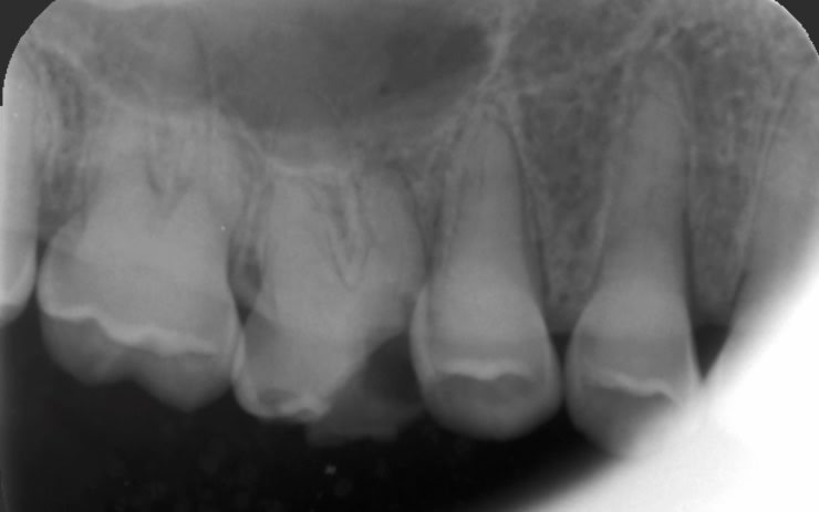
Radio 26

D9f30056 befd 4a58 a9d3 44fed132d3d4 zi8p3v - Eugenol

lenovo

21/09/2020 à 10h35

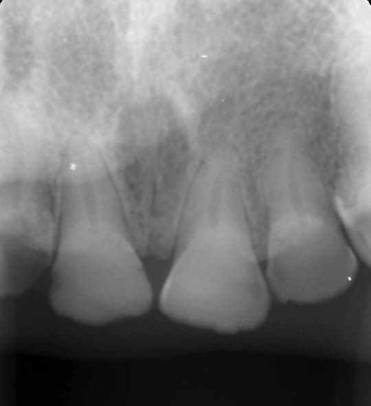
Radio 11

8af24b3d fd05 4021 a759 7a5e9e05a6a7 h5jlk1 - Eugenol

lenovo

21/09/2020 à 10h36

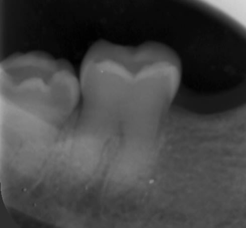
Radio 16

781774c1 a8e8 49b4 8faa 683eca2bb0a4 u2c9ob - Eugenol

lenovo

21/09/2020 à 10h39

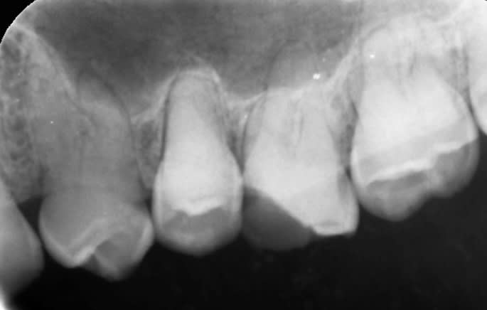
Radio 36

405399a3 cf02 4879 a549 5c8b6158e26b jozk2u - Eugenol

lenovo

21/09/2020 à 10h39

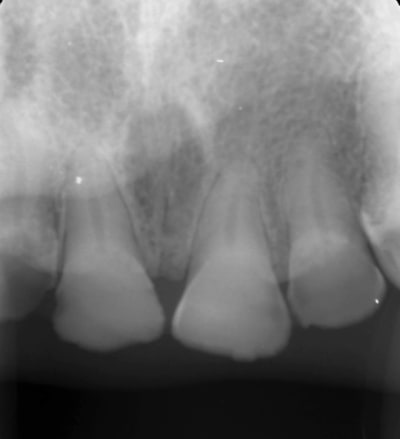
Radio 41

D6f39595 1045 4856 acb4 3096afe088d5 kk6sbh - Eugenol

lenovo

21/09/2020 à 10h41

Radio 37

Fe906c66 839a 45f6 bf44 63d400366819 nrrdrk - Eugenol

lenovo

21/09/2020 à 10h45

Photos

A82f03fd 2d91 4ef1 97ca f3eb47c7b10d m438gf - Eugenol
780581f7 855e 4bfa 8613 66d779c84307 rrwohx - Eugenol

lenovo

21/09/2020 à 10h51

Photos

9db1a8f8 0abe 44f7 87a9 75959bc99136 uojbwk - Eugenol
E2f69a8e 1293 4d24 bc42 b326036451b8 xx21g7 - Eugenol
40edc7b8 ac35 4fb0 a890 d3676a6f086c zc7npz - Eugenol
F210636b b920 48ee 9616 3728267b0311 w3y9lx - Eugenol

mla2

21/09/2020 à 11h04

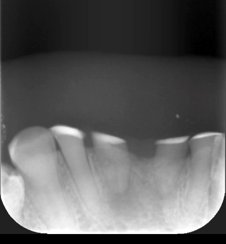
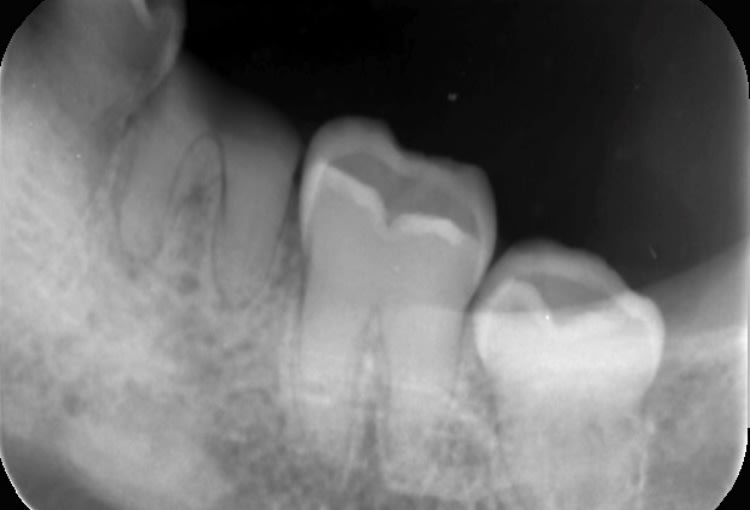
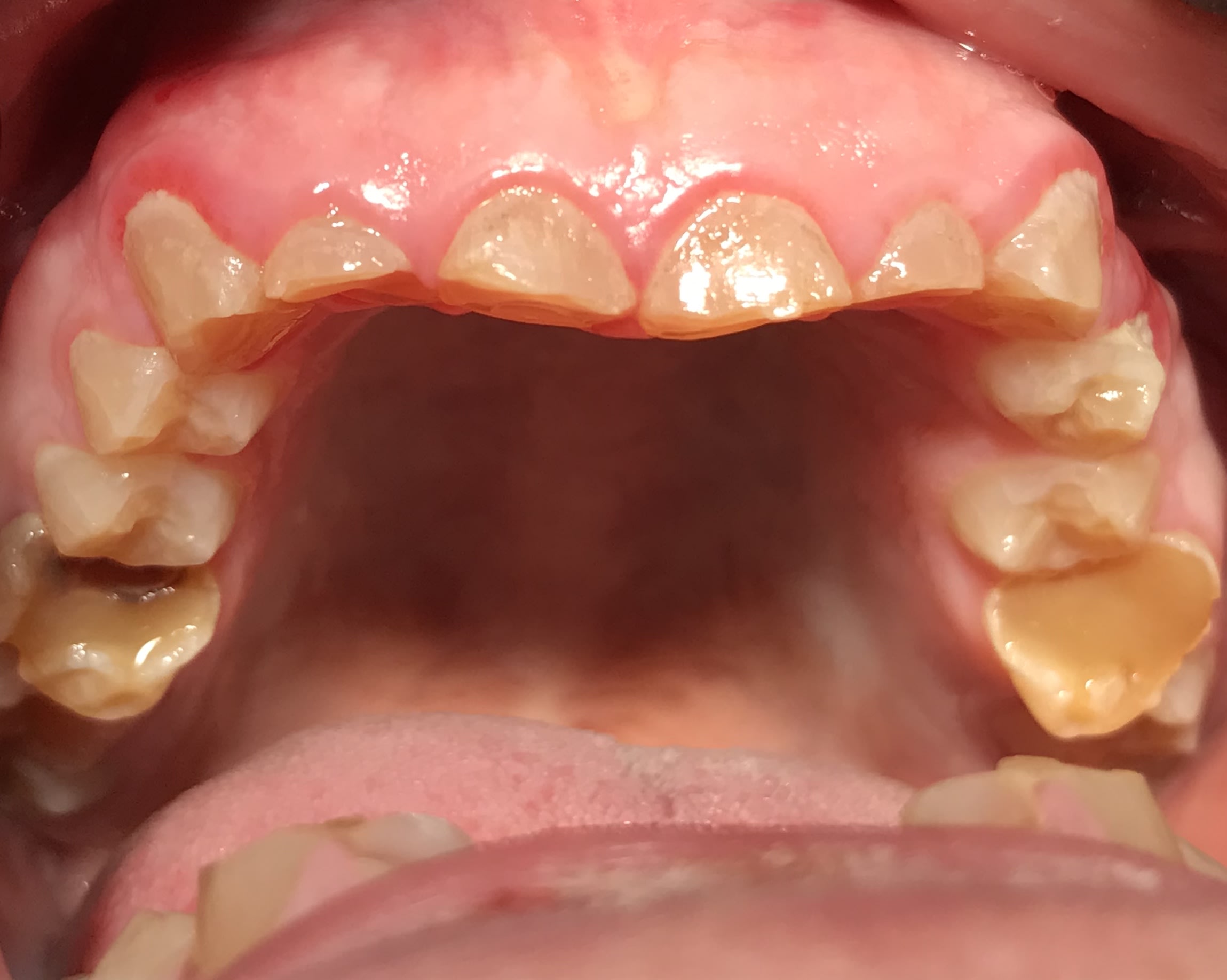
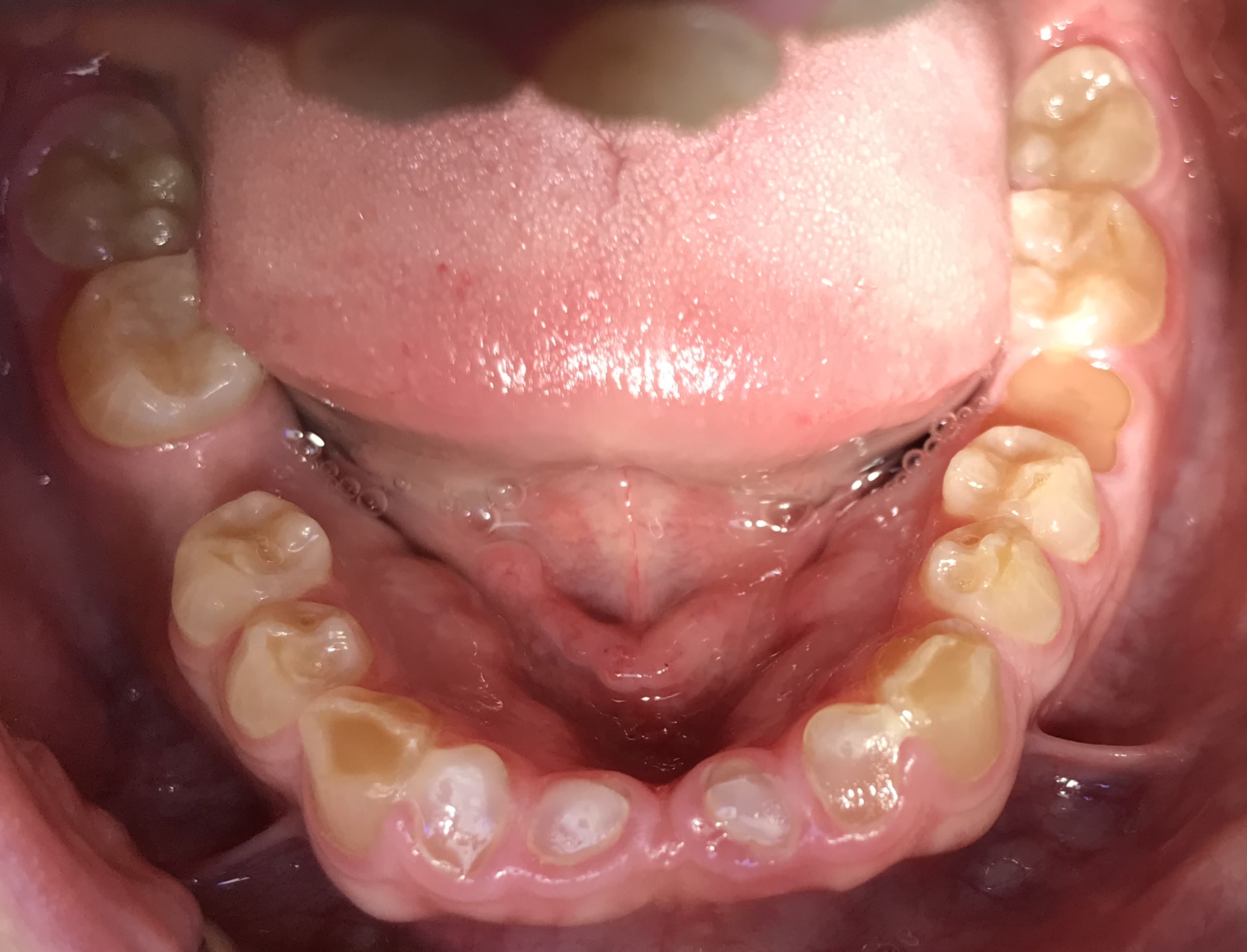
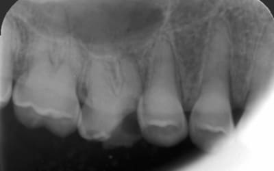
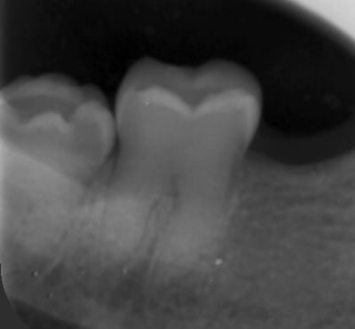
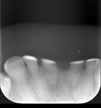
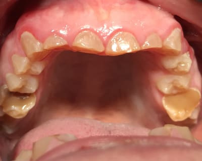
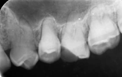
poignée de porte a diagnostiqué une maladie genetique, c'est un cas d'amélogenèse imparfaite avec racines courtes, obliteration des chambres pulpaires, émail fin et de mauvaise minéralité pour du collage... necrose en lien avec l'usure (les incisives inf)
Je te conseille de contacter le centre de reference (pj) des maladies rares de notre spécialité. pj
Tu pourras échanger sur les approches thérapeutiques.....et suivre ton cas même si tu délègues.

Cnetre de references c8qnyo - Eugenol

Vw campersurfvan bmnk1q - Eugenol
enlaye

21/09/2020 à 12h34

le visage est harmonieux , la dv est donc bonne .
il faudrait donc faire des élongations maousses , mais comme les racines sont courtes , ce sera des implants .


Utilisateur banni

21/09/2020 à 13h47

Oui Mla2 problème génétique + bruxisme. Quand vous expliquiez qu’il était camé moi je veux bien mais bon regardez ses 6 . Ses prémolaires sont quasi intacts . Ils se seraient foutus de l’acide juste sur ses incisives et ses molaires .... étrange. :)
Et oui implants sur tout le secteur antérieur + 46 et 36 avec un petit rabotage de 12 à 22. Plus couronnes sur 16 et 26 et sur d’autres pour refaire les courbes . Et pas de changement de DVO effectivement comme le montrent ses PM et ce qu’ a dit Enlaye.
Quel est son budget? Jusqu’ à combien il peut monter ? T’as parlé un peu des prix ?
Est-ce les implants ne seraient pas d’avantage remboursés dans le cadre de maladie comme ça?


Nouveau image bitmap fz77zh - Eugenol
Sethef

21/09/2020 à 17h52

L'amélogénese imparfaite, toutes les dents sont touchées à égalité; et l'émail a un aspect visuellement altéré.
Souvent associée à des grands syndromes de mémoire.
J'ai trouvé ça en 2 minutes.
http://www.rarenet.eu/wp-content/uploads/2013/12/Les-amelogeneses-imparfaites.pdf

Mis à part ça je n'ai pas pour autant la réponse.
Effectivement, ça risque de se finir en implants très multiples.