Cookie Consent byPrivacyPolicies.com20 ans après ..si j avais su . - Eugenol
Vw campersurfvan bmnk1q - Eugenol
enlaye

18/03/2022 à 19h12

Lorsque tu fais un complet du haut par exemple tu te poses la question de la validation par un prov ? Non bien sûr .
Pourquoi ?
1 pcq comme il n y a plus de dent c est la centrée qui fait foi .
2 pcq si ce n est pas équilibré l appareil décroche et tu le vois .
La seule validation que tu puisses faire c est la validation de ta relation entre toi et le labo , mais en aucun cas tu cherches à valider si le patient le supporte ou pas .

Maintenant on est en fixe , et il te reste des dents , c est ça un cas complexe , eh bien tu vas subir l occlusion des dents qui restent . Et tu vérifieras quoi sur l les prov ? Rien puisque ça tient .

Donc le cas complexe est à régler avant les travaux , sans les prov .
Histoire de le rendre le plus facile possible .

Maintenant , tu dois tout recréer , ça redevient un cas facile comme un complet dans la mesure où tu le fais en centrée .
Tu veux valider quoi ? Que tu as bien pris la centrée ? ça oui mais dans ce cas c est toi que tu cherches à valider et non pas le patient :-)

La vrai question que l on doit se poser lorsque l on démarre un travail c est :
est ce que je sais exactement ce que je veux ?
Tu crois que si tu as un doute le provisoire saura te répondre ? :-)))


Ylfwcw979cz1jnx9gfqeaxndiuzk - Eugenol
Algi

18/03/2022 à 19h21

OK doc... pas de provisoire...

Du coup si tu dois coiffer comme je l'ai fait ce matin de 33 à 43 dents vivantes (et bien vivantes).... outre le côté esthétique et fonctionnel (genre le patient se mâche la langue sur ses moignons) tu géres comment la sensibilité à, par exemple, le froid?

Ps: ben non y.avait pas d'inlay core du coup...


--

On a toujours le choix mais entre quoi et quoi?
Vas-y boulégue et l'avenir te le dira!


Vw campersurfvan bmnk1q - Eugenol
enlaye

18/03/2022 à 21h16

oui oui bien sur sur dent vivante , je fais comme toi , Algi .
mais là on est plus dans du prov de validation dont parlait Vupi .


Nouveau image bitmap fz77zh - Eugenol
Sethef

18/03/2022 à 21h31

Ah ben ça sert quand même à 2-3 trucs.
Déjà, comme tu dis, la validation de ta rim, sur un complet tu fais un essayage, en fixe tu fais des pros.
Tu vérifies aussi ton esthétique, tes volumes.
Ca te fait un guide de taille, si tu vois à travers ta résine, mieux vaut remettre un coup à ton moignon.
Et enfin, tu prends l'empreinte avec et sans provisoire, et ça te fait le transfert de rim pour le prothésiste.

Sans compter que sur les cas complexes, toi tu règles le problème sur les modèles, moi je taille tout et je règle comme un complet, et du coup c'est un cas facile à nouveau.
En fait, j'aime bien les pros.


Nouveau image bitmap fz77zh - Eugenol
Sethef

18/03/2022 à 21h32

Par contre, ta méthode pas de provisoire, je te confirme que je l'utilise tout le temps quand la gencive est défoncée, tu tailles la dent en pointe, tu lui fais respirer le bon air du dehors, la semaine d'après le parodonte est tout rose tout mignon.


Vw campersurfvan bmnk1q - Eugenol
enlaye

18/03/2022 à 21h42

ce dont tu parles Sethef ce n est pas non plus le genre de prov de "validation" dont parlait Vulpi .
je répondais juste à Vulpi sur sa phrase qui était :
" Puisque tu ne fais pas de provisoire, comment valides tu et règles tu l'occlusion dans des cas complexes ?"

toi tu sais ce que tu veux et tu le fais direct , l esprit est diffèrent . et après tu t en sers même de transfert ....


Vw campersurfvan bmnk1q - Eugenol
enlaye

18/03/2022 à 21h48

puisque tu es là Sethef , j ai fait un truc que je n aurais pas du faire dans la stratégie , et avant de donner la solution , tu as quelque chose à dire ?
pcq c est ton style de sensibilité occlusale :-) , souvent tu en parles de ce genre de pb .


Nouveau image bitmap fz77zh - Eugenol
Sethef

18/03/2022 à 22h12

J'en sais trop rien.
J'aurais préféré finir le postérieur avant l'antérieur, mais l'amovible te l'interdit.

Quelques années après, le recouvrement antérieur semble un peu important, mais c'est sûrement dû à l'usure des stellites, ou au fait qu'elle ne les porte pas.

Clairement, sur un boulot comme ça, en intercuspidie max, j'ai tendance à laisser une très légère béance antérieure, histoire d'avoir un peu de jeu en antéro-postérieur. Est-ce que c'est ça?


Vw campersurfvan bmnk1q - Eugenol
enlaye

18/03/2022 à 22h28

non , c est que j aurais du enlever la 47 que j ai couronné :-)
un stellite dissymétrique , terminal d un coté et pas de l autre , dejà c est para-fonctionnel .
alors , encore avec un stellite en antago tu peux gérer , mais avec de l implanto en antago , non prévu au départ c est la fin des haricots , c est ingérable.
à cela , si tu rajoutes un taquet d occlusion c est explosif .
c est pour moi le 1er pb de ce cas , un pb de proprioception dissymétrique près de l axe charnière .
et il y en a un 2 eme qu on verra après :-)


Vw campersurfvan bmnk1q - Eugenol
enlaye

18/03/2022 à 22h30

combien de fois on voit des bouches fracassées avec une 8 ou une 7 gardée pour support de crochet ?
tu n as pas remarqué ??
bin voilà , je l ai fait :-))


Nouveau image bitmap fz77zh - Eugenol
Sethef

18/03/2022 à 22h31

Je l'avais juste pas vue celle là. Mortelle.


Vw campersurfvan bmnk1q - Eugenol
enlaye

18/03/2022 à 22h32

ouaip une honte :-)


Vw campersurfvan bmnk1q - Eugenol
enlaye

19/03/2022 à 01h10

j explique pour les minots .
* lorsque tu fermes la bouche , tu es calé a droite et a gauche , et comme tu fermes bien dans l axe tu es centré . c est le centrage /calage .
* s il te manque un coté , bien il te manque du calage , certes c est dommage , mais tu es quand quand même bien centré .
* si maintenant si tu as les 4 secteurs , mais que tu as un secteur post en sous-occ alors ce n' est plus pareil , tu perds du calage et du centrage . c est pire que s il te manquait un secteur .
en effet par la résilience articulaire tu vas constamment aller chercher le calage qui te manque en serrant à mort du coté de la sous-occ .
cette bascule te crée un torque de la mand qui te dévie de ton centrage = induction d une para-fonction. ça part de là.

or un prothese amovible , c est de la sous occ . eh oui , quand elle va bien , cad qu elle est confortable c est qu elle est en permanence en legere sous occ ne serait ce que par la depressibilité de la muqueuse , sinon elle ferait mal au niveau des selles .donc si le stellite est terminal bilatéral tu réduis ta force et tu te cales sur les dents de devant , c est pas énorme mais c est adapté à ta force réduite et le centrage peut être bon
.si le stellite est unilatéral , on revient au meme cas de la sous occ unilatérale , tu perds du calage + du centrage etc etc .

à cela si tu rajoutes une interférence par une dent prothétique voir un taquet d occlusion tu augmentes grave ton pb de centrage .
si a cela tu rajoutes en plus des implants en haut , tu perds de la proprioception , donc tu augmentes d autant ta force , et tu te retrouves avec de la parafonction de grande force .
ça va , vous suivez , les minots ? :-)))


Nouveau image bitmap fz77zh - Eugenol
Sethef

19/03/2022 à 07h24

Est-ce que justement, ton souci n'aurait pas été amélioré par un taquet d'occlusion?

Parce que ta 47, c'est toi qui l'as coiffée, elle est dans la courbe, un taquet aurait évité l'effet de sous-occ par enfoncement de ce côté du stellite.

Après, y'a un autre facteur auquel je n'avais pas pensé hier soir, et qui me semble majeur, c'est l'usure. Parce que les dents résine sur l'amovible, elles continuent de se raboter même si elles ne sont plus en contact avec l'antago, c'est tout mou la résine, et on en revient donc à ce que tu disais, la patiente cherche le contact, écrase ses ATM, et vient buter sur la fixe, en antérieur ou sur 47.


Et7jtaj0pdi18gzjlxjiamlx15gs - Eugenol
Prunelles

19/03/2022 à 07h26

Les minots te remercient…
J’osais pas sortir le coup de la proprioception complètement baissée par l’endentement postérieur.


Olieve

19/03/2022 à 08h17

Pour revenir à l’utilité d’un provisoire : un provisoire pipé ça s’use, ça casse et ça se déscelle. Ça permet de corriger le tir.


Vw campersurfvan bmnk1q - Eugenol
enlaye

19/03/2022 à 14h04

Olieve écrivait:
------
"Pour revenir à l’utilité d’un provisoire : un provisoire pipé ça s’use, ça casse et ça se déscelle. Ça permet de ..."
le reparer et de le recoller

et puis c est tout :-)))


Olieve

19/03/2022 à 16h34

enlaye écrivait:
------
> et puis c est tout :-)))
>
Oh ? Et tu ne te demandes pourquoi ça s'est descellé ?
Toute ta science occlusale a disparu parce que c'est du provisoire ? mon oeil :-))


Vw campersurfvan bmnk1q - Eugenol
enlaye

19/03/2022 à 17h47

Descellé ? ca ne m arrive jamais :-)
Attends je réfléchis , que je ne fasse pas la bouche , heuuu non jamais .
Par contre cassé oui ( chaque fois sur un bridge jamais sur unitaires ) et dans ce cas je le refais .
Alors quand il est cassé je me dis tiens il est cassé , il doit y avoir un pb , ce qui ne m empeche pas de refaire le même :-))

Le pb , c est que même s il ne se casse pas où ne se décolle pas , ce n est pas pour autant que tout va bien.
Si par exemple il y a un pb de centrage du a une autre dent aux alentours , sûr le prov tu ne le verras pas .
C est ça un cas complexe , c est quand tu subis un schéma occlusal a la con déjà en place dont la cause ne vient pas forcement du secteur que tu traites . .
Donc la validation par le prov , c est du pipo .
De même que les pistes d usures ,
Sur le prov tu en déduis quoi ?
*que le secteur que tu refais par prov a morflé par conséquence ?
* ou bien pcq la forme de ton prov est causal ?
C est la seule question ou l on devrait avoir une réponse , mais si tu en connais la réponse c est que tu as déjà résolu le pb , tu vois c est sans fin .


Vw campersurfvan bmnk1q - Eugenol
enlaye

19/03/2022 à 17h52

Sur le cas présenté j en ai eu fait des prov , même des scellés , ce qui n empêche que j' ai eu fait une erreur .
l erreur etant d avoir gardé le même schéma occlusal en n ayant pas fait des chemins d entrée postérieurs symétriques .
les prov , eux comme ils etaient fait en fonction du haut , donc en y intégrant la para-fonction (dont on a parlé avec Sethef ) , ils etaient en pleine forme , ni cassés ni descellés .

ils ne m ont donné aucun avertissement .


Vw campersurfvan bmnk1q - Eugenol
enlaye

19/03/2022 à 21h10

photo , provisoires en place , faits en en fonction du haut , donc bien integrés dans la para-fonction :-)
à l epoque elle avait une ppa du haut

X5pv6qv9tnmzykq4v56767rnm4xs - Eugenol

Raconte bien les histoires hein, le varois 👏
L'est bon ce con (oui ça, ça change pas😉)


Vw campersurfvan bmnk1q - Eugenol
enlaye

19/03/2022 à 23h42

puis après , j ai même probablement du faire le prov du haut en fonction du bas qui lui même avait été fait en fonction du haut :-))
c est la vache qui rit cette histoire de prov .:-)))
au final je n ai rien changé de son schéma occlusal , j'ai reproduit la même chose .
etait ce bien ? etait ce pas bien ? comment savoir ? les prov ne me l ont pas dit :-)))


Vw campersurfvan bmnk1q - Eugenol
enlaye

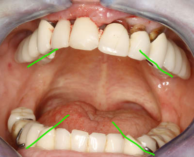
19/03/2022 à 23h44

et maintenant regardons 20ans apres .
tu ne remarques rien ? il n y aurait pas comme une similitude ?
exactement les memes usures par la meme parafonction !
voilà :-)))

Dh5gqs3xv5i11tf635s93mxlhjk4 - Eugenol

bouboule

20/03/2022 à 14h56

Mais du coup tu classes ça en parafonction? Si j’ai bien suivi en fait la dame elle ruminait depuis des années uniquement sur 34-44 et 14-24 non?. Situation qui n’a pas beaucoup changé après traitement… sans doute juste quelques mois/années le temps que la résine du clacos s’use et que le peu d’aide à la mastication qu il proposait disparaisse. Phénomène encore accéléré par les implants en face de la résine bien molle.
Du coup j’ai du mal à croire qu’à contexte identique mais occlusion différente le résultat ne resterait pas le même… sauf à coller des implants en bas pour rétablir une vraie mastication… si encore la patiente était venue chaque année, t’aurais pu gérer l’usure au fur et à mesure. Mais là…


1234...