Cookie Consent byPrivacyPolicies.comdentiste conseil - Eugenol

dentiste conseil

Avatar transparent iqadnc - Eugenol
adhoc

14/03/2005 à 19h23

My question again , ameli.
Sur ameli.fr , nr pourriez vous pas , tous les dc sans exception, avoir une rubrique ou l'on pourrait vous joindre, plutot que par ce damné téléphone? Efficacité, gain de temps, et maitrise de la communication augmentée.


gringo

14/03/2005 à 19h30

tout a fait d accord je pratique depuis tjs la dissociation des actes en HN et pas de pb;et tjs devis prealable ;


cyberquenottes

14/03/2005 à 19h30

j'ai aussi une question

en effet nous nous sommes récemment pas mal déchiré sur le thème de la reprise de traitement

la question étant de savoir si la reprise de traitement est un acte coté ou bien un acte hors nomenclature

A tout'


ZORBECA

14/03/2005 à 19h46

Il y a quelques semaines un confrère nous a contacté sur ce site pour nous faire part de ses soucis: interdiction d'exercice.

Bien sûr il n'avait rien fait de répréhensible, à ses yeux, sauf un gros chiffre d'après lui.

Quelles sont les causes actuelles et les non-respects qui peuvent amèner une telle sanction, y a t'il des mises en garde préalables.

Une nouvelle fois merci pour votre participation active sur ce forum.

Cordialement


Abeille lzfkas - Eugenol
domi38

14/03/2005 à 20h20

ameli a écrit:
-------------------------------------------------------
>> Si on pratique un acte HN, il doit être indiqué HN sur une ligne de la feuille de soins.

... Mais les mêmes règles
doivent s'appliquer à tous... En effet, les règles de la concurrence sont
faussées si l'un applique la réglementation et son patient est peu remboursé, et si le praticien
voisin qui bidouille la facture peut obtenir un
remboursement supérieur.
>

Heu...pour ce qui est du HN indiqué sur les feuilles de soins, la dernière fois que je l'ai fait, la feuille est passée car la patiente était une employée de la sécu et après avoir fait plusieurs signes de croix et brandi des gousses d'ail, elle a consenti à prendre quand même la feuille que j'avais validée (un peu trop vite pour le coup)pour la faire passer à travers les services concernés à titre exceptionnel, tout en me sermonnant:"JAMAIS de HN marqué sur les feuilles de soins, malheureux!".
Alors, les mêmes règles pour tous...qu'ils soient patients ou praticiens ça dépend vraiment du département...


Ylfwcw979cz1jnx9gfqeaxndiuzk - Eugenol
Algi

14/03/2005 à 20h56

Welcome ameli et je salue ton courage au passage. C'est sûr tu vas être abreuvé de questions et tu devras y repondre (appelle tes copains, tu seras plus tout seul...).

Perso j'ai une réunion avec les CD de mon département le 7 avril, on verra bien ce qu'ils disent (ey ou saura peut être ce qu'ils pensent.....).

Ce matin j'ai reçu un gentil courrier de la CPAM concernant mes DC15 (et oui, je réalise mes exéréses de kystes tout seul mais aussi des extractions et des chir gingivales plus plein de gouttieres et donc j'ai toujours plein d'étoiles au snir pour les DC et les D...)

L'a donc fallu que je retrouve environ 200 radios s'étalant sur 3 ans... pas si simple quand la sécu dans son infinie bonté nous donne le nom de jeune fille des patientes alors que leur carte vitale (celle qui me sert à ouvrir leur fiche) me donne leur nom femme mariée.....

problème: les radios imprimées à partir de RVG c'est pas jojo et donc je cherche les pano encore en ma possession....

probléme n°2: j'ai eu quelques heurts avec trophy et donc j'ai changé de capteur..... mais quand j'ai aussi changé ma version de windows (passé de 98 à XP) l'aurait fallu que je raque 450€ à trophy pour avoir mise à jour de leur logiciel... plutot crever et donc j'ai récupéré la mise à jour chez un gentil confrére.... seul bémol: lors des impressions des clichés c'est son nom à lui qui apparait et plus le mien (même si c'est moi quiles ai faites....)

Donc: si radios prouvant ma bonne foi mais pas à mon nom?????

At'chose: on peut envoyer les images par mail? parceque 200 feuilles A4 en accusé de reception ça va me couter bonbon! (plus les pano à joindre et que la sécu devra me renvoyer: pas trés économique tout ça...).

Autre souci: j'ai fait 1 feuille pour une 13 mais c'est en vrai une 23 (tapé du mauvais coté du schéma dentaire...). Indu ou erreur pardonnée????

Autre chose: traitement d'un kyste sans passer par lambeau ou extraction... en gros: un grand coup de laser à travers l'apex préalablement désobturé ou alors des mois d'hydroxyde de calcium quand j'avais pas le laser. Avec résultats à l'arrivée mais le CD veut QUE les radios préop.... Dans l'absolu c'est un DC15 ou pas?

J'arréte les questions, je garde les autres pour le 7 avril mais concernant ce contrôle d'activité il faut que je renvoie ma copie sous trois semaines et en plus le CD est absent jusqu'à lundi prochain.... j'espére l'avoir la semaine prochaine et obtenir une entrevue mais tes réponses seraient précieuses en attendant.


cyberquenottes

14/03/2005 à 21h03

algi , je pense que vue cette situation tu as priorité pour mobiliser notre nouvel arrivant

peux tu mettre un sujet specifique ? ce sera plus facile pour les autres questions qui vont ( inévitablement survenir )


Image19 iebot6 - Eugenol
athos

14/03/2005 à 21h04

bon courage Algi et bonne patience!!


ZORBECA

14/03/2005 à 21h55

Bon courage Algi, du fond du coeur.

Amicalement et que Dieu me préserve.


Audi tt 2007 jzsdts - Eugenol
sbire

14/03/2005 à 22h09

Et ils remontent sur trois ans...pourquoi pas une simple demande d'infos sur trois mois!
Y en a qui ont que ca à faire!


bon courage!


Avatar transparent iqadnc - Eugenol
adhoc

14/03/2005 à 23h37

Algi, tu as priorité. On cede le passage.


ameli

15/03/2005 à 00h43

Je tente de répondre à algi, tout en précisant que ces réponses n’engagent que moi.
Premièrement, ça vaut le coup de se déplacer pour rencontrer ton DC et discuter autour d’un café. Surtout ne pas chercher à entrer dans des querelles de procédures, il y en a qui n’attendent que ça. Mieux vaut un entretien documents sur la table qu’un échange de courriers.
Il faudra y aller avec tes radios et les dossiers et que tu t’expliques cas par cas s’il le faut. J’ai eu des entretiens qui ont duré 5 heures ! Même si tu es noyé par la somme de boulot. …lui aussi ! Il veut te noyer, alors noie le ! Il va examiner une dizaine de cas, (laisse-le choisir les cas) et s’ils sont propres, il laissera tomber. Il faut le convaincre calmement que tes dossiers sont transparents et que tu ne cherches pas d’échappatoire.
Le nom d’un autre praticien sur les radios n’est pas en ta faveur, mais ce n’est pas bien grave. Explique pourquoi sans masquer la vérité. Ton agrément radio va être vérifié.
Il va vérifier ton activité en DC. Explique simplement la vérité : que tu aimes ça !
13 ou 23 est une erreur, pas une fraude. Si tu ne l’as faite qu’une fois, ça devrait être pardonné sans difficulté. Pour le principe, il te sermonnera…
On ne m’a jamais proposé d’envoyer des documents par mail. Mais ne le fais pas, car si c’est un vicieux ( j’en connais), il risque de te dénoncer à l’ordre car les mail ne sont pas sécurisés, et transmettre des documents médicaux sur des lignes non sécurisées peut conduire à un non respect du secret médical. Moi, je refuserais tout net.
Est-ce un DC15 ? Il faut lire les termes exacts de la NGAP. (je suis chez moi et ne l’ai pas). Si le terme « exérèse chirurgicale… » est bien marqué, comme je le pense, tu as perdu sur ce point. Dans ce cas, ce serait HN.
Si tu as des indus sur les autres cas que ce dernier, conteste-les dans les délais ( attention au délai indiqué sur la lettre). Ton cas est très défendable au TASS, mais il faut toujours jouer franc jeu..
Avis personnel : ton DC est un pinailleur. Il n’a pas de tricheurs dans sa région ?
Mais surtout, ne lui dit pas.
Bon courage, je sais, c’est du boulot en perspective ; Mais il faut le faire. Ca fait partie des contraintes de la profession, et chacun y passe un jour.


ameli

15/03/2005 à 01h11

C'est écrit noir sur blanc dans le code de la sécu : la section des assurances sociales peut intervenir dans tout le domaine dentaire : NGAP, déontologie, convention...
On n'est jamais condamné pour avoir fait un gros chiffre ! Mais on peut l'être si on l'a fait au détriment des règles.
On n'est jamais condamné pour un fait, mais pour une série de faits. Précision : une série commence à 2.
Exemple : un acte fictif, on s'en fout. 2 actes fictifs, c'est sérieux. 3, c'est très grave...5 c'est un système organisé, ... 7 c'est une habitude.
Un DC normalement ne cherche pas plus loin, c'est inutile.
Ce raisonnement est peut-être schématique, mais il est très proche de la réalité.
Il s'applique aussi à tous les abus de cotation. La grande mode actuelle, c'est les SC15 (3f) suivis à courte échéance d'un SPR57. Pour ces cas, je préconise l'indu. S'il y a récidive, j'attaque.
Pour une condamnation à 3 mois d'interdiction, il faut déja en faire !
Les condamnations à 6 mois sont très rares, et les motifs très graves et multiples : actes fictifs + cotations abusives + dépassements injustifiés et lourds, actes inutiles....
La sanction est évidemment assortie du remboursement, et ça fait mal. Mais pour en arriver là, le praticien ne l'a pas volé, c'est le cas de le dire.


Images eb1m5g - Eugenol
tonio

15/03/2005 à 01h52

Ameli,

Si tu vas faire un tout en endo, tu y verras que je suis un passionné. J'ai donc plusieurs questions à ce sujet:

- la reprise de traitement doit-elle être côtée HN?
en sachant que le patient est pas forcément responsable d'une endo pas terrible (sauf si on s'aperçoit qu'il est peu coopératif) ou qu'elle date d'une quinzaine d'années où l'on n'avait pas la rotation continue (qui permet de standardiser la qualité des endos).

- Peux t'on coter du HN en plus de l'endo pour la pose de la digue, une reconstruction pré endodontique, une dépose de couronne et de tenon. Est ce que cela peut être assimilé à un DE?

- je fais quasiment systématiquement la reprise endo. Peux t'on m'embéter pour "excès de zèle endodntique"?

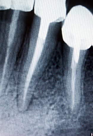
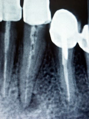
- Au fichier joint attaché, tu verras une dent où j'ai effectuée une reprise de traitement et que j'ai obturée avec un petit amalgame pour assurer l'étancheité. J'ai côté SC6. 6 mois après, la lésion étant presque disparue, j'ai fait un IC et une nouvelle couronne. Est ce que c'est toléré?

- Dernière question: mes boss côtent SC6 lorsqu'ils rescellent une couronne. Est ce autorisé?

Merci de ta réponse.

Avantrte msmwnr - Eugenol
Aprèsrte owb5ym - Eugenol

ameli

15/03/2005 à 02h39

Question 1 :
Question intéressante car plusieurs réponses sont possibles. Ces réponses sont fondées sur la justification thérapeutique de l’acte.
L’acte est-il nécessaire ?
Oui si la dent présente une pathologie, ou si le traitement est imparfait à radio. Dans ce cas, on cote.
Non, si la dent est asymptomatique, et si la radio montre une dent nette. Les traitements anciens et radiologiquement nets n’ont pas besoin d’être refaits. Donc, on ne cote pas, ou plutôt c’est HN.
Bien sur, radios avant et après, de préférence avec le même angle pour comparer. Et conserve-les : on te les demandera un jour.
Une réserve : si c’est toi qui a fait le travail précédent, tu en assumes la responsabilité. Donc, tu ne peux pas coter, ni marquer HN. C’est un acte gratuit.
Si tu suis ces règles et qu’on t’ennuie, tu contestes au TASS, et tu gagnes.
Question 2 :
C’est du HN, pas du DE
DE signifie : dépassement exceptionnel dû à des circonstances particulières en temps et en lieu à la demande du patient. Bien sur, si tu fais ce travail au sommet de la Tour Eiffel à 2h du matin, tu peux marquer DE.
3.
Oui : soins abusifs ou injustifiés. Attention, il faut pouvoir justifier les actes. Inscrit les motifs de l’acte dans le dossier du patient, tu peux être interrogé ( si tu cotes)
4
Oui, il faudrait vraiment pinailler.
5
Autorisé non, je dirais plutôt toléré depuis des années. A moins que la pose de la couronne soit récente et/ou effectuée par le même dentiste.


Images qct94b - Eugenol
themumbly

15/03/2005 à 10h24

Ameli je t'embete encore et encore merci de venir sur ce forum nous éclairer.
Mon associé a effectué et facturé une endo sur un de mes patients quand j'étais en vacances; en revenant je constate le massacre et je refais le traitement endo qui ne me convenait pas du tout. J'ai facturé mes soins avant de connaitre l'historique , qui est en tort?????
Merci


alhoun

15/03/2005 à 10h31

entre ton associé et ton collaborateur, t'es bien entouré, dis-moi!


Images qct94b - Eugenol
themumbly

15/03/2005 à 10h52

Le collaborateur c'est réglé je l'ai clos comme dit jesaisplusqui!!;-)

Mais sur mon post précédent je pense que je suis en tort


cyberquenottes

15/03/2005 à 11h21

ameli a écrit:
-------------------------------------------------------
> Question 1 :
> Question intéressante car plusieurs réponses sont
> possibles. Ces réponses sont fondées sur la
> justification thérapeutique de l’acte.
> L’acte est-il nécessaire ?
> Oui si la dent présente une pathologie, ou si le
> traitement est imparfait à radio.



> Une réserve : si c’est toi qui a fait le travail
> précédent, tu en assumes la responsabilité. Donc,
> tu ne peux pas coter, ni marquer HN. C’est un acte
> gratuit.


si le traitement est imparfait je ne dis pas non

mais avec un traitement radiologiquement bon et un problême pathologique 1 an plus tard , je ne vois pas ce qui m'imposerait de ne pas coter une seconde fois.....

a moins d'une obligation de résultat et une garantie des soins a vie ?????!!!!!


Images qct94b - Eugenol
themumbly

15/03/2005 à 11h25



> a moins d'une obligation de résultat et une
> garantie des soins a vie ?????!!!!!


Oui mais dans ce cas j'ai facturé une quinzaine de jours aprés mon confrère... peut-être aurais-je du travailler gratuitement???


ameli

15/03/2005 à 11h34

Tu ne peux en aucun cas être tenu pour responsable d'un TR que tu n'as pas effectué. Seul son auteur est responsable.
Mais il faut pouvoir justifier ce travail si besoin est ; d'où l'intérêt des radios avant et après TR.
Tu peux donc coter tranquillement ce que tu as fait. Tout travail mérite salaire.
Par contre, l'auteur de l'acte mal éffectué est susceptible de devoir rembourser la sécu ( article 133.4 du code de la sécu ) si le DC s'en aperçoit, mais il faudrait un coup de malchance. On ne peut pas tout voir !
Le motif de l'indu serait dans ce cas : acte non conforme aux données acquises de la science, ce qui entraîne une "cotation non conforme à la NGAP".
C'est ce dernier terme qui figurerait sur la lettre. En effet les dentistes oublient trop souvent que seuls les actes bien effectués sont inscrits à la NGAP.


ameli

15/03/2005 à 11h57

Cyberquenottes,
je te répondrai avec gentillesse que tu es encore plus pinailleur qu'un DC !
Comment peut tu expliquer un traitement parfait et une m... un an + tard, si ce n'est par une erreur quelque part. Le plus souvent pour un pronostic trop optimiste : on tente de sauver alors que la cause est perdue. Le terme légal est : moyen thérapeutique non adapté, et acte non médicalement justifié.
Il est vrai que ton argument est défendable, mais en général les experts te donneraient tort, surtout si le délai est aussi court ( 1 an, c'est peu ).
Remarque : les jurisprudences se précisent de mois en mois. Sur les soins, pas d'obligation de résultat ( si pas d'erreur). Sur la prothèse, obligation de résultat.
Vérifiez vos contrats d'assurances.


aphut

15/03/2005 à 11h58

Ameli que penses tu des endos exclusifs parisiens et de leurs dépassements d'honoraire?


Al

15/03/2005 à 12h14

ameli a écrit:
-------------------------------------------------------

> Le motif de l'indu serait dans ce cas : acte non
> conforme aux données acquises de la science, ce
> qui entraîne une "cotation non conforme à la
> NGAP".

On croit rêver quand la sécu peut affirmer sans rire ceci.

Ce qui voudrait dire que la NAGP est en prise directe avec les données acquises de la science...

Il veut mieux être sourd que de lire un truc pareil.



LdL

15/03/2005 à 12h40

je me permets d'apporter une précision sur les obligations de résultat, qui peuvent parfois etre mal comprises, ayant mis le nez dans les écrits juridiques, les textes de loi et c. pour ma thèse récemment soutenue portant (entre autres) sur la récidive...

Bref, nous autre chir. dent. sont tenus aux moyens en général et aux résultats en particulier... Mais ça veut dire quoi ?

L'obligation de moyens, vous connaissez, c'est que vous garantissez que le diagno. et le ttt sont établis avec tous les moyens à disposition et que le tout est conforme aux données acquises... mais si le ttt ne marche pas, c'est ce qu'on appelle "l'aléa thérpeutique", il est vrai difficile à expliquer à mme Michu qui a casqué 3000 € pour deux implants qui prennent pas...

Mais il est des traitements qui excluent la notion d'aléa. C'est alors que l'obligation de résultat entre en jeu. En effet, si une prothèse est mal ajustée, on ne peut pas se retrancher derrière l'aléa thérapeutique... c'est que une des mains qui a travaillé sur la chaine n'a pas agi correctement. Le chir. dent, seul responsable de ce qu'il pose en bouche est alors tenu de la remplacer, de la refaire (et pas de bourer du verre iono en dessous...) bref, de gérer.
Mais attention, une fois de plus on ne demande pas au chir. dent. une garantie de résultat THERAPEUTIQUE, seulement une garantie de résultat de réalisation, c'est à dire "garantie d'absences de vices de la chose fournie" (terme juridique).

Le problème est que chez nous les deux se confondent... car si la prot. est en surocc (thérapeutique non assurée...) ce peut etre imputable à une main de la chaine... donc due à une réalisation merdique. Ok, c'est un peu compliqué.
Tout ça pour dire que le "résultat" au terme juridique n'a rien a voir avec le sourire de la mère michu qui est contente de son complet (du coup, la pauvre...) mais en rapport surtout avec les matériaux utilisés, l'aspect de surface de la prothèse, l'occlusion, l'agencement des dents... le fait qu'en réalité le claque merde n'aurait pas été mieux réalisé par un autre...

Bon, ça, c'est ce que dit la loi. Mais comme dit Ameli, la jurisprudence est là... pour embrouiller encore plus...


1234...